![]() |
![]() |
![]() |
![]() |
![]() |
![]() |
![]() |
![]() |
![]() |
![]() |
![]() |
![]() |
Faithful Patient
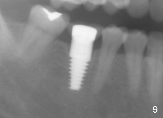
Six years ago, a 38-year-old patient presented to our office for new patient exam. She was scared of dentistry, but 3 of the third molars needed extraction. When the surgery was done painlessly, it was not too hard to persuade the patient to accept implant placement at the site of #30 (Fig.1; N: Inferior Alveolar Nerve). It was the 1st case when a 2nd implant system was adopted in the office. The implant is 3 mm shorter than the design (Fig.2). An incision was made for visibility (Fig.3). There is no bone loss 3.5 months postop (Fig.4). The crown is cemented 5 months postop (Fig.5); there is attached gingiva buccal to the implant. What surprised us the most is that she turns out to be one of the most faithful patients in our office. She never misses 6-month recall.
Fig.6-8 show images taken 6, 21 and 34 months post cementation. Bone remains stable 6 years postop (Fig.9).
Metal exposure of the PFM crown (Fig.5,8) is associated with supraeruption of the opposing tooth (Fig.10 arrow). Increased bone density around the coronal portion of the implant 8 years 2 months post cementation (Fig.11 *) suggests bruxism, which is related to distal marginal porcelain chip (^). There is no food impaction with a new crown (Fig.12).
Return to
Follow Up
Xin Wei, DDS, PhD, MS 1st edition 06/18/2015, last revision 06/27/2019