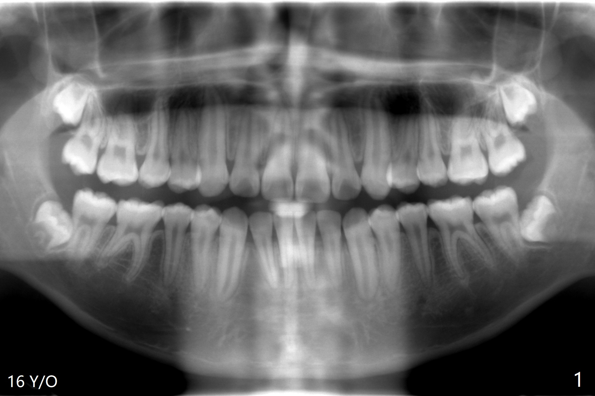
16岁男孩,上颌智齿在第二磨牙CEJ之上,太早拔除。下颌智齿牙根尚未形成,拔除困难,观察。

智齿拔除顺序   智齿拔除    Last     Next

Xin Wei, DDS, PhD, MS 1st edition 07/23/2021, last revision 07/25/2021