![]() |
![]() |
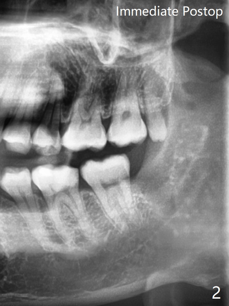
#17 Traumatized by #16
A 30-year-old man complains of chewing pain at #17. The distal gingiva seems to have been traumatized (adhesion) by the opposing 3rd molar (Fig.1 arrow). The tooth is out following sectioning twice with the socket inserted with Osteogen plug (Fig.2). Return to Plug Xin Wei, DDS, PhD, MS 1st edition 05/19/2021, last revision 05/20/2021