![]() |
![]() |
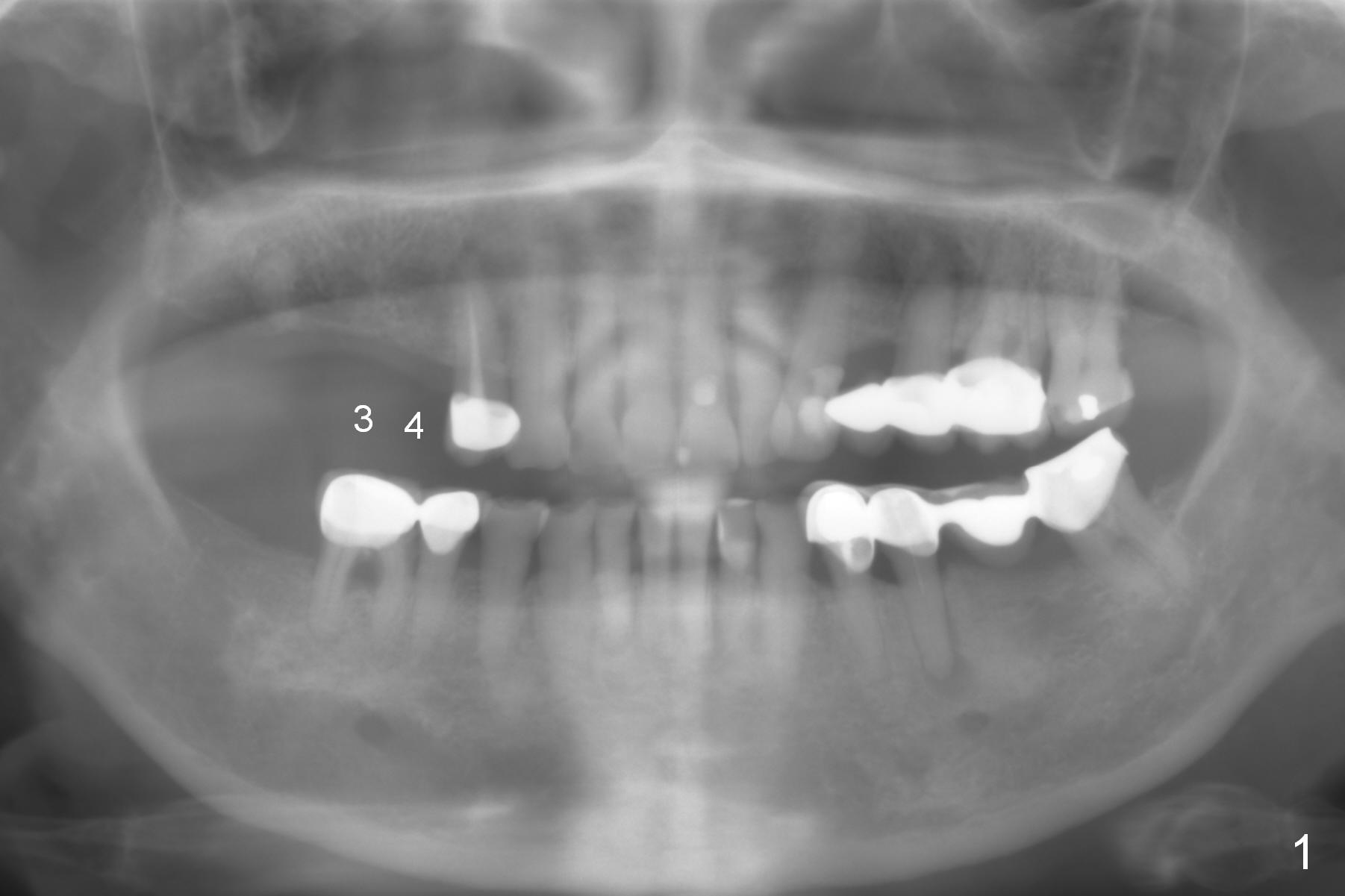
Improve Implant/Crown Ratio
A 78-year-old woman (possible osteoporosis) has poor dentition and restoration (Fig.1). Implants will be placed at the sites of #3 and 4 with sufficient bone height as well as long edentulous vertical height (Fig.2). To improve implant/crown ratio and assure primary stability, long implants will be placed: 16 mm bone-level. Osteotomy is to be initiated through surgical stent with the longest Tatum 1.5 mm pilot drill, followed by incision, initial depth of 12 mm and PA. If the bone proves to be soft, use DIO bone expansion kit and wheel splitter . Splinted immediate provisional is going to be fabricated. Surgical stents are available.
Return to Upper Molar,
Premolar Immediate Implant,
IBS,
Improvement
Xin Wei, DDS, PhD, MS 1st edition 11/20/2016, last revision 01/19/2018