![]() |
![]() |
![]() |
![]() |
![]() |
![]() |
![]() |
|
![]() |
![]() |
![]() |
![]() |
![]() |
![]() |
||
Existing Crown as Provisional
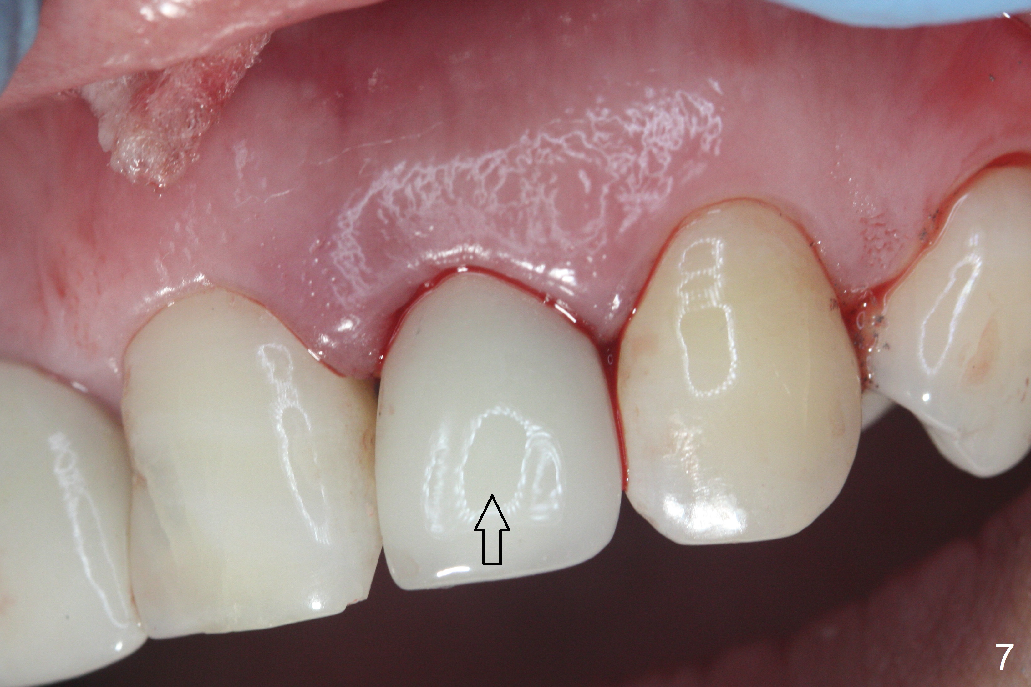
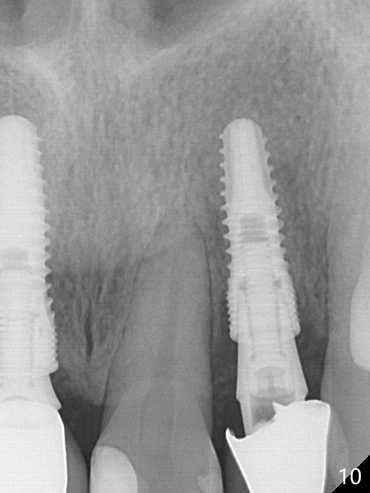
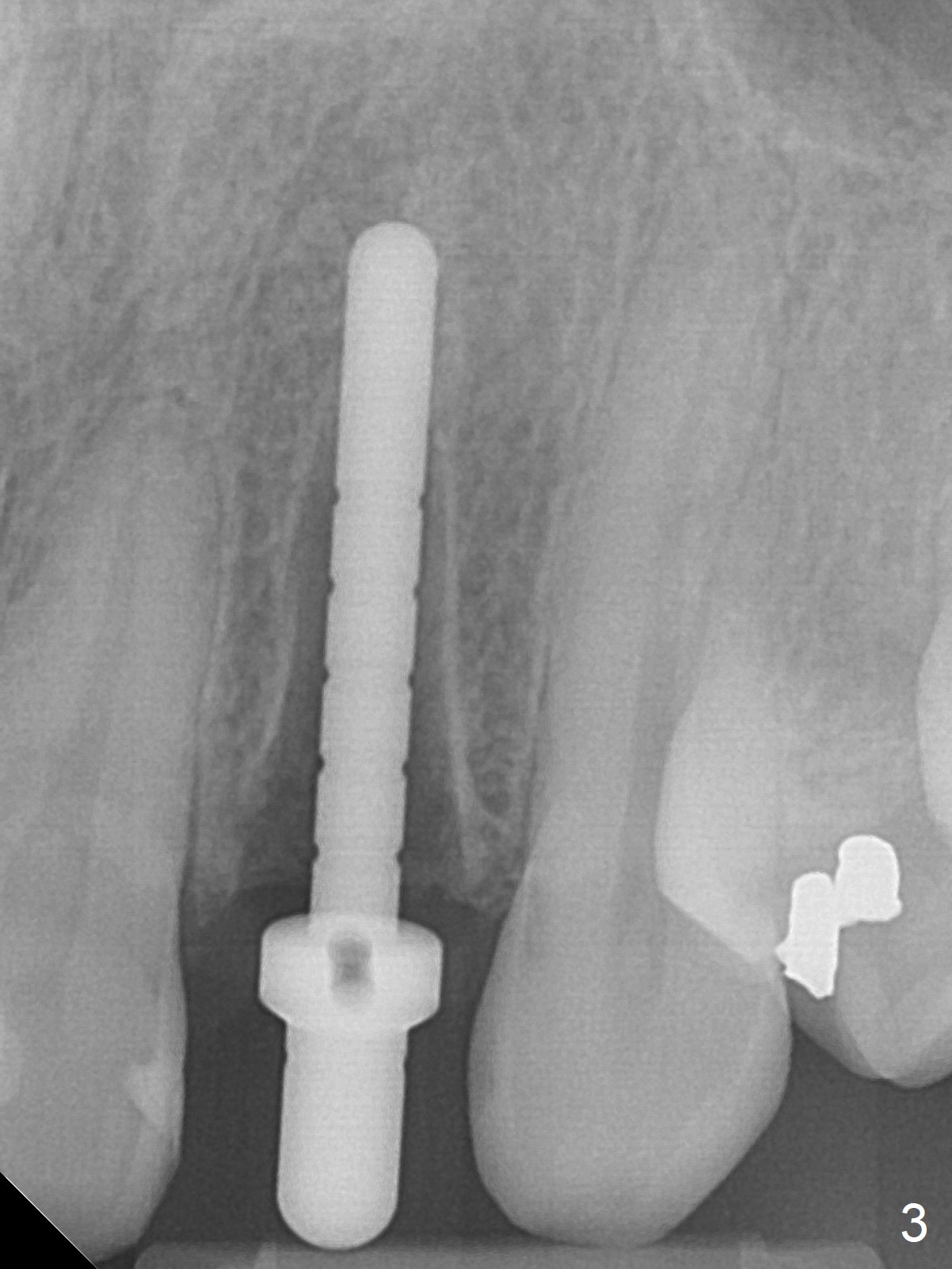
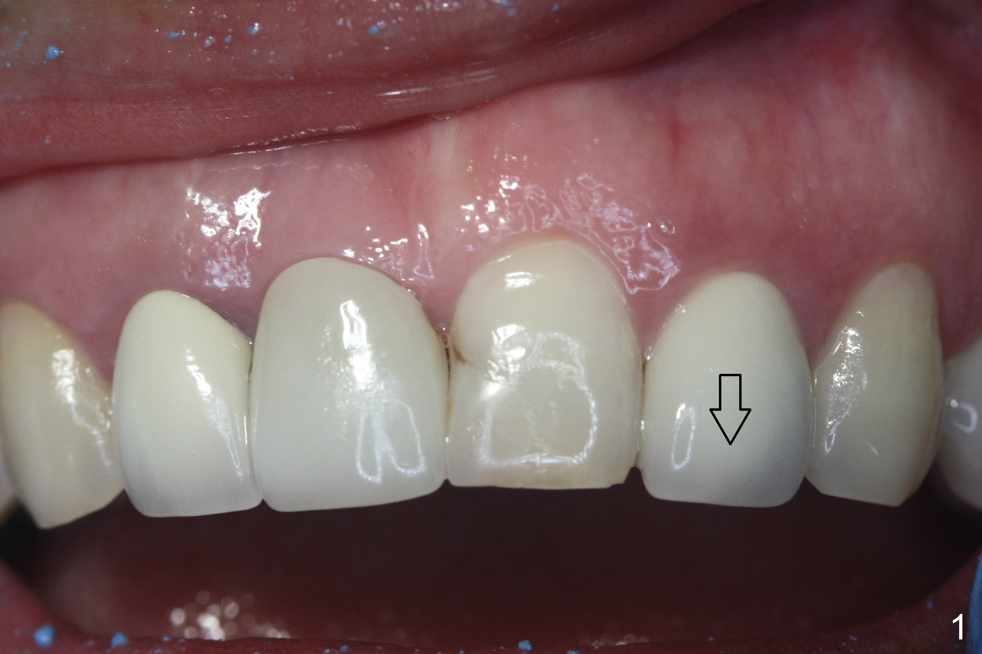
When the patient returns, the crown at #10 has displaced incisally (Fig.1,2 arrow). The initial depth is 15 mm (Fig.3, palatal gingival margin). After a 3.8x12 mm SM implant is placed (Fig.4), allograft is packed in the peri-implant space (*, as compared to Fig.3) and a 3.9x4(3) mm abutment is placed (A). More allograft is placed in the peri-abutment space (Fig.6 *). The existing crown (Fig.4,5 C) is hollowed, relined (R) and used as an immediate provisional (Fig.7-9). The patient is pleased with the appearance of the apically-repositioned provisional (Fig.7 arrow). She returns for impression 3.5 months postop (Fig.10). After change of abutment to 3.9x4(4.5) mm and new provisional, impression is retaken 5 months postop (Fig.11,12). It appears that the implant is palatally placed and a little large for the site (Fig.11 (B: buccal); Fig.12 (^: thin layer of the palatal plate)). If an angled abutment were used, a screw-retained crown might have been feasible. Due to the new provisional, the gingiva looks healthy when a permanent crown is cemented (Fig.13).
Return to
Upper Immediate Implant,
IBS,
#8,30,31
Xin Wei, DDS, PhD, MS 1st edition 08/15/2017, last revision 10/14/2018