![]() |
![]() |
|
![]() |
Subgingival Caries M
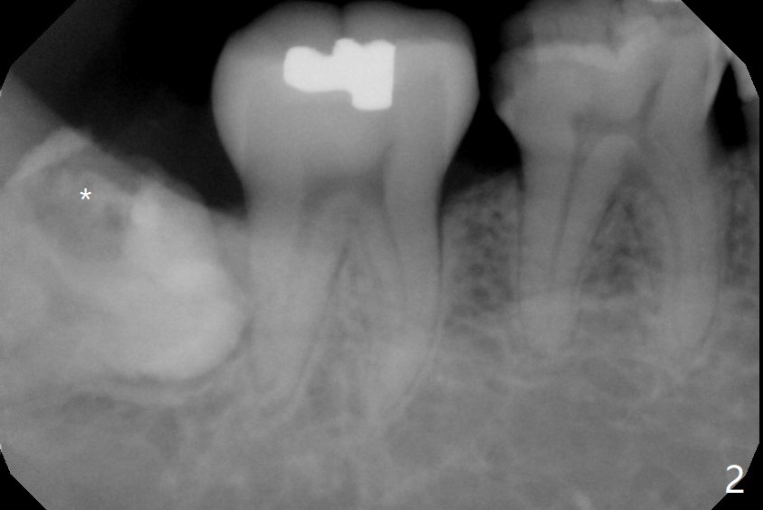
A 51-year-old woman presents to clinic because of infection in the lower right third molar (Fig.1). Although the tooth seems to be fully bony impaction, there is a sinus track with light purulent discharge after oral Amoxicillin for 5 days. In fact there is subgingival caries (Fig.2 *). The accessory incision is made mesiobuccal of #31 due to horizontal impaction. In fact the tooth is buccal and slightly mesial to #31. The impacted tooth requires several sections to be removed. Osteogen Plug is placed because of the thin bone between #31 and 32 (Fig.3 O).
Return to
Plug
Xin Wei, DDS, PhD, MS 1st edition
01/16/2020, last revision
01/21/2020