![]() |
![]() |
![]() |
||
![]() |
![]() |
![]() |
![]() |
![]() |
Recurrent Non-Odontogenic Infection
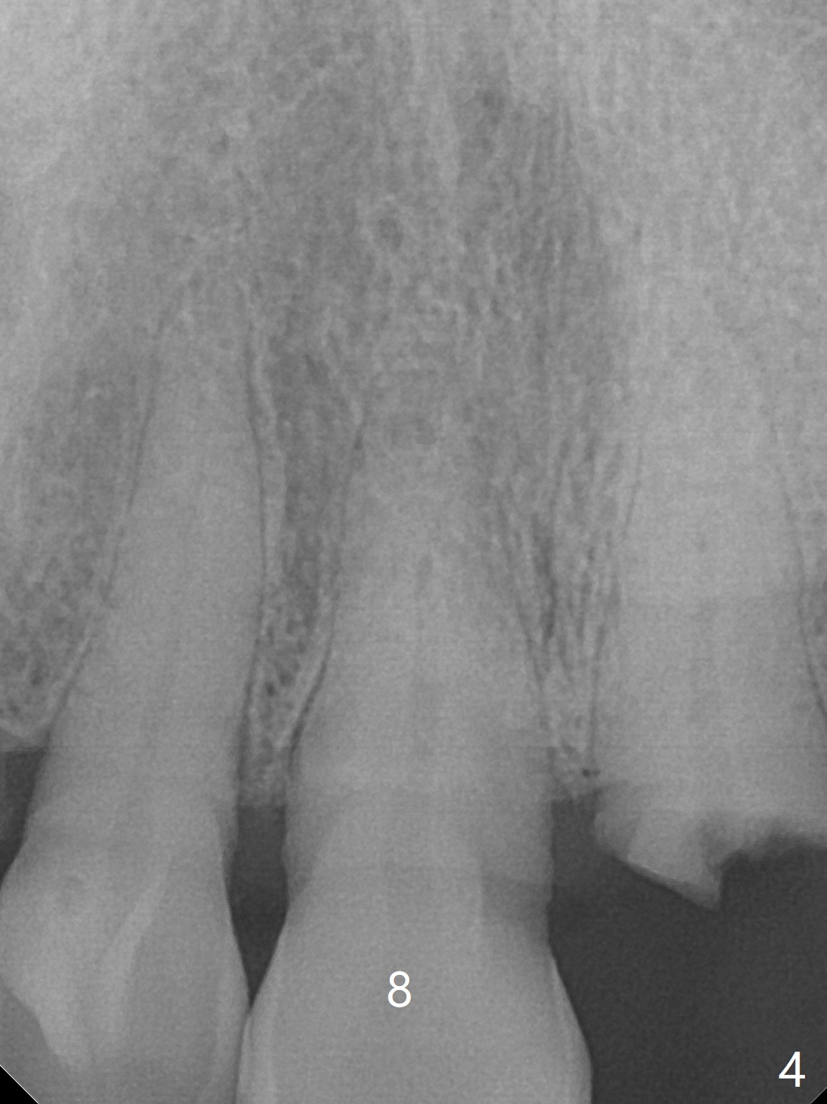
A 86-year-old woman with diabetes (under control with Insulin) and poor dentition (Fig.1) presented to clinic with an abscess apical to the tooth #8 (nonvital, Fig.2). CBCT (Fig.3) or PA (Fig.4) does not show radiolucency at #7 or 8. The incised abscess with purulent drained is superficial to the apparently intact periosteum (Fig.5 *). The patient is reluctant to have #7 and 8 extracted, since they are the only remaining functional dentition. The infection recurs 1.5 months later (Fig.6 * (^: previous incision)). With the periosteum elevated, fenetration over the apex of the tooth #7 (vital in pulpal test) is only seemingly significant finding (Fig.7). The abscess (Fig.8 A) is shown superficial to the periosteum (*). The infection is expected to relapse. What should be done otherwise? Full mouth extraction has been discussed.
Return to Professionals
Xin Wei, DDS, PhD, MS 1st edition 07/06/2018, last revision 07/08/2018