![]() |
![]() |
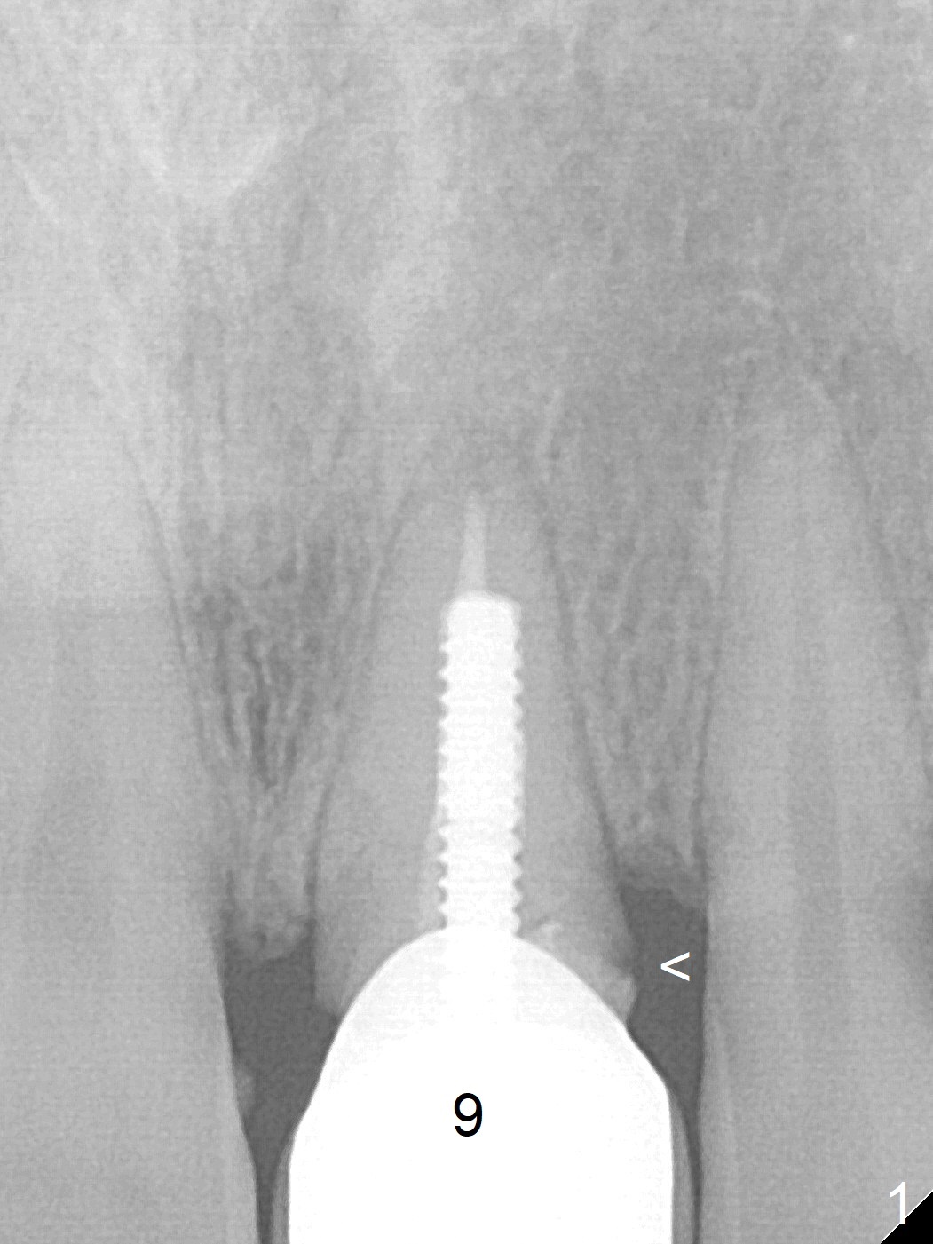
Non-Gold Coated Abutment
A 35-year-old woman's #9 fractures (Fig.1) because of blow by her child's head. Since a non-gold coated abutment will be used, an implant should be placed as palatal as possible (Fig.2). If the trajectory of the osteotomy turns out to be unacceptable, switch the other implant system with gold coated abutment. Perform socket shield, if extraction is difficult.
Upper Incisor Immediate Implant, IBS, Clindamycin Xin Wei, DDS, PhD, MS 1st edition 08/13/2017, last revision 08/15/2018