![]() |
![]() |
|
![]() |
![]() |
|
Crack Premolar
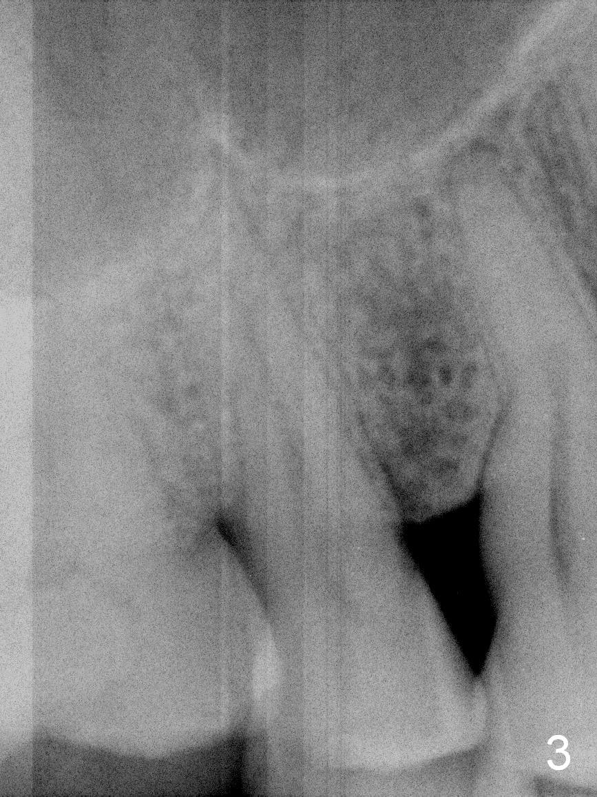
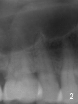
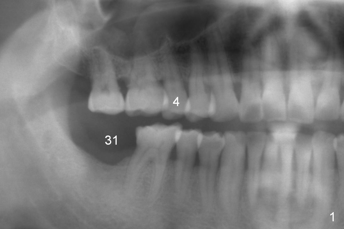
A 61-year-old man (WJ) cracked the tooth #31 after RCT. Four years after #31 extraction, the tooth #4 cracks by itself. The apex of the tooth appears to protrude into the sinus and is closely associated with the sinus septum (triangle: Fig.2,3). An implant will reach the top of the socket for stability (Fig.4 black area). The abutment is expected to be 4.8x4(3) (SM) or 4.5x4(3) (UF) mm. Metronidazole will be used for disinfection of the socket. On returning, he requests #31 implant.
Return to Upper Premolar Immediate Implant
Xin Wei, DDS, PhD, MS 1st edition 04/13/2016, last revision 01/19/2018