![]() |
![]() |
![]() |
Long-Term Follow Up
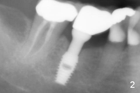
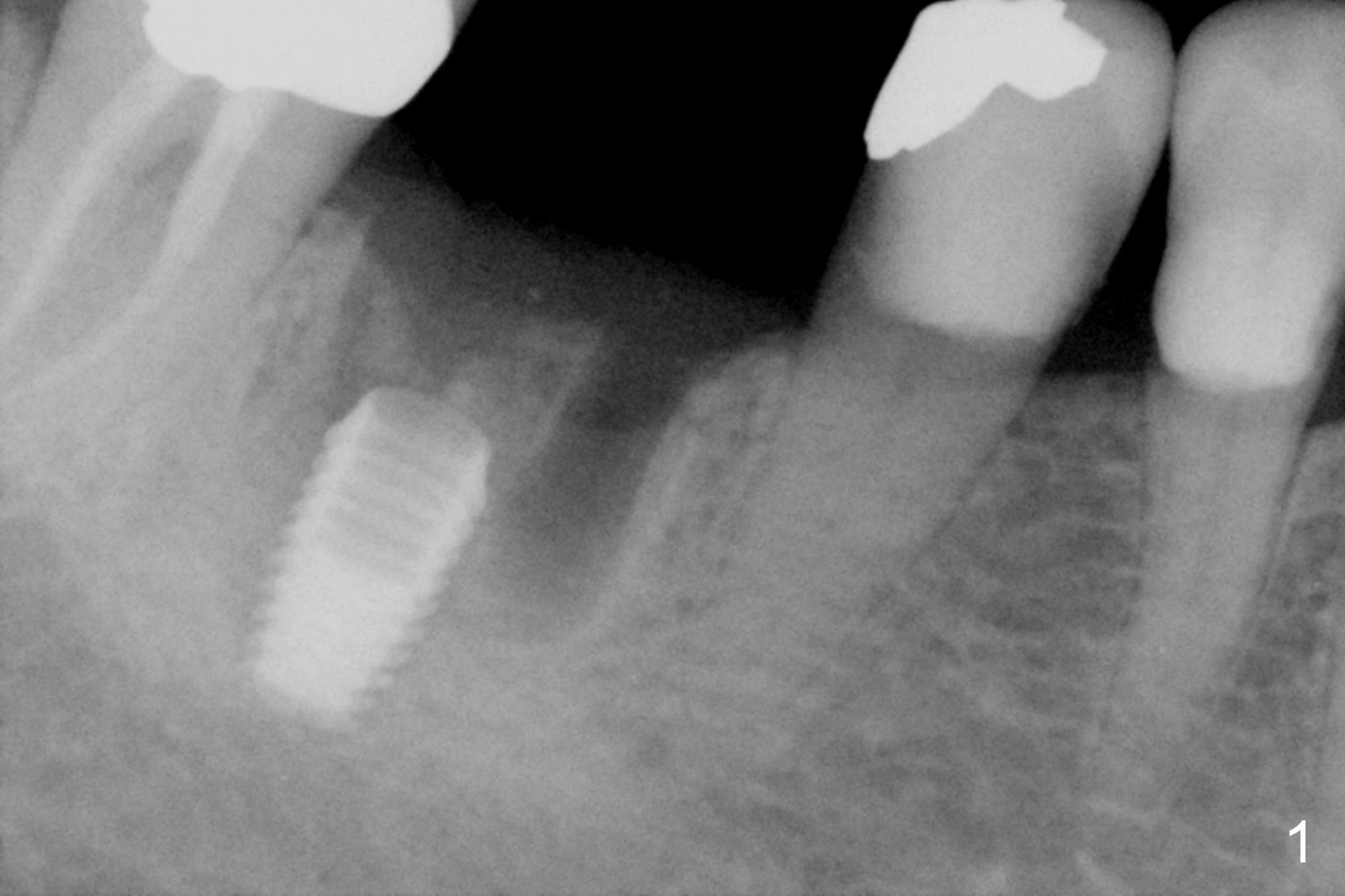
A 74-year-old woman with history of osteoporosis treatment had panoramic X-ray taken 7.5 years post cementation (Fig.2), eight years post Bicon implant placement (Fig.1). Bone density increases around the implant 9 years 7 months post cementation (Fig.3).
Return to
Lower Molar Immediate Implant, Follow-Up
Xin Wei, DDS, PhD, MS 1st edition 09/09/2016, last revision 09/20/2018