![]() |
![]() |
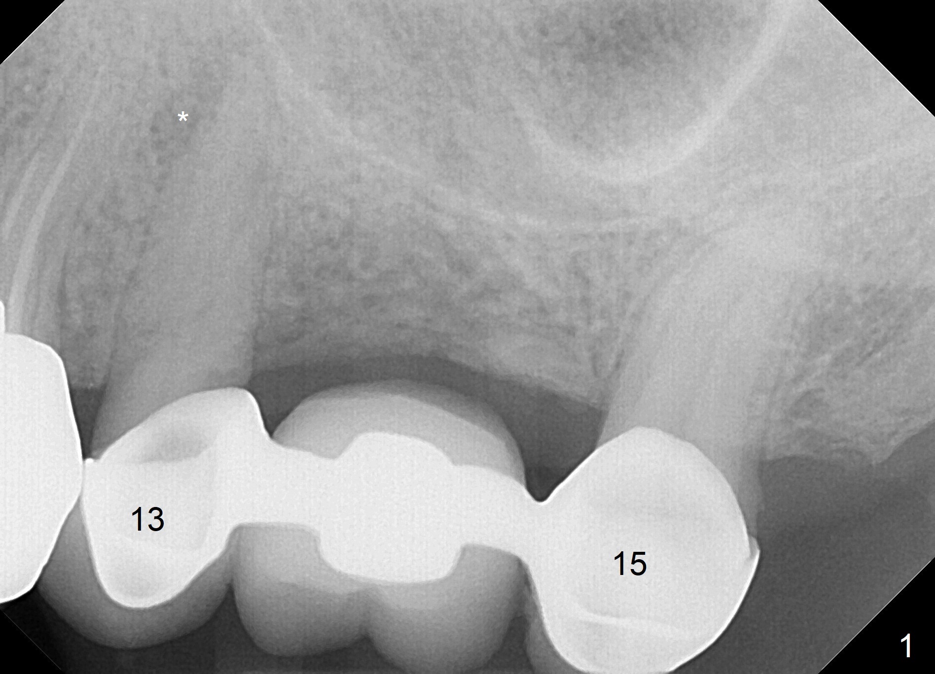
Implant Site Next to PARL
A 75-year-old man came to our office with symptom related to #13-15 FPD 2 months ago (Fig.1). Note periapical radiolucency (PARL, *) associated with the tooth #13. He has a RPD to replace #2 and 3. Last Friday, the crown and post at #12 dislodged (Fig.2). To reduce infection from the neighboring tooth (*), osteotomy will be established in the mesial slope of the socket (red line). The RPD has clasps at #4; the immediate provisional should be wide enough to cover the socket, while it must be skinny enough coronally to avoid contact when the patient puts on and takes off the RPD. The 1st premolar is still in cosmetic zone. If the implant is placed buccal, use a gold-coated abutment. Return to Upper Premolar Immediate Implant, IBS, Clindamycin Xin Wei, DDS, PhD, MS 1st edition 08/25/2017, last revision 11/10/2018