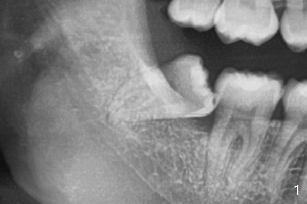
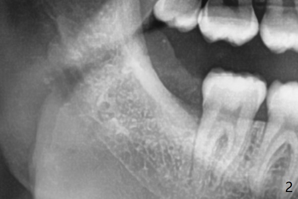
#32 has fused apices, which need sectioning before removal (Fig.1).  A piece of Osteogen plug is inserted to the socket before suturing (Fig.2).

Fused Apices     Last     Next

Xin Wei, DDS, PhD, MS 1st edition 09/17/2020, last revision 09/17/2020