![]() |
![]() |
![]() |
|||
![]() |
![]() |
![]() |
![]() |
||
Clear Infection Prior to Implant Placement
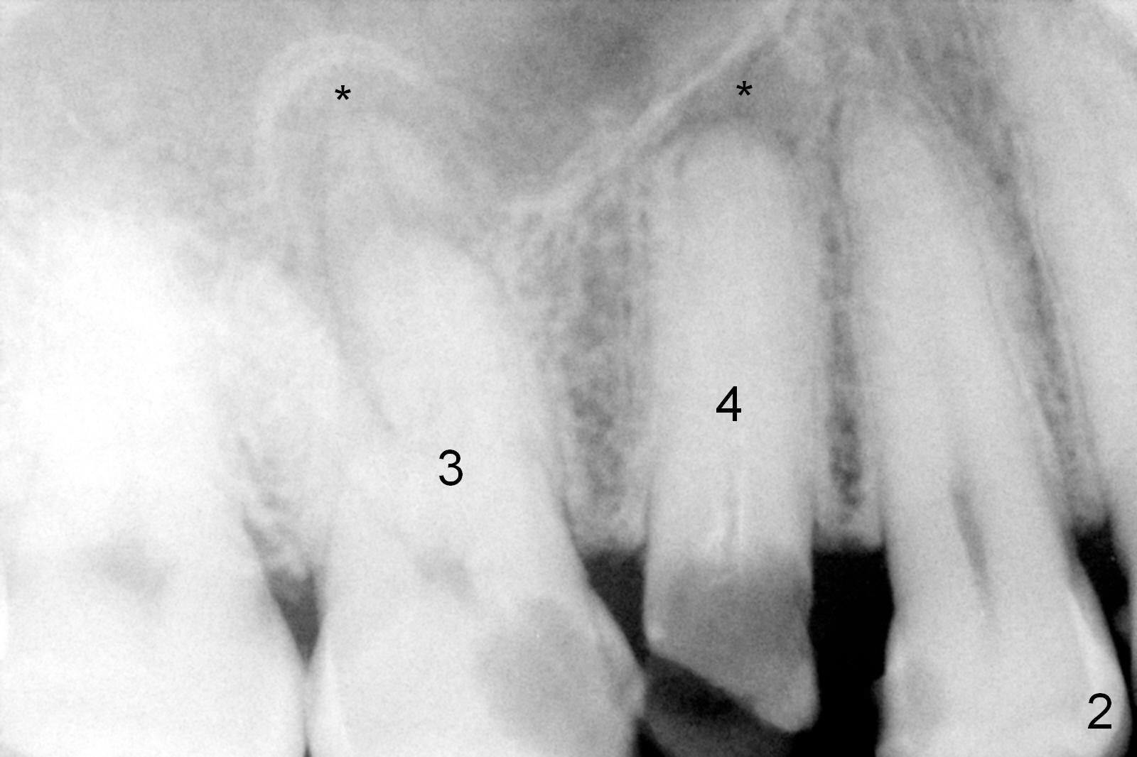
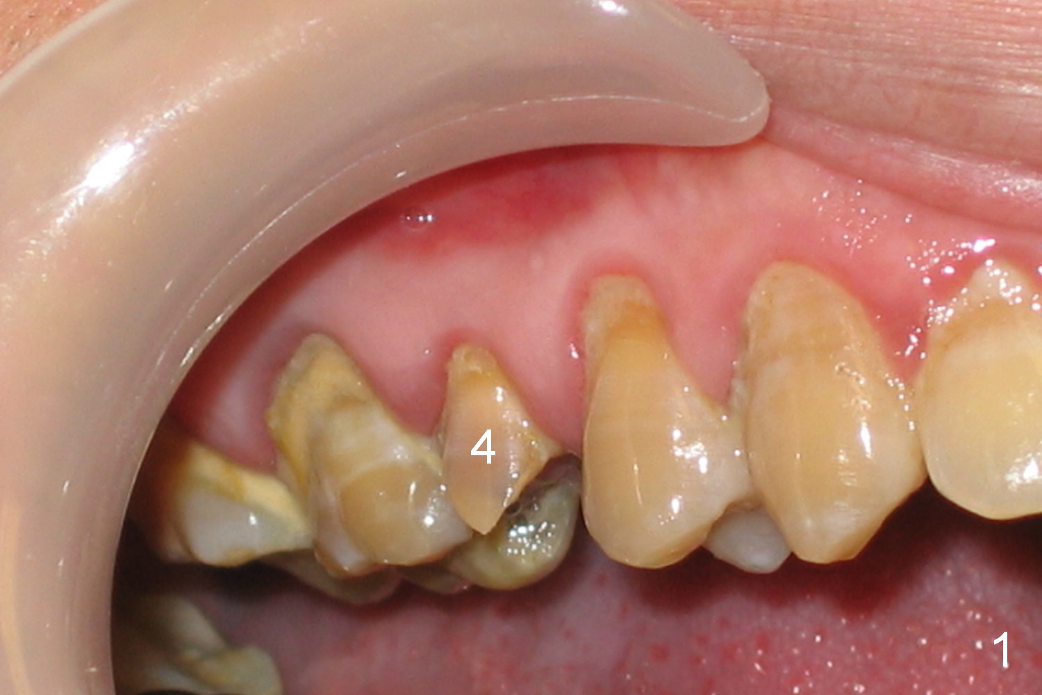
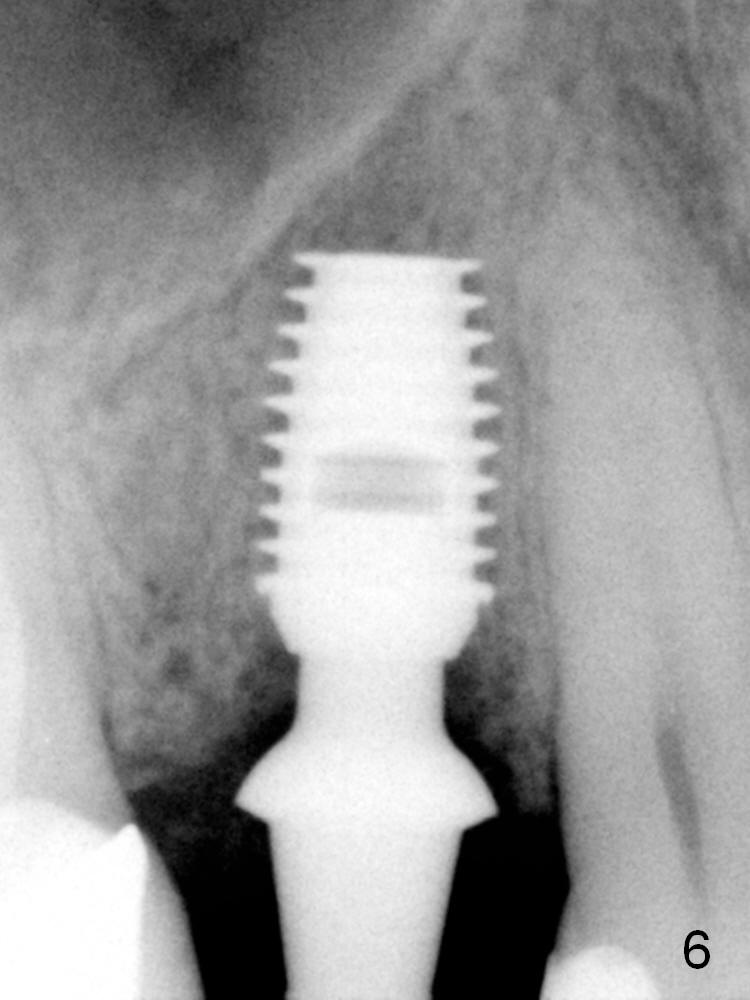
ZC is a 36-year-old man without significant medical history. His chief complaint is "I have Pain sometimes". His oral hygiene is poor (Fig.1). The tooth #3 has large MO caries with periapical radiolucency (*). The tooth #4 is non-salvageable (Fig.1,2). Four months after scaling & root planing, RCT and crown for #3 and extraction of #4 (Fig.3), a 5x8 mm Bicon implant is placed at the site of #4 (Fig.4). Peri-implant space is obliterated 5 months postop (Fig.5). The 2nd surgery is performed to uncover the implant and to place a temporary abutment. Two weeks later, a 5.0x.3.0 mm 0 degree Stealth Abutment 3.0 mm Post is placed (Fig.6). The most recent recall PA shows no bone loss for 5 years 3 months post cementation (Fig.7).
Return to IOCI
Diplomat 5-Year Cases
Upper Bicuspid Immediate Implant
Follow-Up
Xin Wei, DDS, PhD, MS 1st edition 07/12/2015, last revision 05/19/2018