![]() |
![]() |
![]() |
![]() |
![]() |
|
![]() |
![]() |
![]() |
![]() |
||
Long-Termed Follow-Up
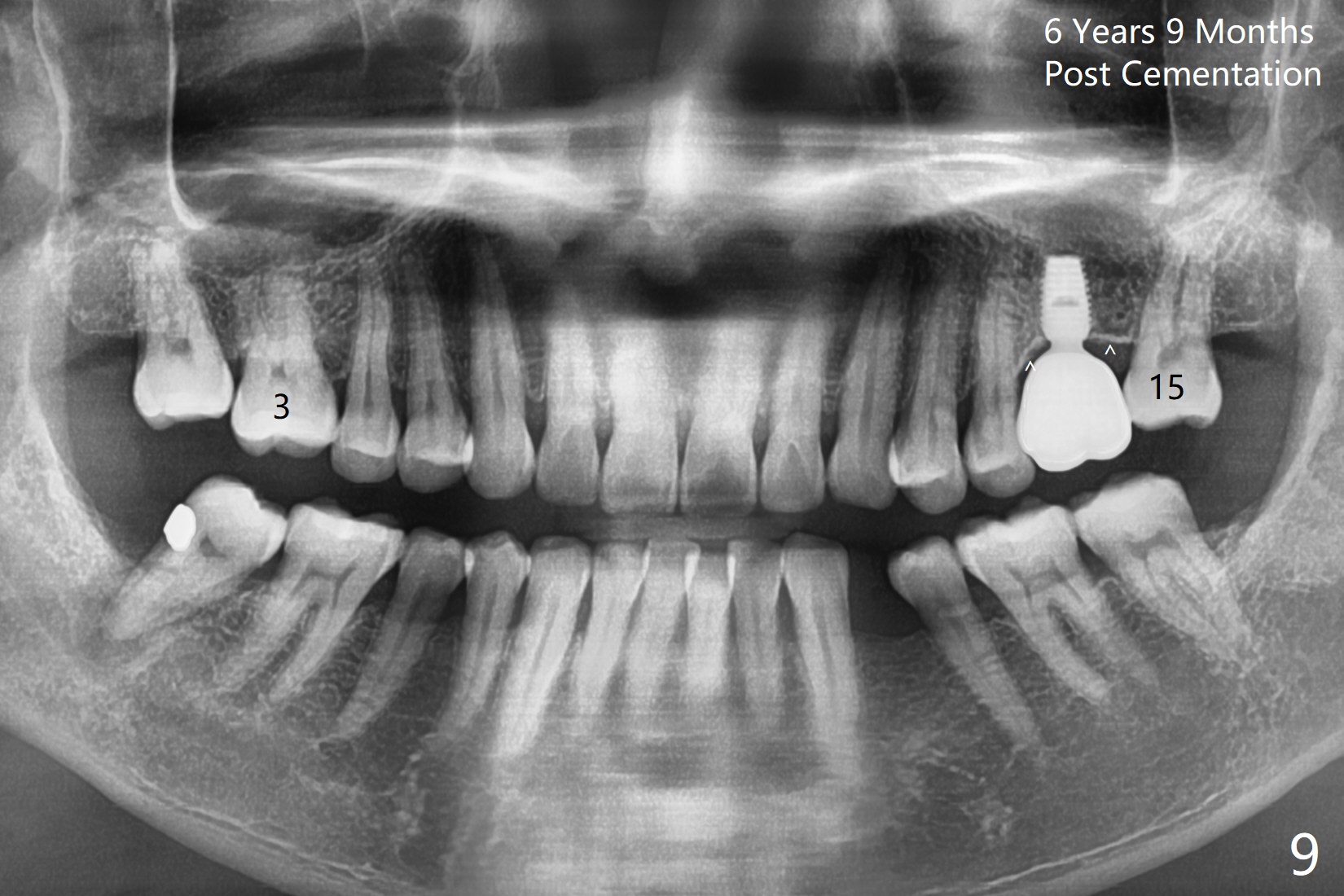
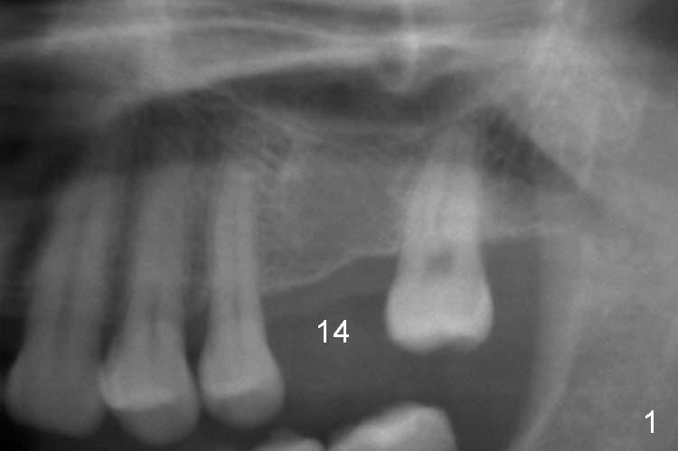
A 49-year-old man is an engineer. The tooth #14 is missing (Fig.1,2). He wonders how a one-rooted implant can replace a three-rooted tooth. Anyway, osteotomy is initiated at the site with 2.5 mm reamer in place (Fig.3). A 5x8 mm Bicon implant is placed (Fig.4). Seven and a half months later, the bone density next to the implant plateau appears to increase (Fig.5 arrowheads, as compared to Fig.4). The beauty of Bicon implant is that the crown (Fig.6 C) can be extraorally cemented to the abutment (A) prior to re-seating. Two years and 3 months post cementation, while no residual cement is visible, the bone density at the crest has increased (Fig.7 arrowheads). The crown is de-cemented 4 years 4 months post cementation; it appears that the abutment is small and short (5x2 mm 10 degree stealth). The bone density of the cortex around the implant (Fig.9 ^) is higher than that at #15 and #3.
Return to Upper Molar Immediate Implant, Long-Termed Follow-Up Xin Wei, DDS, PhD, MS 1st edition 12/13/2015, last revision 06/06/2020