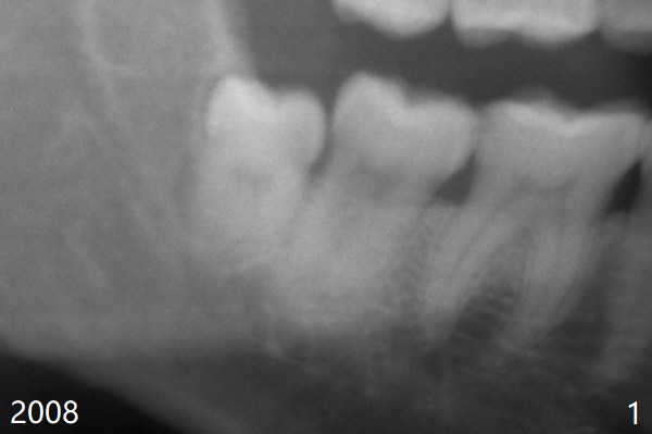
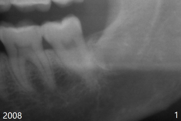
术后2.5月第二,三磨牙之间牙槽嵴薄(图二:>),术中破坏少

胶原骨生骨     Last     Next

Xin Wei, DDS, PhD, MS 1st edition 04/29/2019, last revision 04/24/2021