![]() |
![]() |
![]() |
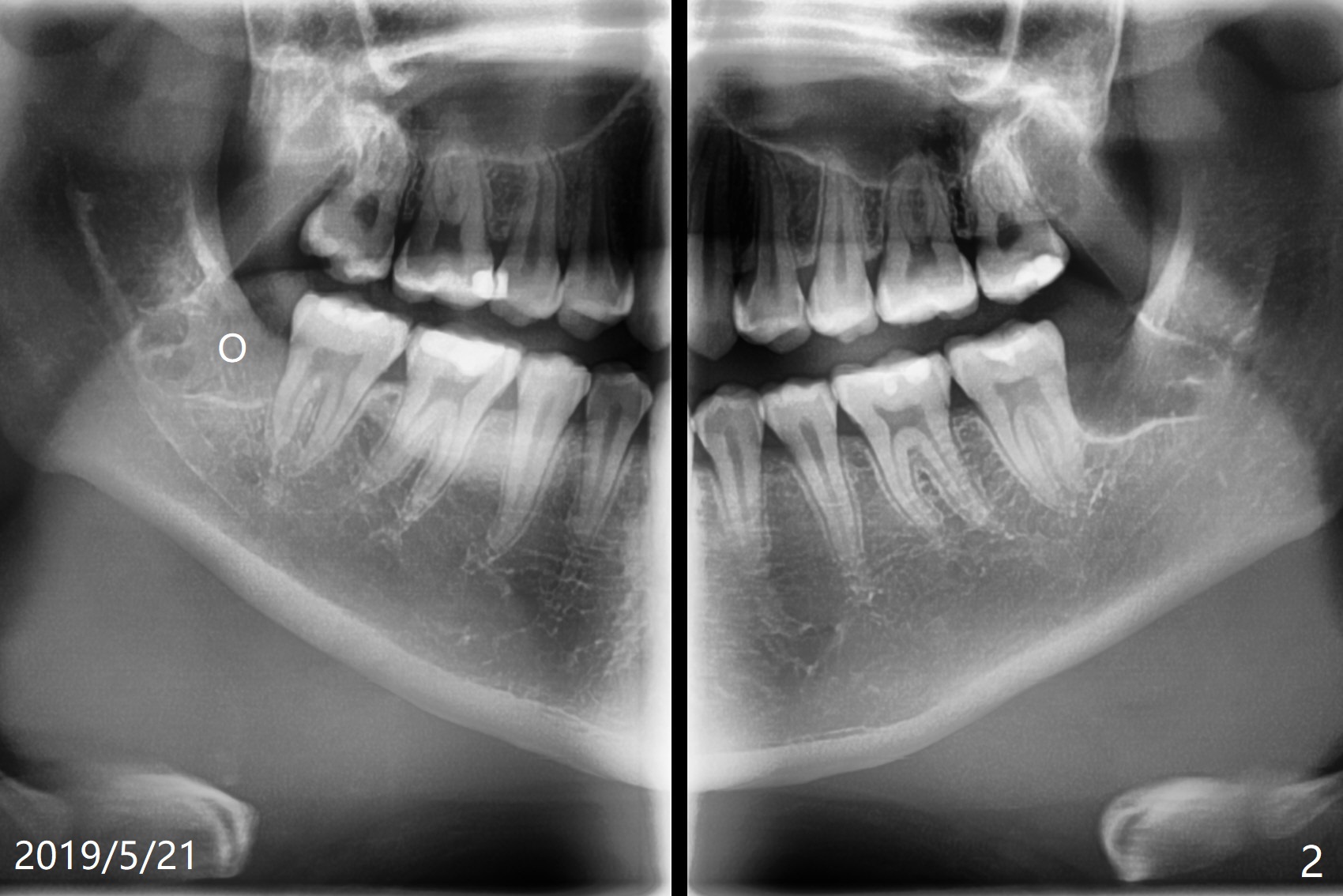
Immediately Postop X-ray Check
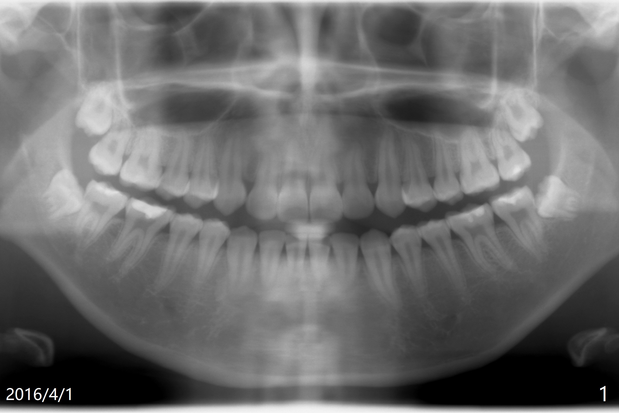
A 19-year-old woman requests extraction of #1,16,17 and 32 (Fig.1). The surgery is smooth except the fact that a surgical fissure bur tip is found to have been fractured without trace at #17. Before placement of Osteogen plug (Fig.2 O) and suture at #17, a regional panoramic X-ray for bitewing is taken. All of the sockets heal in 14 months (Fgi.3).
Return to
Plug
Xin Wei, DDS, PhD, MS 1st edition
05/21/2019, last revision
08/11/2020