![]() |
![]() |
Bone Graft or Not?
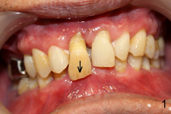
Sixty-one-year-old otherwise healthy man requests extraction of the upper right central incisor, which is mobile and supraerupted (Fig.1 arrow). He denies the history of trauma, although X-ray shows sclerosed canal of the affected tooth (Fig.2 black <, as compared to that of the left central (blue <).
Due to financial issue, the patient chooses flipper.
If the patient chooses implant, what kind of procedure should be done immediately after extraction? Do we need bone graft to establish cosmetics?
Xin Wei, DDS, PhD, MS 1st edition 09/08/2011, last revision 10/02/2011