![]() |
![]() |
![]() |
|||
![]() |
![]() |
![]() |
![]() |
![]() |
|
![]() |
![]() |
![]() |
![]() |
![]() |
|
![]() |
![]() |
![]() |
![]() |
![]() |
|
![]() |
![]() |
![]() |
|||
![]() |
![]() |
![]() |
![]() |
||
![]() ![]() |
|||||
Socket Shield: Necessity M
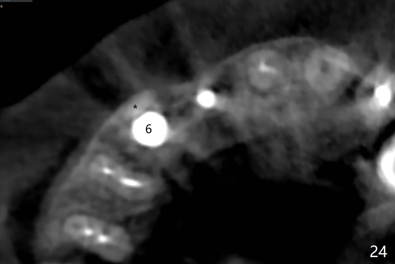
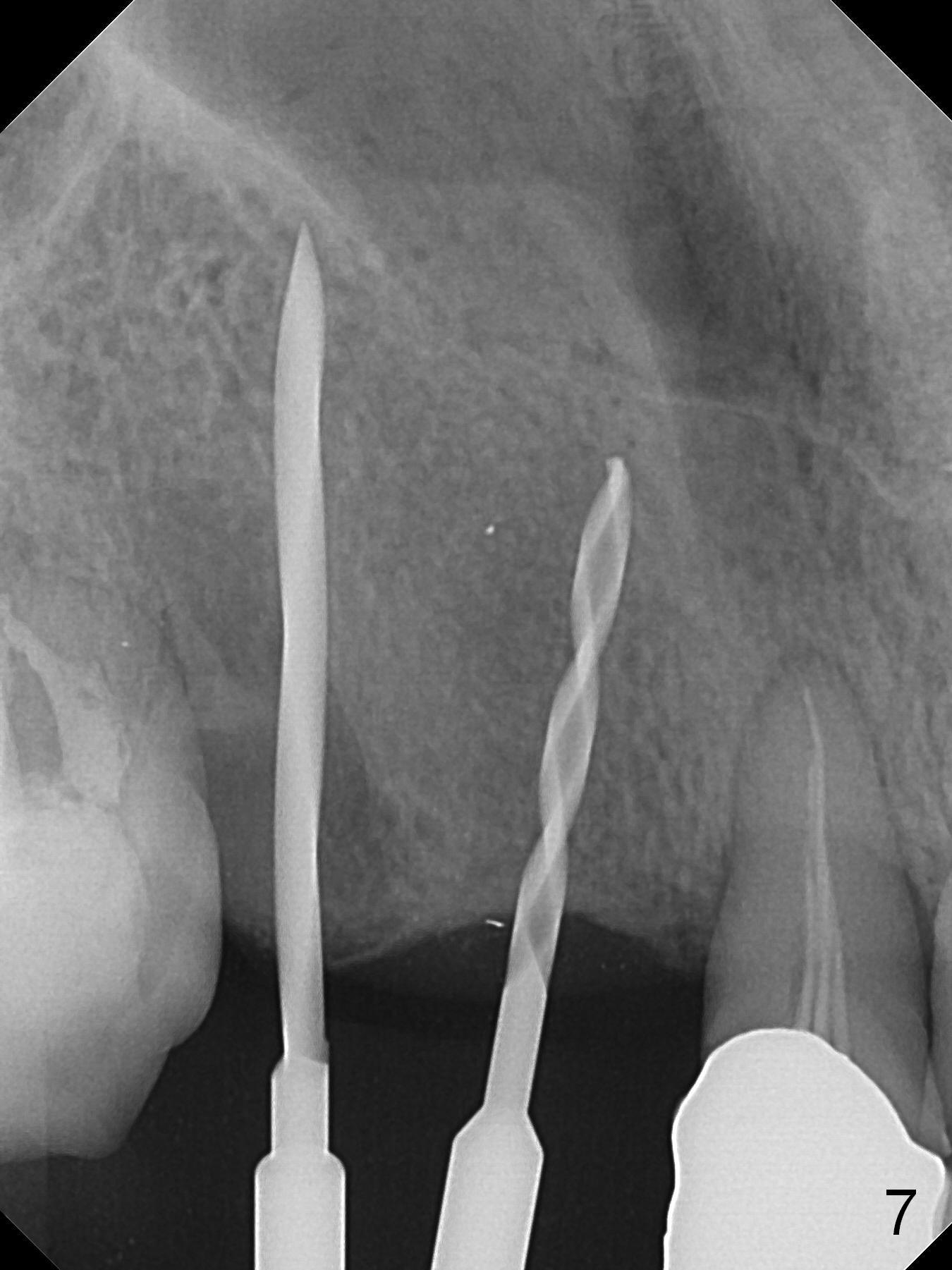
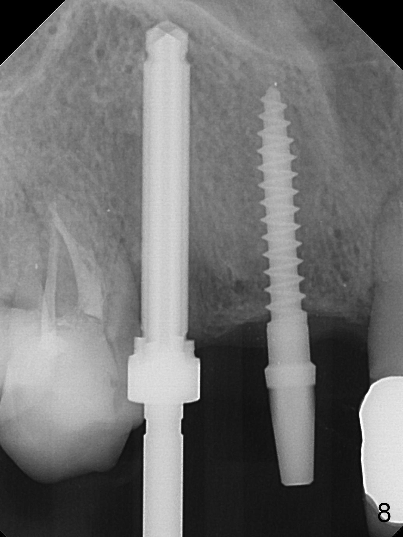
When the bridge is sectioned between #7 and 8, the tooth #6 is found non-salvageable (Fig.1). Incision shows the atrophic buccal plate at #7 (Fig.2 arrowheads); to prevent the same feature from happening at #6 with thin buccal plate, the most buccal portion of the root is preserved (socket shield (Fig.2-4: *)). The initial osteotomy is established in the palatal slope at #6 (Fig.5 circle) with 1.5 mm drill (Fig.6,7). A portion of the root is visible in Fig.6 (arrowheads). After sequential osteotomy with 2 mm, 3 mm (Fig.8) and 3.2 mm drills, a 4x15 mm implant is placed (Fig.10). To accommodate the cross bite, the coronal portion of the implant (Fig.9 white circle) is positioned close to the socket shield. It appears that the shield prevents the implant from encroaching the buccal plate.
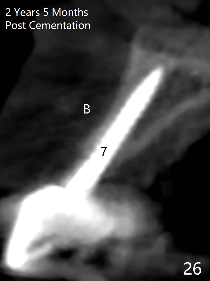
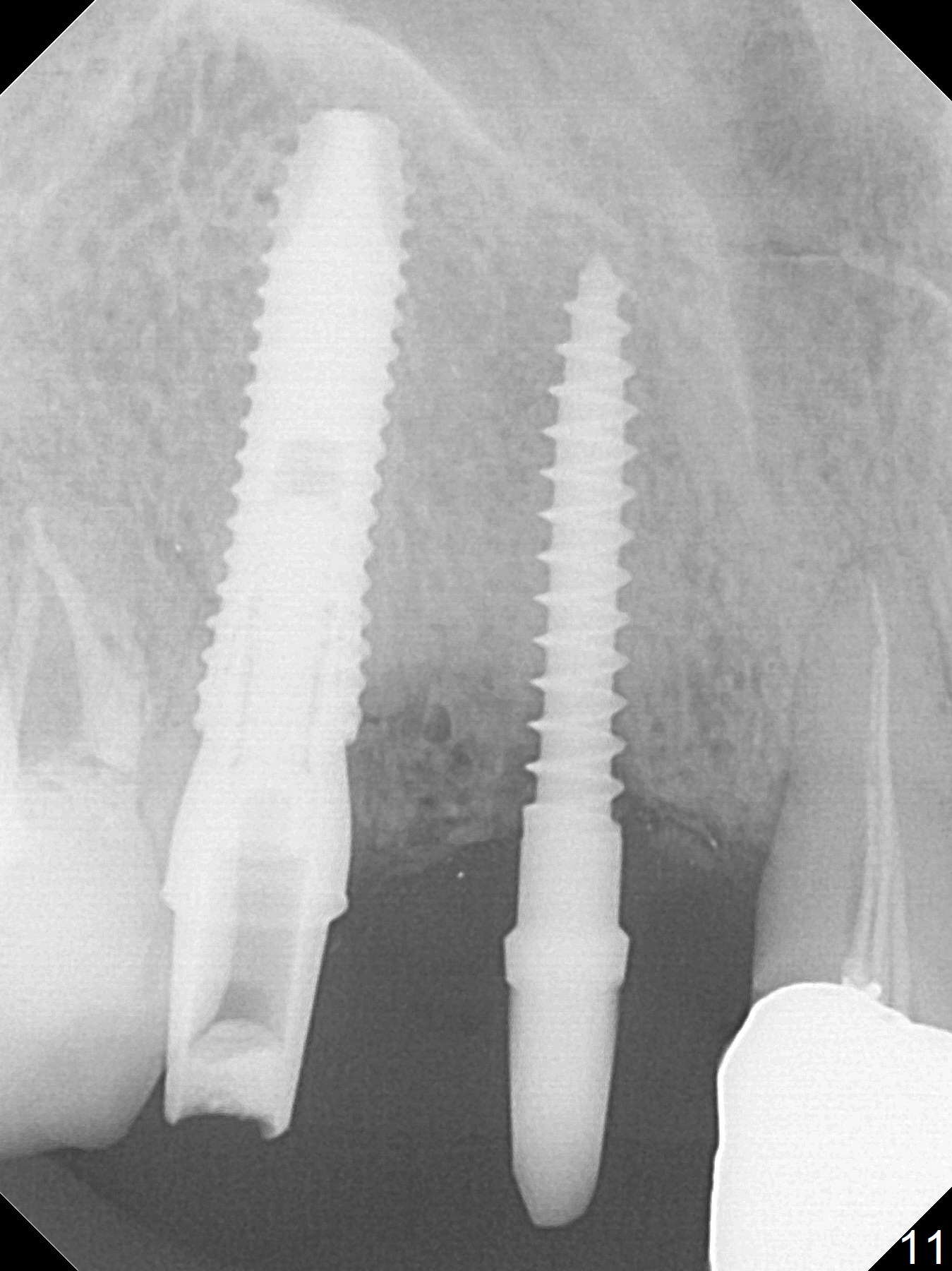
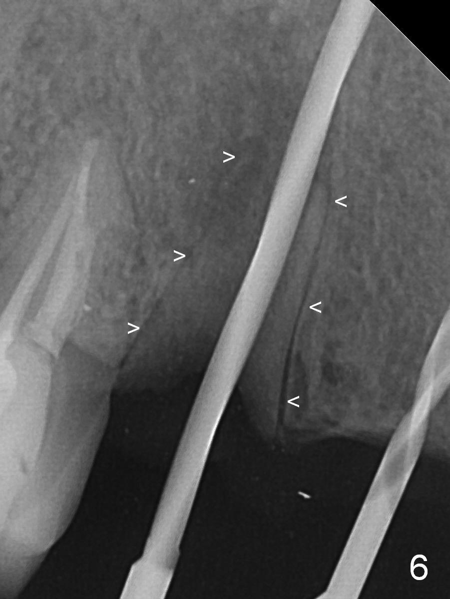
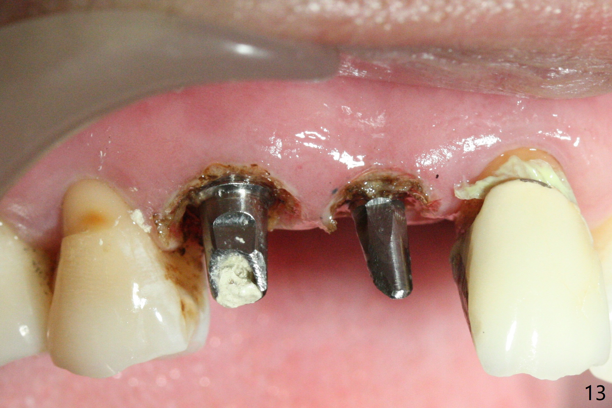
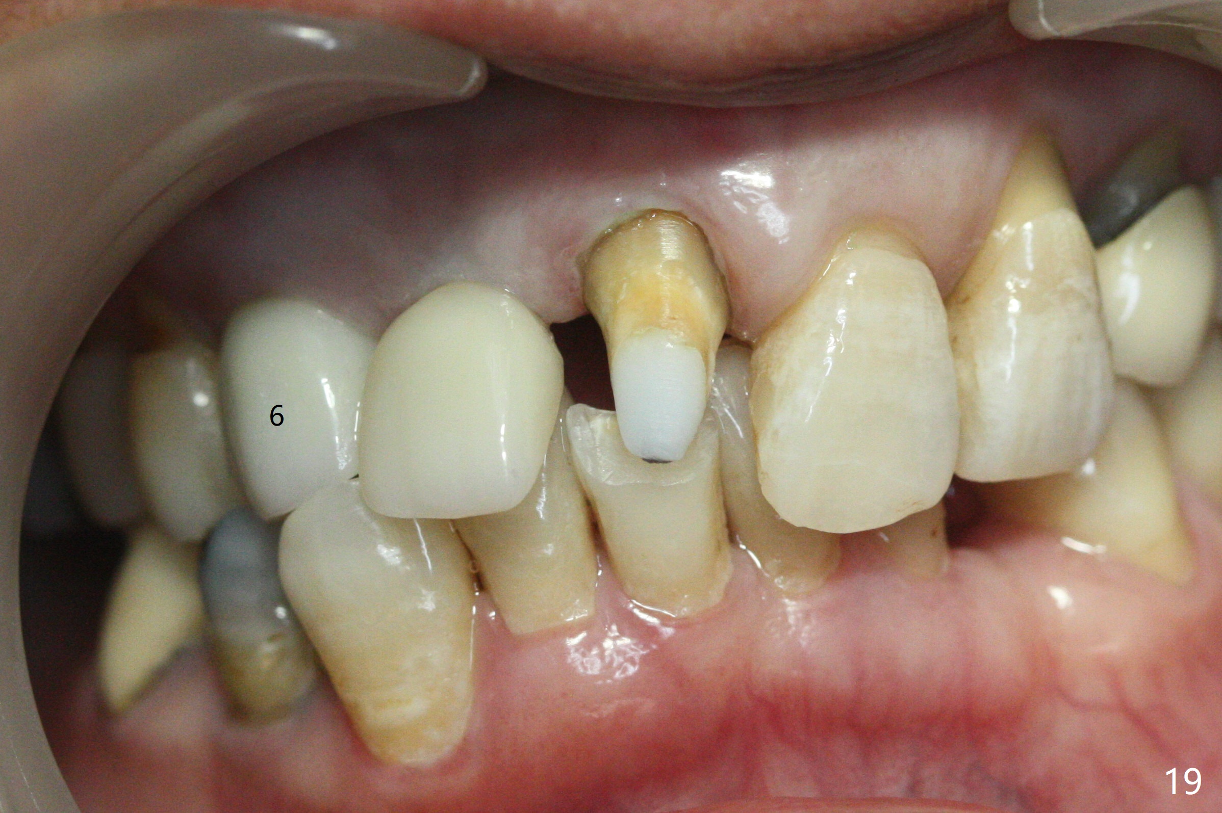
Since the ridge at #7 is ~ 4 mm, a 2.5x14 mm 1-piece implant is placed (Fig.8) after 1.2 mm (Fig.7), and 1.5 mm drills at 12 mm and 2 mm drill at 8 mm. Later the implant is placed deeper (Fig.10). There is no bone loss 7 or 12 months postop, respectively (Fig.11,12). After Diode gingivectomy, there is papillary formation (Fig.13). No provisional is provided after impression (with the abutment torqued at #6) for oral hygiene. With access holes at #6 and 7, crowns are bonded with minimal residual cement (Fig.14 <, which is removed later). There is no hard (Fig.15,16) or soft (Fig.17 *) atrophy 26 months postop, i.e., 13 months post cementation, due to the presence of socket shield (Fig.15 <, as compared to Fig.1). In fact the tooth #8 has mobility and fremitus (short root/poor crown/root ratio, Fig.16); occlusal adjustment is done 13 months post cementation. The crown is dislodged 2 years 1 month post cementation; a prefabricated post is being tried in (Fig.18). There is no atrophy, bone loss or infection at #6 (with socket sheath (*)) or 7 two years 5 months post cementation (Fig.20-27).
Return to
Upper
Canine Immediate Implant,
IBS,
#30,
Shield
Xin Wei, DDS, PhD, MS 1st edition 01/06/2017, last revision 02/20/2021