![]() |
![]() |
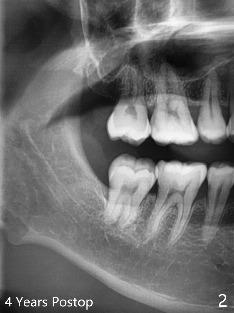
4-Year Follow-Up
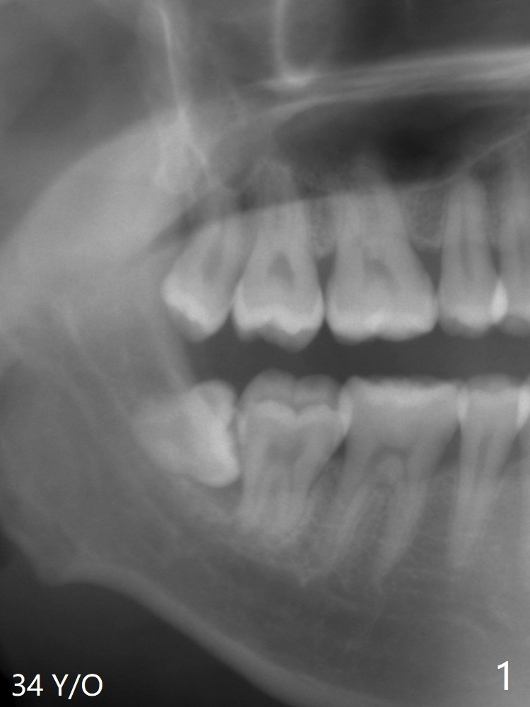
A 34-year-old man requests extraction of #1 and 32 (Fig.1). With placement of Osteogen Plug at #32 after extraction, the socket is filled with bone 4 years postop (Fig.2).
Return to
Plug
Xin Wei,
DDS, PhD, MS 1st edition 10/08/2020, last revision
10/08/2020