![]() |
![]() |
Underprep and No Prep
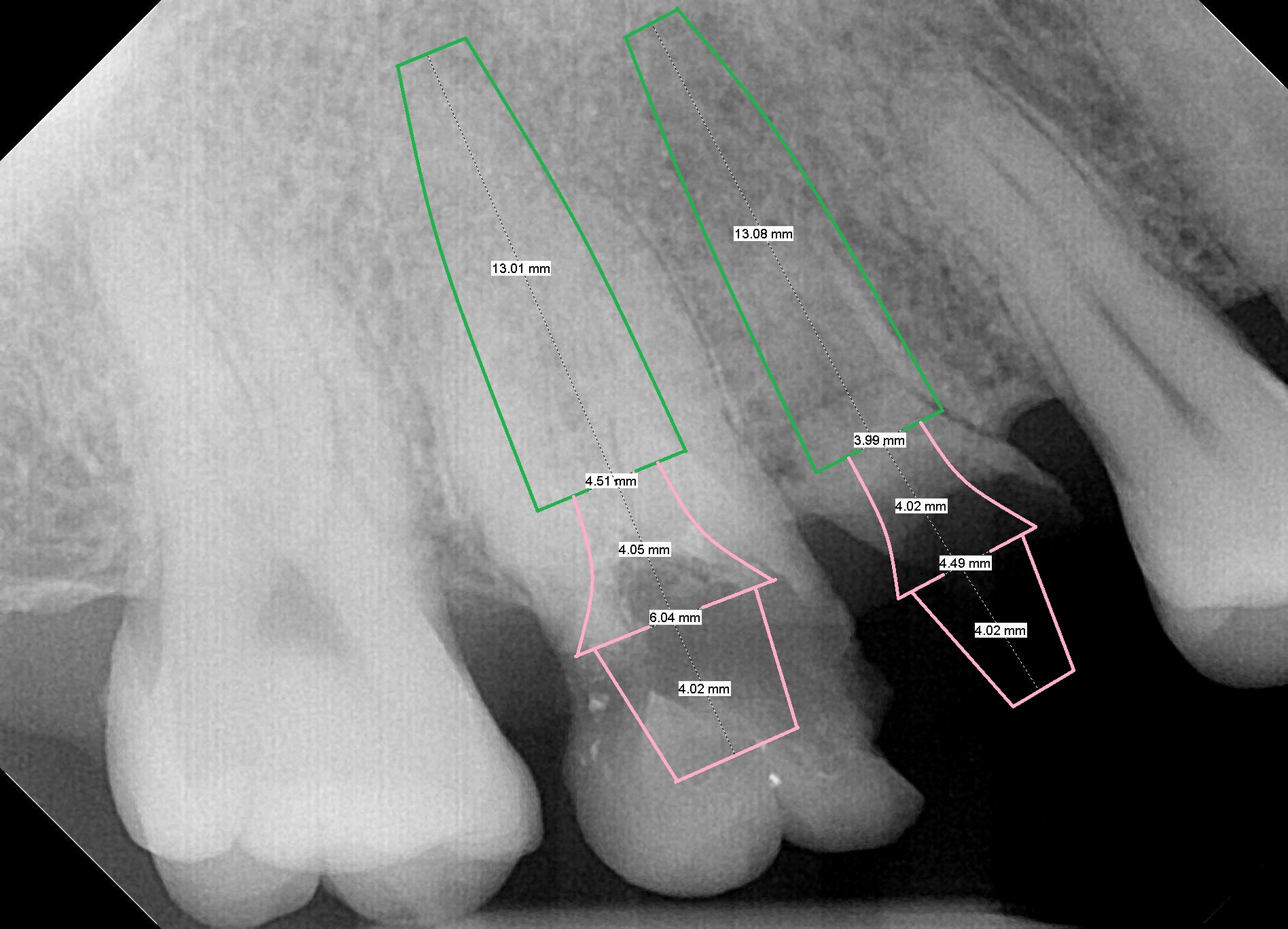
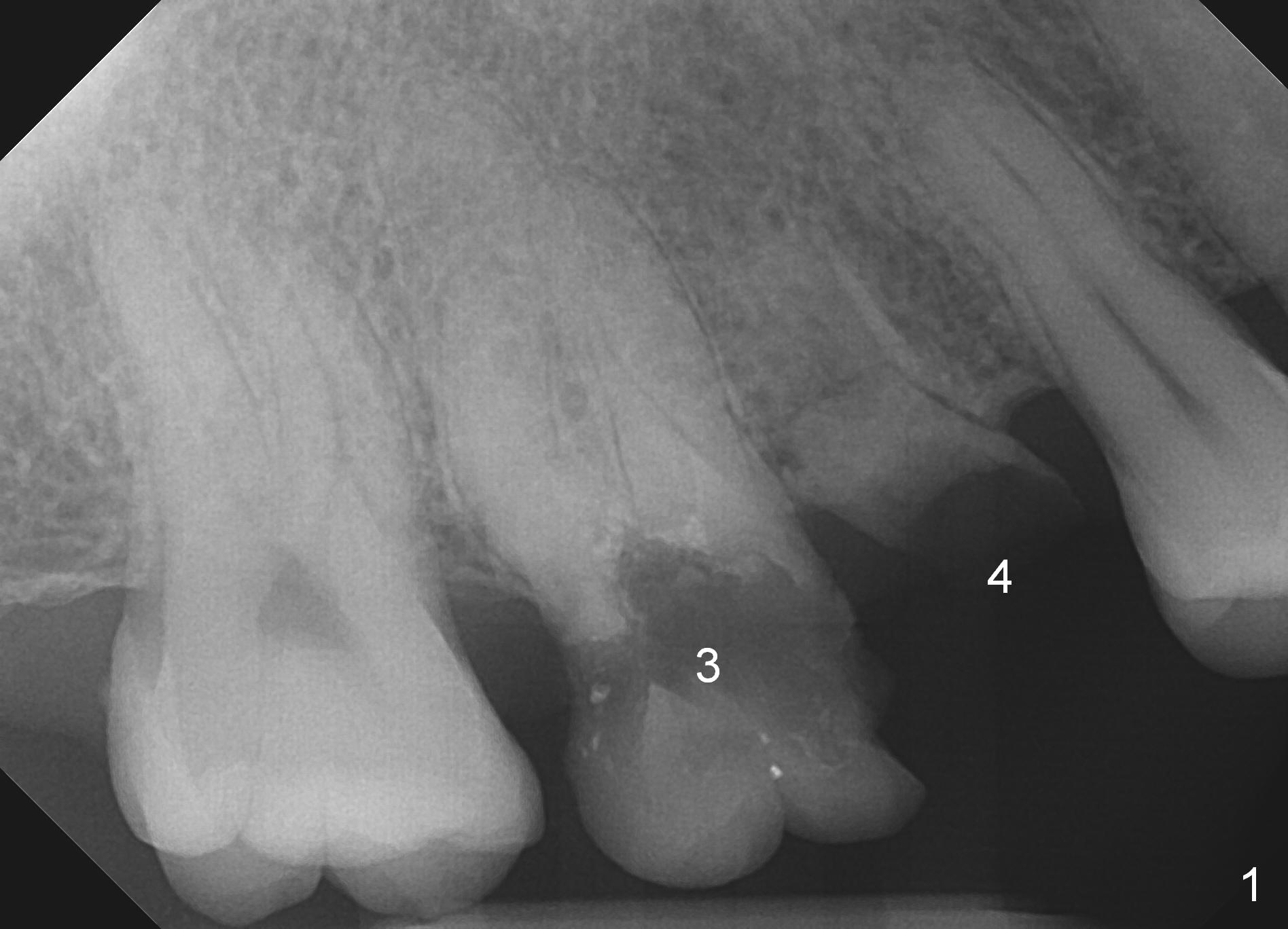
A 49-year-old woman (DC) requests treatment for residual roots at #3 and 4 after treatment of #9 (Fig.1). It appears that there will be no buccal or palatal wall defects. After extraction (no Antibiotic socket disinfection), osteotomy will be initiated with 1.6 mm pilot drill in the septum of #3, followed by Marking Bur (if the septum is pointed) and Magic Drill 3.3 mm for the full length (Fig.2), 3.8 mm for full length-2 mm. A 4.5 mm dummy implant is to be placed at #3 (underprep). If primary stability is low, place an implant of the next size. At #4 site, place a 4 mm dummy implant as palatal as possible (no prep). Measure the depth of the socket and the implant will be 1-2 mm shorter.
Shift to UF if the longest IBS implant does not achieve primary stability at #3.
Return to
Upper Premolar,
Molar
Immediate Implant, Prevent
Molar Periimplantitis (Protocols,
Table)
Xin Wei, DDS, PhD, MS 1st edition 01/28/2017, last revision 01/19/2018