![]() |
![]() |
![]() ![]() |
![]() |
Soft Bone: Underprep and Longer Implant
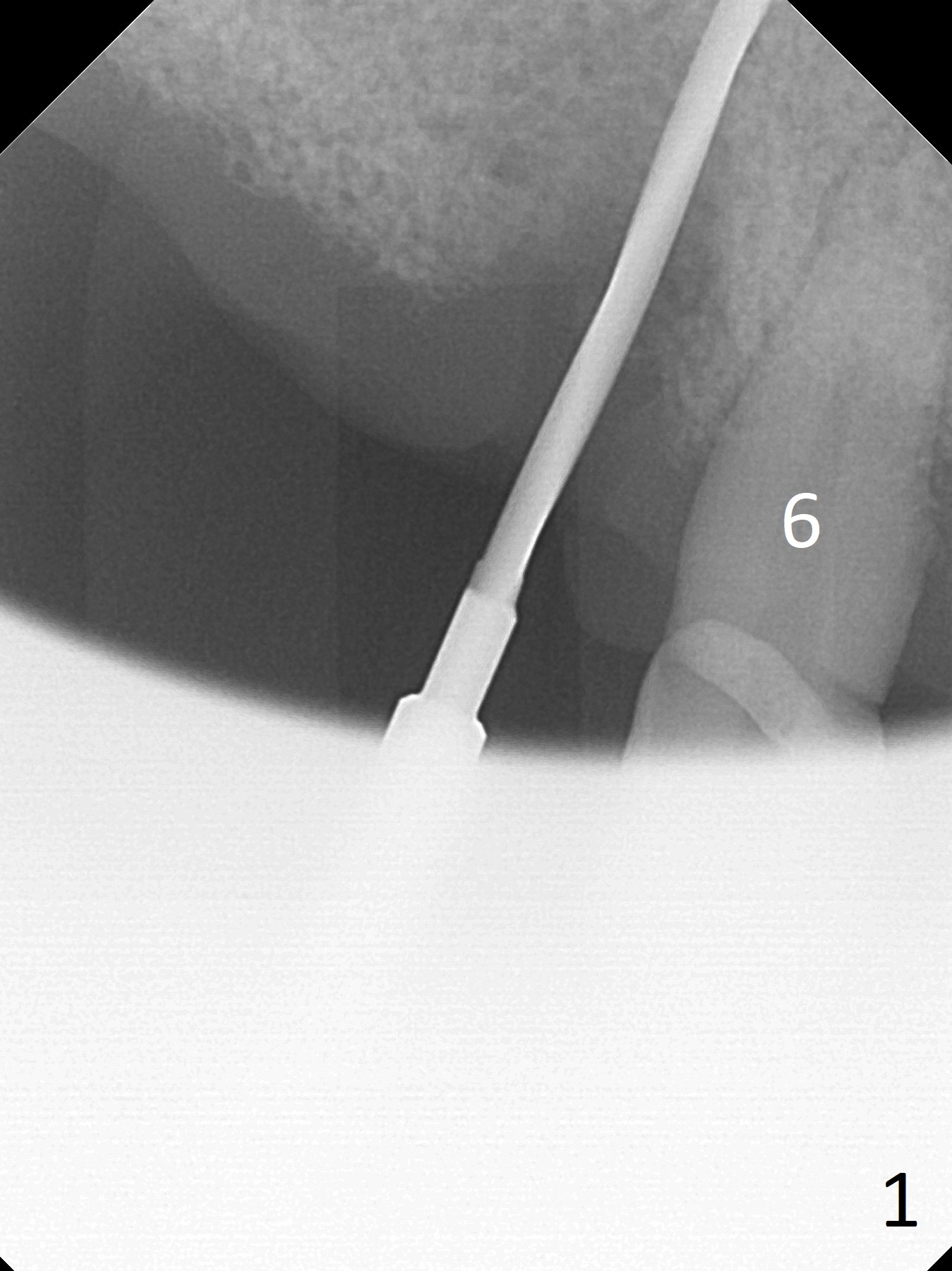
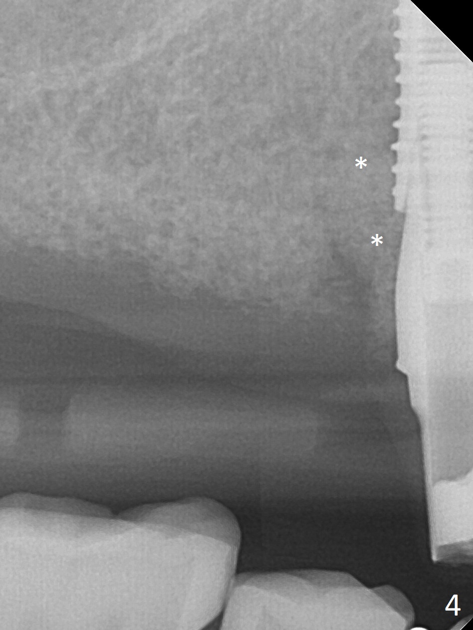
Extraction of the tooth #5 with mobility III reveals no buccal plate and low palatal plate. Osteotomy starts as palatal as possible (Fig.1). The bone density is low. After use of 2.7 mm drill (Fig.2), a 3 mm drill can be inserted into the osteotomy without resistance. A 4x16 mm implant is placed with insertion torque <30 Ncm. When an abutment is placed, the implant is found to have been placed distal. The implant is untorqued for change in trajectory. When a 4.5x7(5) mm abutment is placed, the abutment turns with the underlying implant (Fig.3). The former is kept to be turned with a hand driver until the latter is unable to turn. Following placement of allograft (Fi.g3,4 *), a mini-provisional is fabricated to retain the bone graft and at the same time not to be interfered with when a flipper is in and out. The bone graft in the former socket gap appears to have integrated into the native one 4.5 months postop (Fig.5).
Return to
Upper
Premolar Immediate Implant, IBS,
12,13
Xin Wei, DDS, PhD, MS 1st edition 06/22/2017, last revision 10/14/2017