![]() |
![]() |
![]() |
![]() |
|
![]() |
![]() |
|||
When Surgery Does Not Turn Out To Be Expected
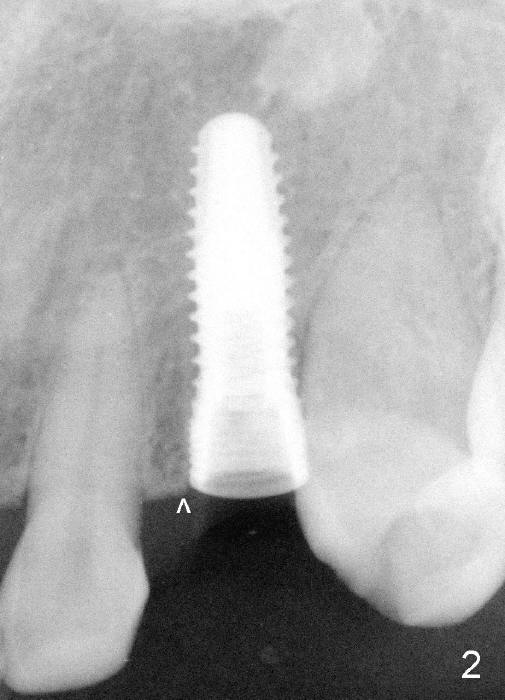
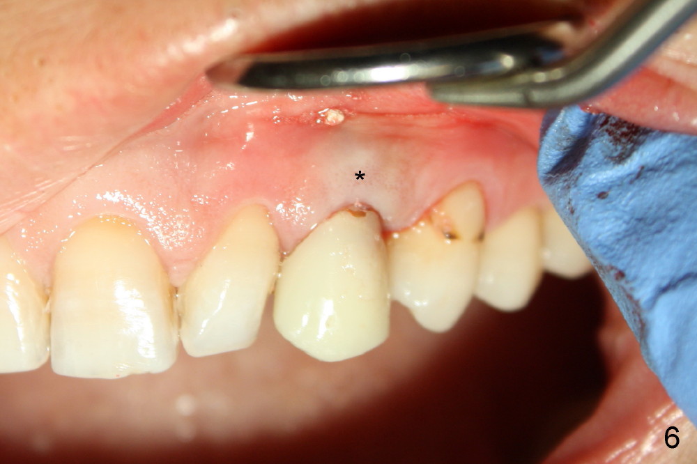
The 42-year-old lady refuses to take antibiotic prior to surgery due to lactation. The extraction of the upper left deciduous canine is not difficult as expected. There appears to be no granulation tissue. What is unexpected is difficulty in osteotomy. Initial osteotomy is too palatal, apparently perforating the palatal plate. The osteotomy has to be changed: slightly palatal to the center of the original socket (Fig.1: 2 mm pilot drill). As drills increase in diameter, the coronal end of the drills have to be tilted buccally, because it feels like that the labial plate at the apical end is going to be perforated. When 4.5x14 mm bone level implant is placed, the implant is sticking out too much (Fig.2). To alleviate this cosmetic issue, the implant is placed deeper (Fig.3). A 25º angled abutment is placed with heavy labial reduction (Fig.4,5). The patient is pleased with a stable new tooth, but the operator is not (Fig.6). Removal of the implant may be not the wildest guess. Two or three days postop, the patient reports pain and swelling. The symptoms disappears after antibiotic. One week follow up reveals wound healing normal. The gingiva returns to its normal color, as compared to purplish appearance in Fig.4,6 (immediately postop). In fact, the implant fails in a month.
Return to Upper Canine Immediate Implant Right Xin Wei, DDS, PhD, MS 1st edition 11/09/2014, last revision 02/03/2019