![]() |
![]() |
![]() |
![]() |
![]() |
![]() |
Three Neighboring Implants
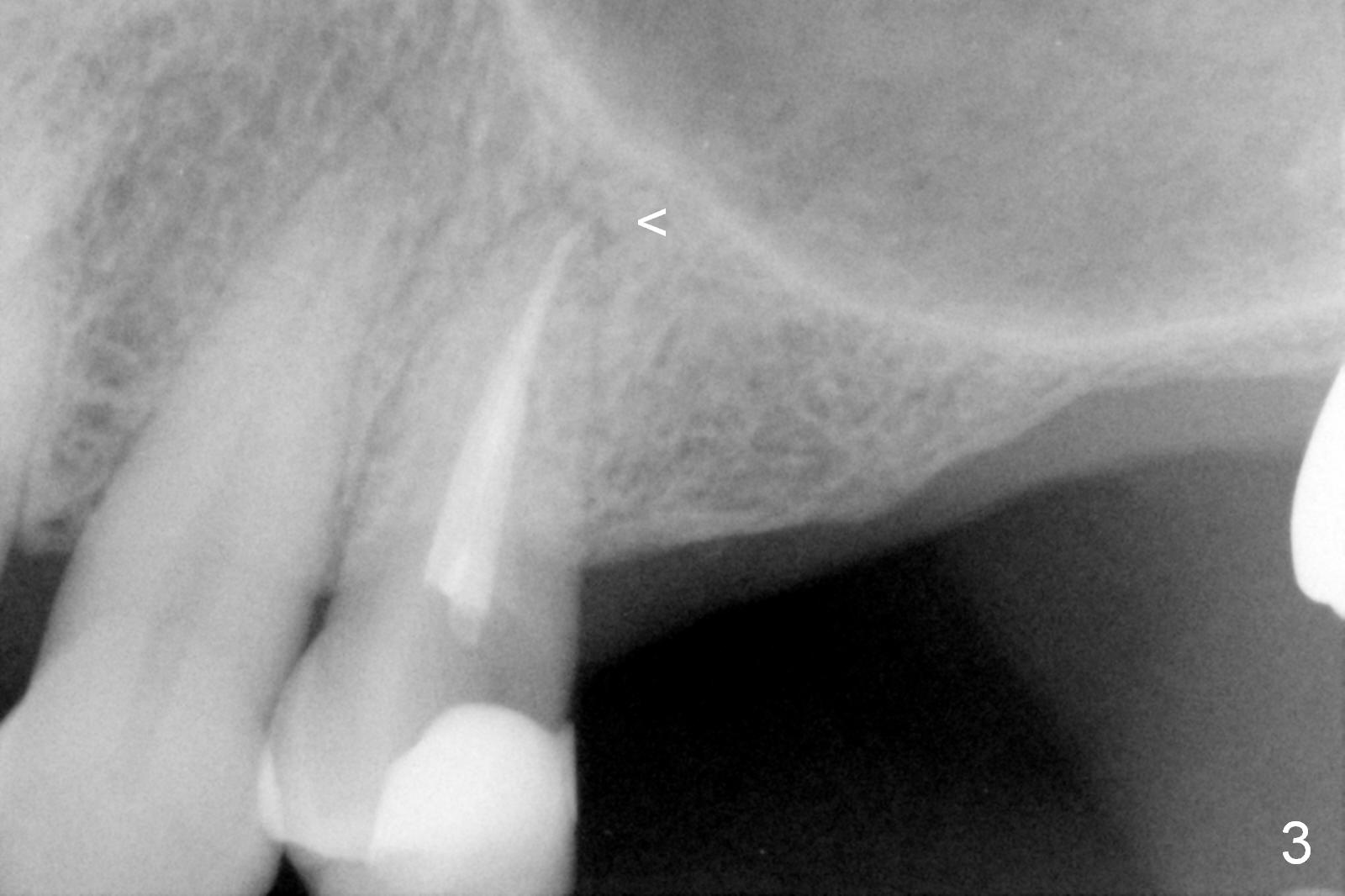
A 64-year-old man (MM) had caries at the tooth #12 (Fig.1), requiring root canal therapy (RCT, Fig.2). One year later, the periapical radiolucency reduces (Fig.3 <, as compared to that in Fig.2). The tooth remains asymptomatic 7 years posts RCT (Fig.4). A year later, the tooth has pain and buccal gingival swelling (probing tenderness); periradicular radiolucency is evident (Fig.5 arrowheads). It appears that the root fractures. Between the 7th and 8th years post RCT, the patient masticated mainly on the left side, while implants were placed at #30 and 31. The patient plans to have 4 implants in the upper left sextant (Fig.6). While implants are being placed at the site of #12 (Clindamycin) and 13, sinus lift seems mandatory at the sites of #13 and (initial depth will be 5-6 mm). By the time implants to be placed at #14 and #15, the bone height may increase.
Impression has been taken for wax up. The root fracture at #12 is obvious now. Take photos.
Return to
Upper Premolar Immediate Implant,
Armaments
Xin Wei, DDS, PhD, MS 1st edition 07/15/2016, last revision 01/19/2018