![]() |
![]() |
![]() ![]() |
![]() |
Flapless Angled 1-Piece Implant
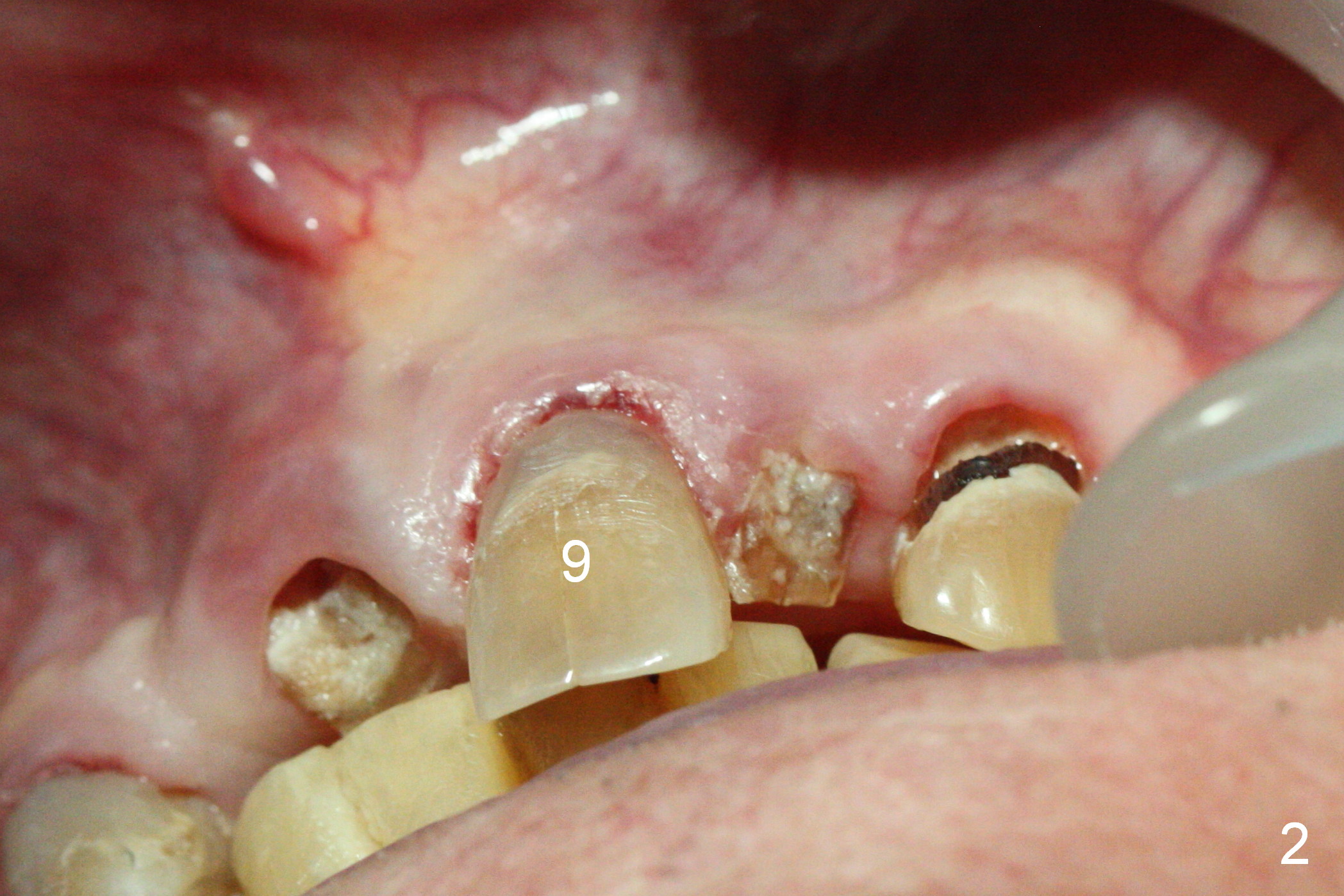
A 88-year-old man (CA) has severe xerostomia-induced caries. After caries control, implants will be placed at #7, 8 and 10 with narrow mesiodistal width (Fig.1,2). Note concavity at the apical buccal plate (*). To prevent perforation, an angled 1-piece implant will be used at #7. Try to place the implant in the middle of the alveolus (digital palpation while drilling) and let the angled abutment take care of the trajectory. To preserve papillae, flapless approach is going to be adopted. Initial depth at these sites will be 12,14 and 14 mm, respectively (Fig.3,4). Use Boley gauge to measure widths of the root to determine the diameter of the implant.
Return to
Upper Incisor Immediate Implant, Prevent
Anterior Periimplantitis,
IBS,
No antibiotic,
Update
Socket Shield
Xin Wei, DDS, PhD, MS 1st edition 10/23/2016, last revision 02/19/2021