Bone Graft (Fig.4 *) is shown around the implant and a longer abutment (4.5x5.5(5) mm) after trimming.  The graft cannot be pushed to the mesial surface of the tooth #14, probably due to the presence of the interdental papilla.

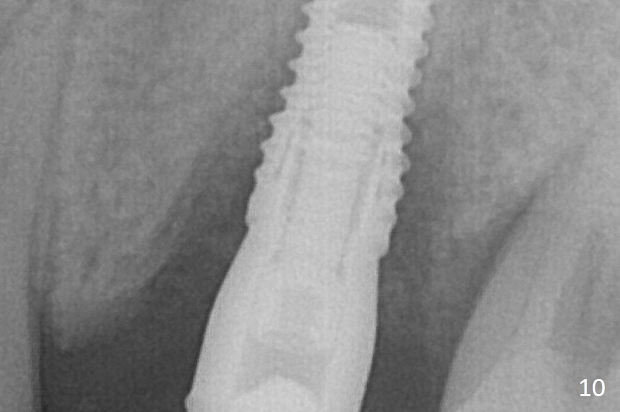
Bone density between #13 and 14 appears to increase 3 months postop (Fig.10).  There seems to be more bone growth (i.e., decreasing gap) 6 months postop (Fig.12).

Long Implant Last Next

Xin Wei, DDS, PhD, MS 1st edition 02/03/2017, last revision 12/01/2020