Lengthwise, a longer osteotomy is needed (Fig.4): 20 mm at the gingival level, 17 mm at the bone level.  Distal to the 5 mm tap (T) is a gap (*).  After a 5x20 mm implant (Fig.5 I) is placed, the distal gap is filled with bone graft (*).  

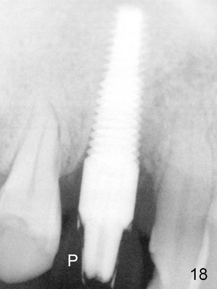
Three months postop, the implant appears to have osteointegrated with disappearance of the distal gap (Fig.18).  P: provisional.  The crestal bone is stable 3 Years 7 Months Post Cementation (Fig.21).

Position & Length Last Next

Xin Wei, DDS, PhD, MS 1st edition 01/22/2020, last revision 01/23/2020