![]() |
|
![]() |
![]() |
Will Tinnitus get worse due to bone expansion?:
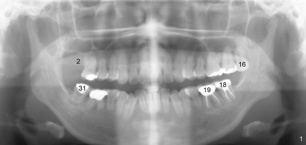
A 43-year-old lady develops tinnitus recently. Her primary care physician suspects that it is related to root canal therapy for the teeth #18 and 19 (Fig.1). Several more treatment is needed: extraction of #16 (Fig.1), RCT of #31 (Fig.1,3) and implant for #2 (Fig.1,2). Sinus lift and probably bone expansion may be required for #2 implant placement. Does usage of osteotomes worsen tinnitus, similar to occasional occurrence of vertigo after bone expansion?
Answer from TatumSurgical: use bone expander (screw bone expansion)
Xin Wei, DDS, PhD, MS 1st edition 11/11/2012, last revision 11/12/2012