原来右下牙槽窝放置骨胶原塞(Osteogen Plug),而左下胶原塞。

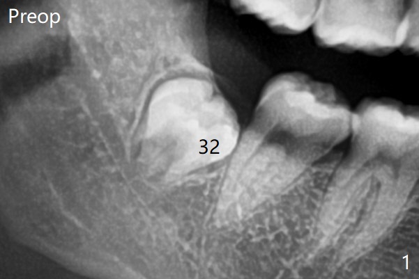
塞的密度       Last     Next   智齿拔除

Xin Wei, DDS, PhD, MS 1st edition 07/17/2021, last revision 07/25/2021