![]() |
![]() |
![]() |
![]() |
![]() |
![]() |
3-Year Postop CT Analysis of the 3rd Molar Sockets
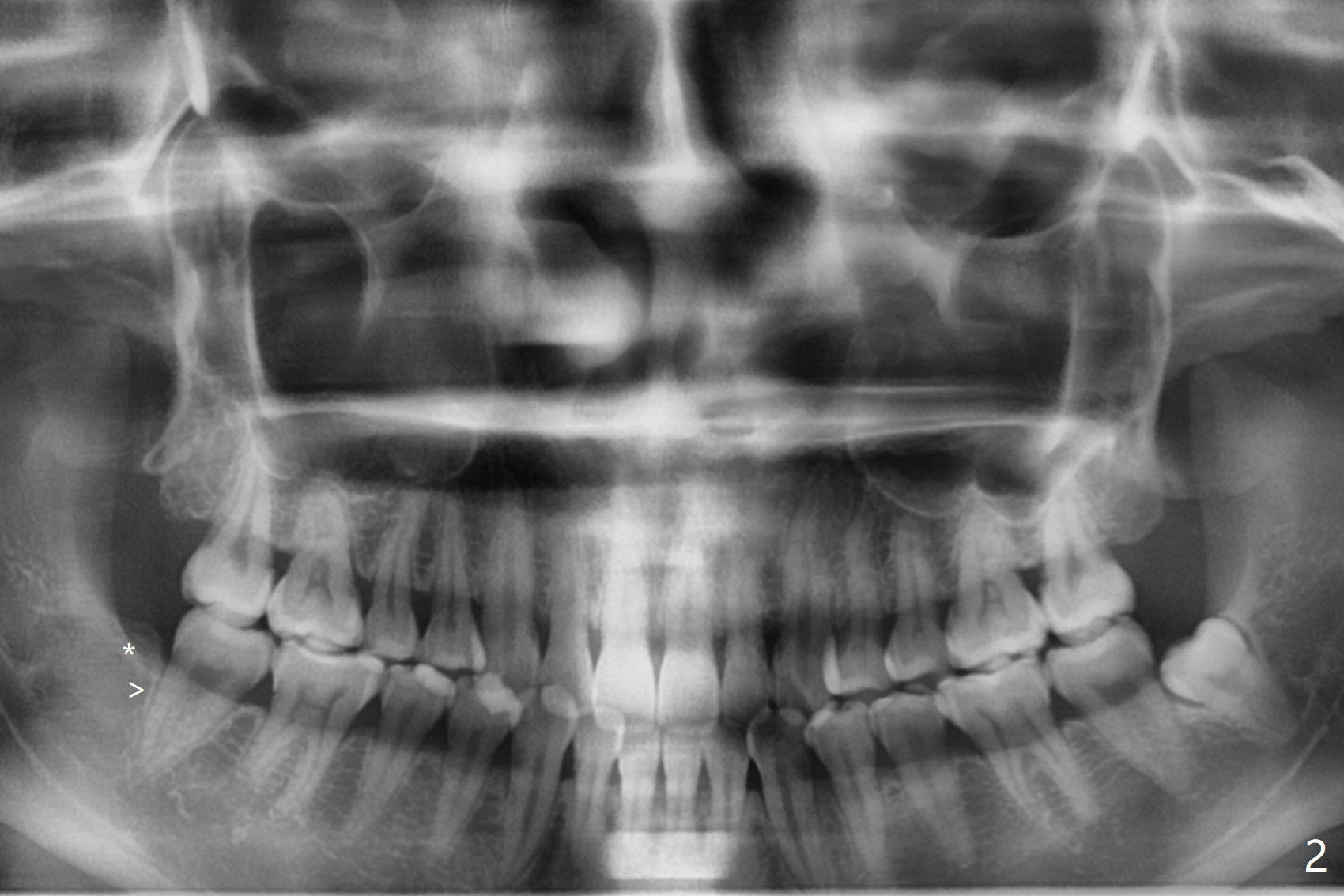
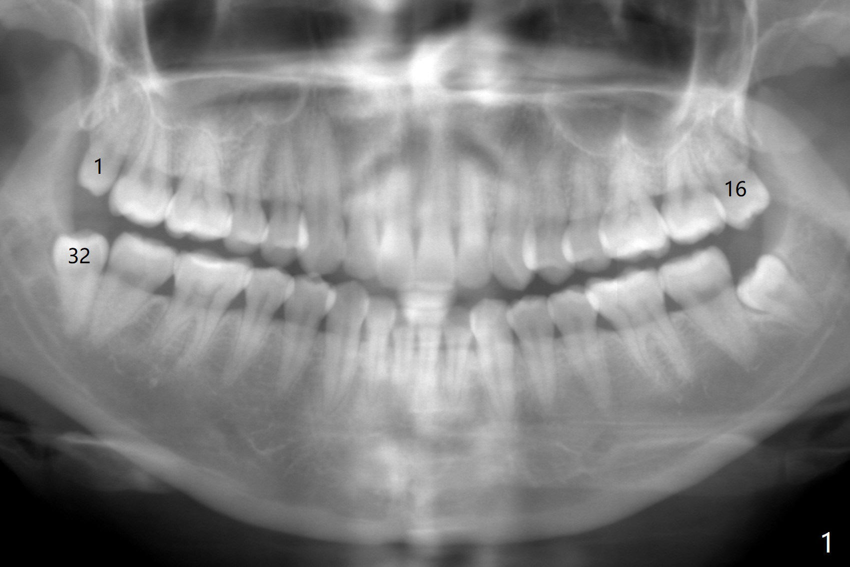
A 34-year-old lady requests extraction of #1, 16 and 32 (Fig.1). After incision for 32, surgical bur is used to create a purchase point to protect the thin bone between #31 and 32. The tooth is extracted with straight elevators and forceps. The socket is large single. Osteogen plug is placed with 4-0 plain gut suture (x4). There is cortical formation in the crest at #1, 16 and 32 three years postop (Fig.2-6 *, arrowheads). The advantage of Osteogen plug over Augma is easy placement with less risk of loss (by dissolving by saliva).
Return to
Plug
Xin Wei, DDS, PhD, MS 1st edition
03/22/2016, last revision
10/12/2019