![]() |
![]() |
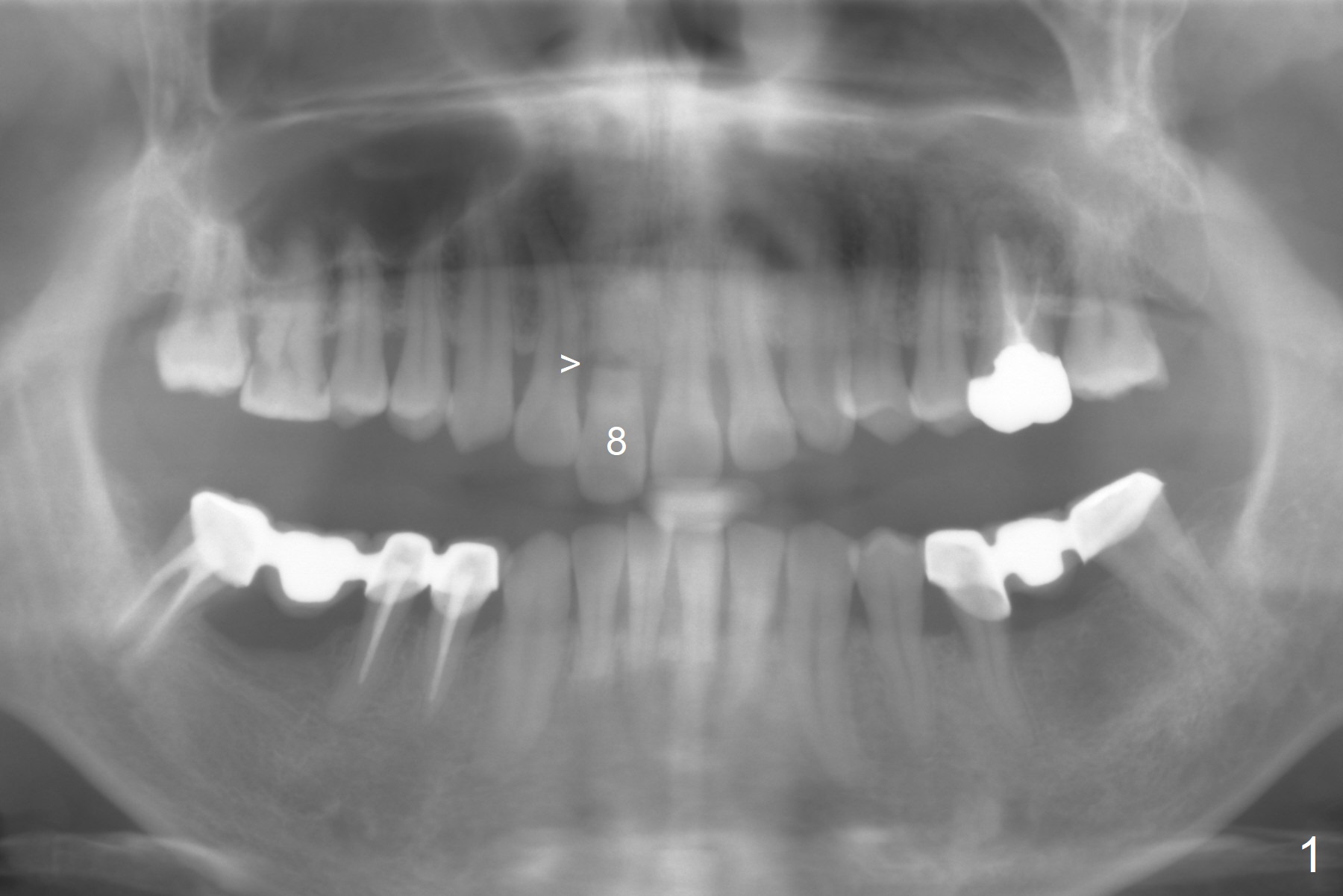
Longest Bone-Level Implant
A 37-year-old man has fractured the root of the tooth #8 for a year (Fig.1). It appears that the longest bone-level implant is indicated (Fig.2). Take preop photos and PA if it is symptomatic with fistula.
Return to Upper Incisor Immediate Implant, IBS, No Antibiotic, Chinese Xin Wei, DDS, PhD, MS 1st edition 08/25/2017, last revision 11/18/2018