![]() |
![]() |
![]() |
![]() |
![]() |
![]() |
Gold-Coated Angled Abutment
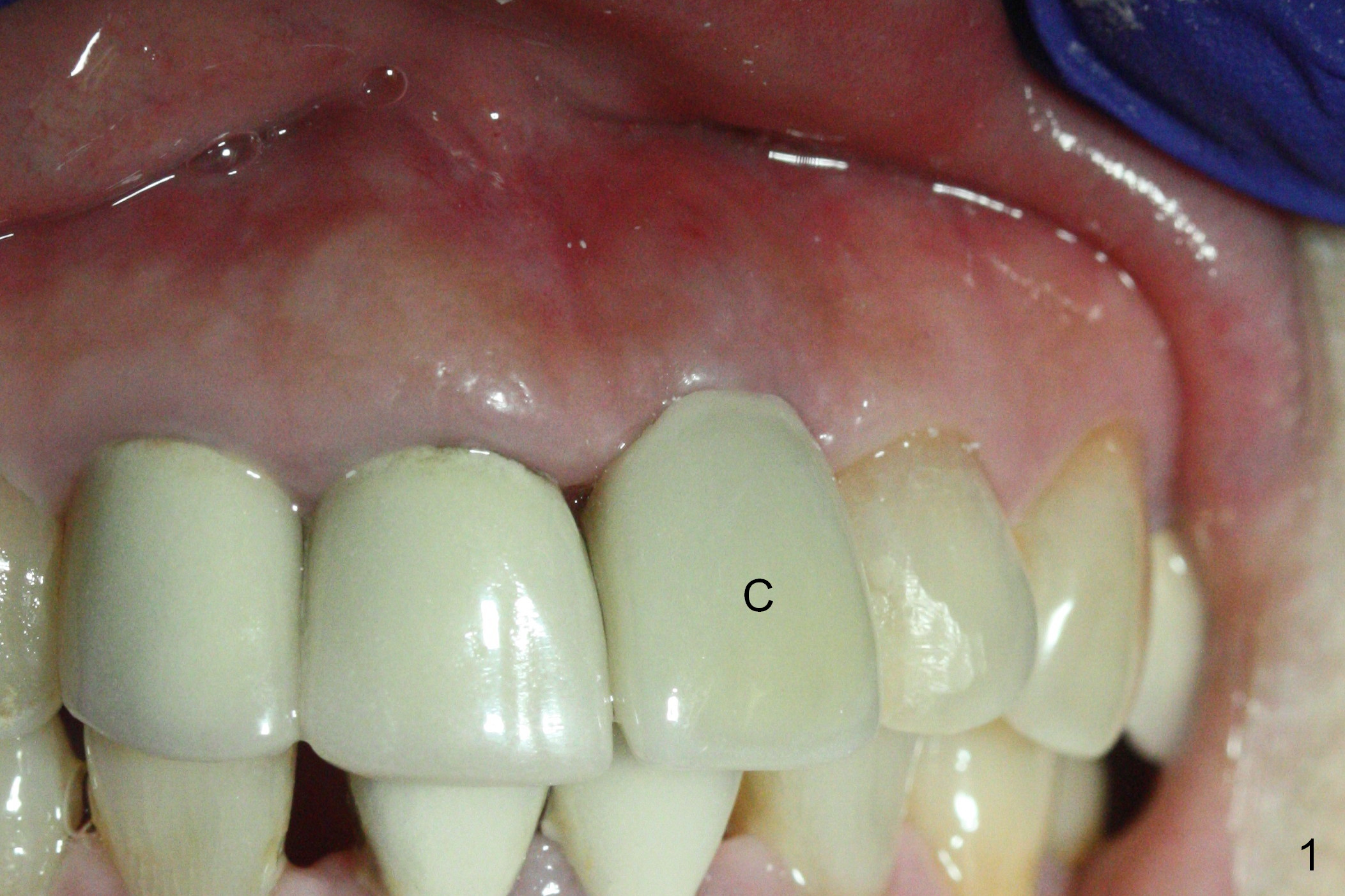
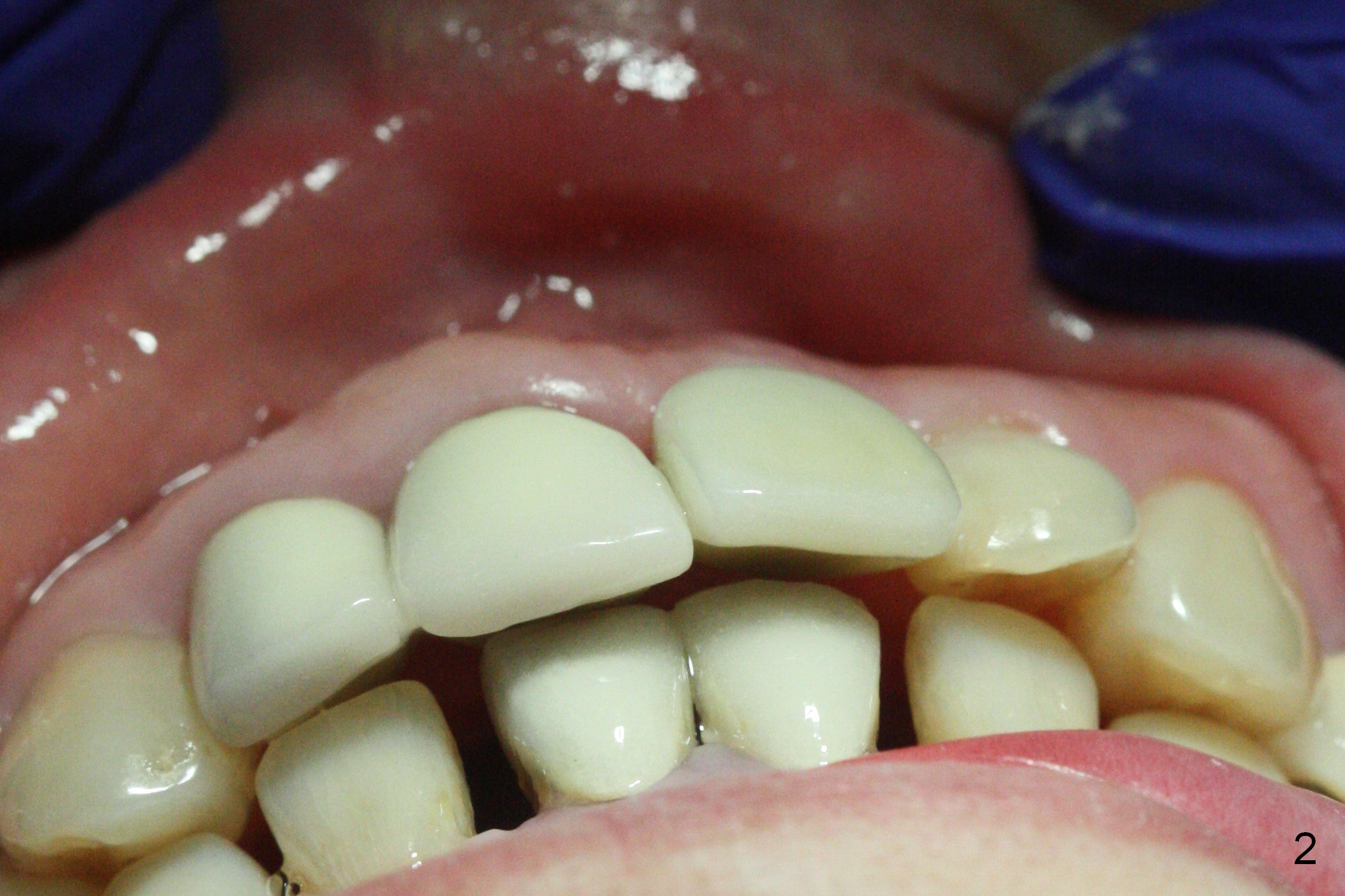
When a permanent crown (Fig.1 C) is seated 5 months postop, it looks too long and bulky (as well as metal show through cervically), which is in turn due to buccal placement of the crown (Fig.2) and abutment (Fig.3). By mistake, abutment is changed from 4.5x15°, 3 mm cuff to 4.5x15°, 2 mm cuff (Fig.4-6); the profile appears to improve. After prep (buccoincisal (Fig.4 ^) and linguoincisal), impression is taken. The gold coating in the buccocervical area is untouched so that there should be no or minimal metal show through. Please make a new crown as cosmetic as possible (not too bulky, especially buccocervical). If you feel that the result will be the same as before, return the case. The angled abutment may be changed 25°. In fact the new crown looks better.
Return to
Upper Incisor Immediate
Implant
Xin Wei, DDS, PhD, MS 1st edition 01/07/2017, last revision 01/22/2017