How to Handle a Supernumerary 3rd Molar as Related to Other Ones?

Dear Dr. Ness:
Thanks for the message about ortho.  I was a little too busy to go back to tracing.  Your ideas are not good for ear, but good for action. 
Another question:
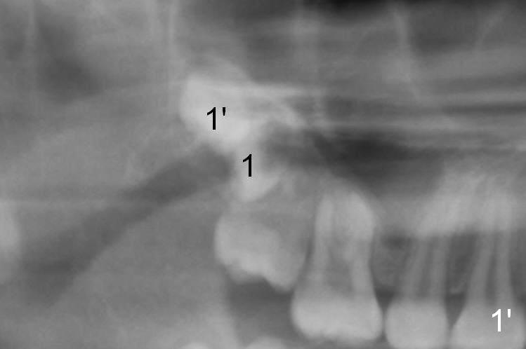
A 18 year old man has fully developing jaws.  It appears that there is enough room for 4 3rd molars to erupt normally.  In fact, the teeth #16,17,32 erupt.  Attached are pan taken 2 and 5 years ago (Fig.2,1, respectively).  I wonder whether we can take out one of the upper right 3rd molars and let the other erupt.  If the latter does not happen, #1 and 32 will be extracted.  The teeth #16 and 17 are not to be extracted.  Due to insurance limitation, the pan is not updated.  Thanks.
Xin:
I'm am not sure what you mean by nonsense? Do you hint I was too stern with you?  I am very serious about ortho, and believe it should always be fully planned out before starting, to the level of the specialist, or it should not be done in the general practice.  Anything less is unfair to the patient and gives Gp Ortho a bad name. This includes proper photographs, X-rays and cephalometric analysis before making a plan.  Without data, a plan is just a guess, not a plan. 
Now regarding this case.  No surgeon will take out wisdom teeth in a growing patient, which he is (the teeth anyway), without a current panx. So you are diagnosing from a weak position.  Regardless, you can see he has two #1 teeth--supernumerary.  It is clear the lower molars are mesial angularly impacted, with no hope of full eruption.  The upper wisdom teeth are still positioned high above the CEJ of the second molars, making removal difficult and traumatic.  But this is an old X-ray and we cannot make judgments because we know the roots are longer and the upper teeth have probably migrated more coronally. 
In this case, for the ease of the patient, I would wait for the upper teeth to begin poking through the gums, and then take either one side at a time out, or all five teeth at one surgery.  
If the upper teeth are not yet erupting, I would wait, unless there are other factors with the patients situation I do not know about. 
Doug

Nonsense is referred to whether there is sense to remove 1 upper 3rd molar (extra one).  My purpose is to reduce trauma to the patient.  Clinical exam shows that the teeth #16,17 and 32 appear to be in a functional position.  It is my hope that by removing a supernumerary one, he may be able to keep all four of the 3rd molars.  The upper right 3rd molar has not erupted due to impaction from the supernumerary one.  Surgery is required to remove the obstruction.  With enough clinical evidence, I was reluctant to take a pan.  I may take photos next Tuesday when he returns for extraction. 
As to the ortho case, I let my assistants take comprehensive photos, which are just not presentable.  They were learning dental photography. I have been trying to collect all information for every ortho patient.  For the more complicated cases, model surgery is added, even though you do not agree on it.  This patient is getting her master degree while working in a nursing home  Going to a specialist may be out of her reach financially.  It is extremely difficult to judge my own ability, though.  I am afraid that specialists may stumble on complicated cases.  Before starting the case, I informed her of extracting upper bicuspids as the worst scenario. 
Anyway, I appreciate every one of your comments.  It is my wish that Chinese dentists can benefit from your guidance, if they are lucky enough to have you.  I need you to be stern.  Being mild is not what I want.  Thanks always.  Xin

The specialists set the standard, we should not criticize them without merit.  They know a lot more about ortho than we do.
The third molars, you will need to prove me wrong with photos, I doubt are in a functional position, unless his mandible grew 4-5mm since the last panorex.  Or will they ever be.  I would imagine they are partially erupted, or at least the tissue is at the occlusal plane level, a very unhygienic situation.
I thought this patient is 18.  How can she be in a master's degree program?
I would plan to take all 5 teeth out.  The supernumerary tooth is above #1, so it doesn't help by removing it.  Plus even if erupted, there is no patient that brushes them on the buccal.  They all get cervical caries eventually, and are extracted as a result of discovery of the caries or a toothache.
I don't see the point to go to efforts to save them.  

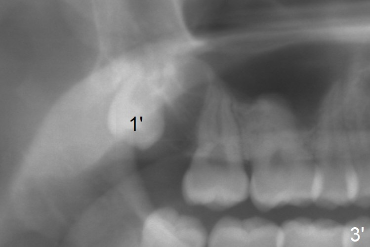
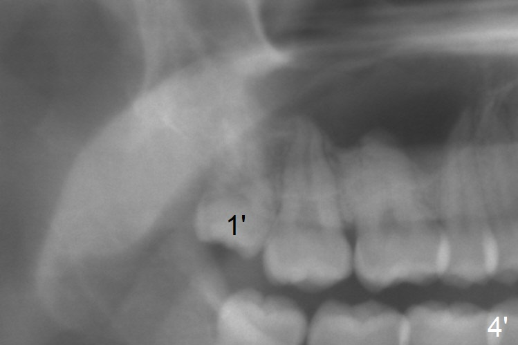
The 18 year old is a boy, whereas the 29 year old is a lady.  The former needs extraction; the latter ortho.  I love your wood vision, particularly the relationship between Le Fort I and sleep apnea.  I did think of Le Fort I initially.  I am afraid that it may be the last resort, if there is such a need.  Look at Fig.1',2'.

Greetings from Indianapolis Xin. I am attending the Final Four thanks to my brother who works for the NCAA. I watched Wisconsin knock of Kentucky last night, giving them their first loss of the season.
Regarding the case u sent, I do not see 17 and 32 ever erupting and therefore I favor extraction of the opposing third molars (all three), making it a 5-tooth extraction case.
If I read you correctly, the third molars have erupted on the left? I am surprised if so but good for the patient if they have.  Dr. Tim Shaughnessy

It is great for you to be in Indianapolis, since I am also a college basketball fan (UNC).  You may have heart attack if UNC beats Kentucky!  Wisconsin must be very good.  I hope that next year you may be more lucky if you can attend Final Four.  UNC may have a chance.

Thanks for the comment/suggestion.  Next Tuesday morning, the patient will return for extraction.  I will look more carefully before procedure.  I may take photos and update pan.  Nobody believes that the lower 3rd molars have a chance to erupt.

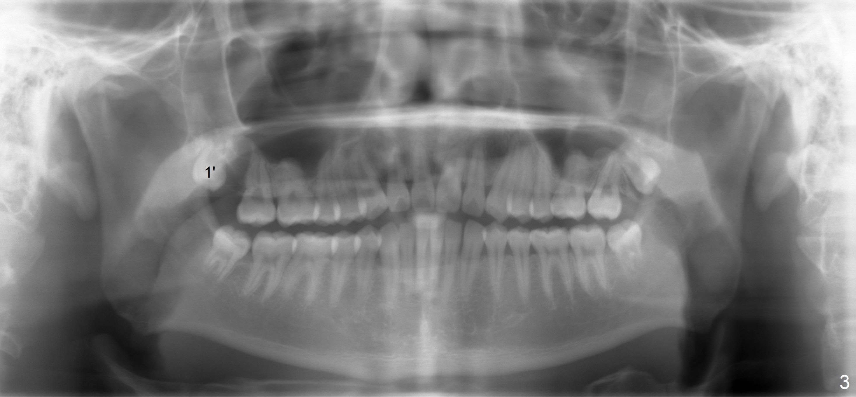
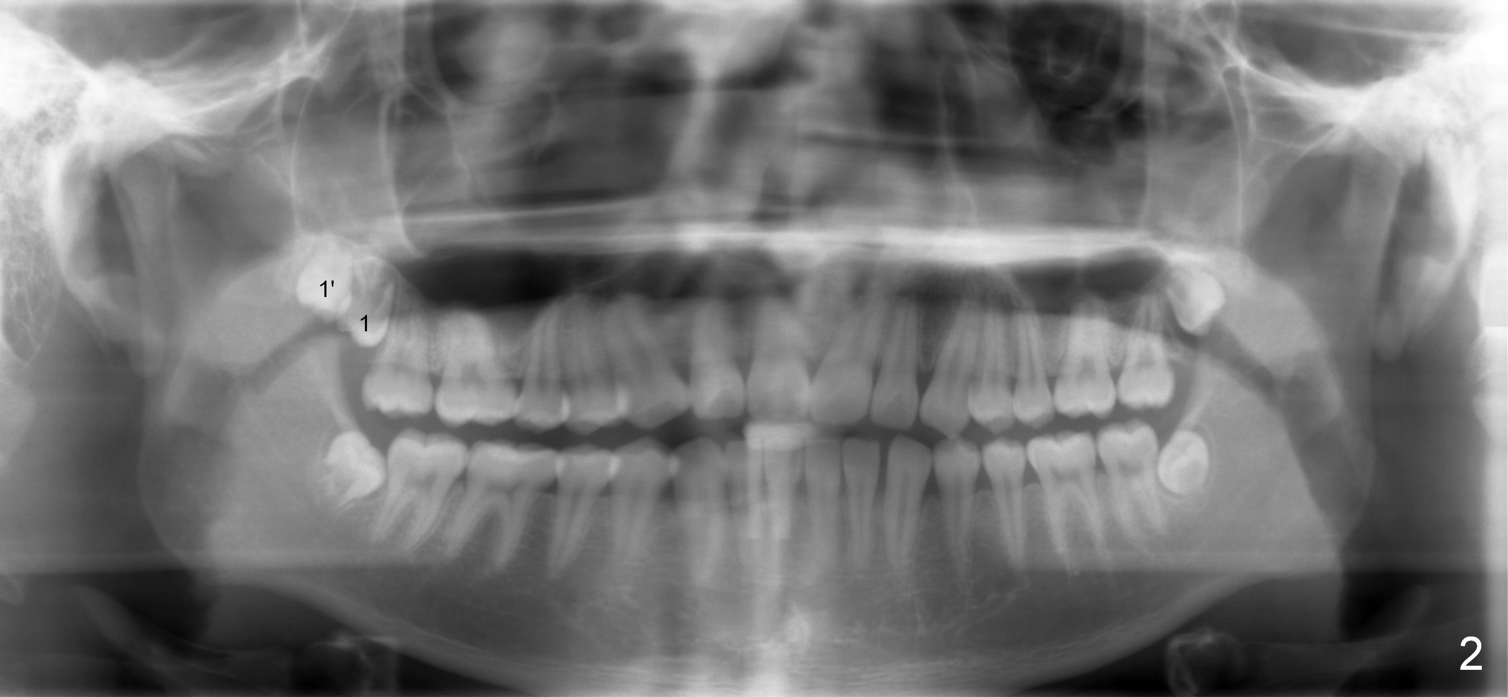
Panoramic X-ray is taken immediately post extraction of one of the upper right 3rd molars (Fig.3,3') and 20 months postop (Fi.4,4').  In fact the remaining one has erupted normally.

Return to Professionals

Xin Wei, DDS, PhD, MS 1st edition 04/05/2015, last revision 07/30/2017