![]() |
![]() |
||
![]() |
![]() |
![]() |
![]() |
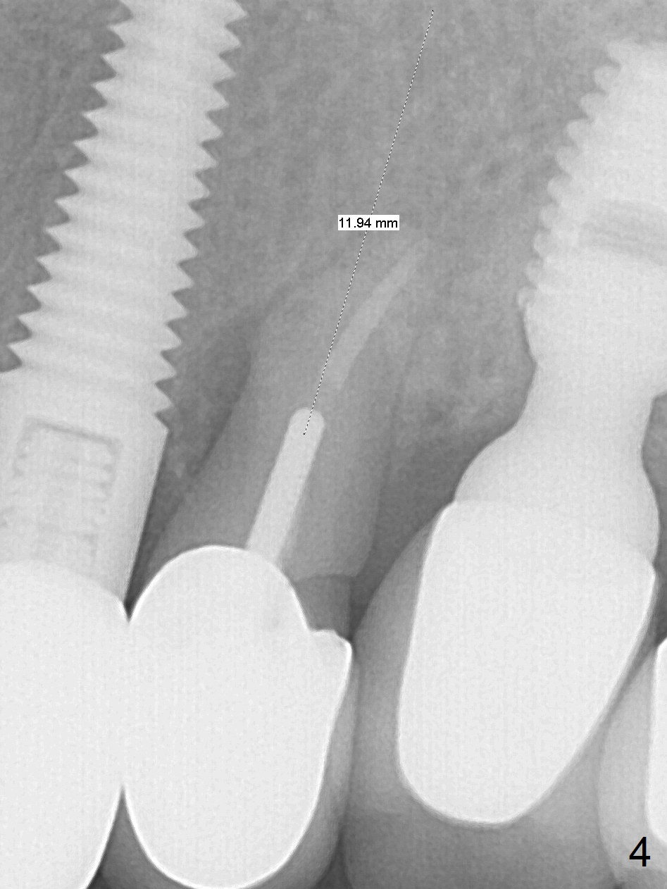
Root Tip Curves Distal
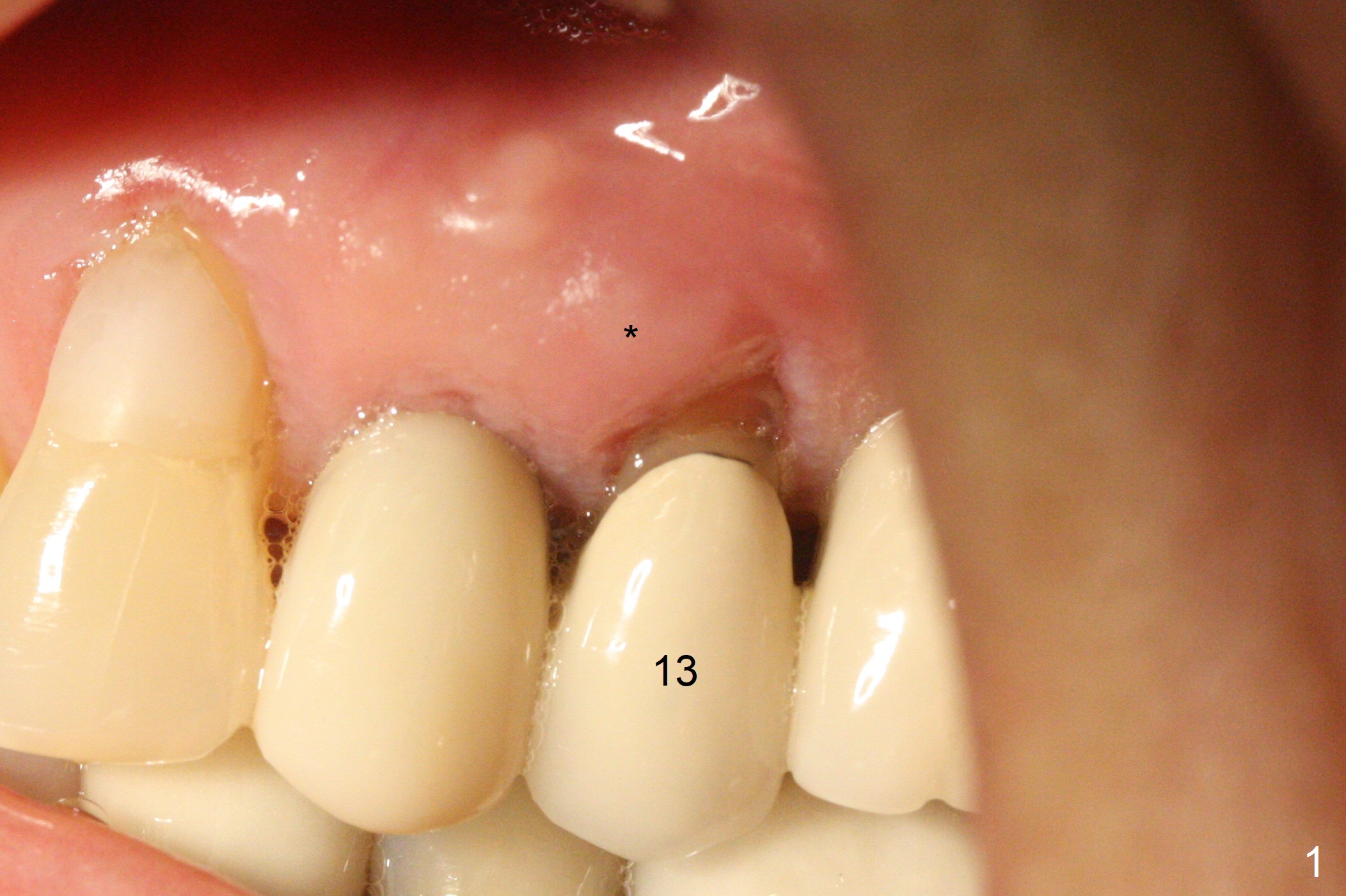
A 59-year-old woman has mild discomfort in the upper left quadrant, which is alleviated by salt water rinse. The buccal gingiva recedes at #13 with mesiobuccal swelling and deep pocket (Fig.1,3), corresponding to the mesial radiolucency (Fig.2 *). The tooth appears to have vertical fractured root, as related to the retention post. Since the root tip curves distal, the initial osteotomy (Fig.5 red) should be established in the mesioapical slope after extraction (black). Following initial entrance, the trajectory will be changed to the long axis of the space (Fig.6) with PA to be taken. Measure the depth of the buccal crest against the buccal, proximal and palatal gingival margins. Place an implant, the same as #12 (4.5x20 mm) unless the mesiobuccal defect is extremely large (UF).
Return to
Upper
Premolar Immediate Implant,
IBS,
Metronidazole
Xin Wei, DDS, PhD, MS 1st edition 07/08/2017, last revision 02/16/2018