![]() |
![]() |
![]() |
![]() |
|
![]() |
![]() |
![]() |
![]() |
|
![]() |
![]() |
![]() |
![]() |
![]() |
Immediate Implant Without Drill
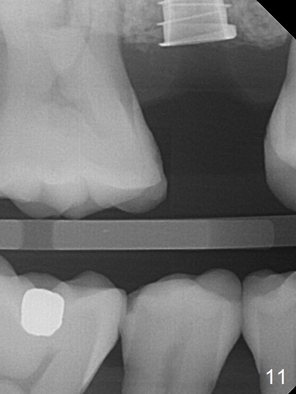
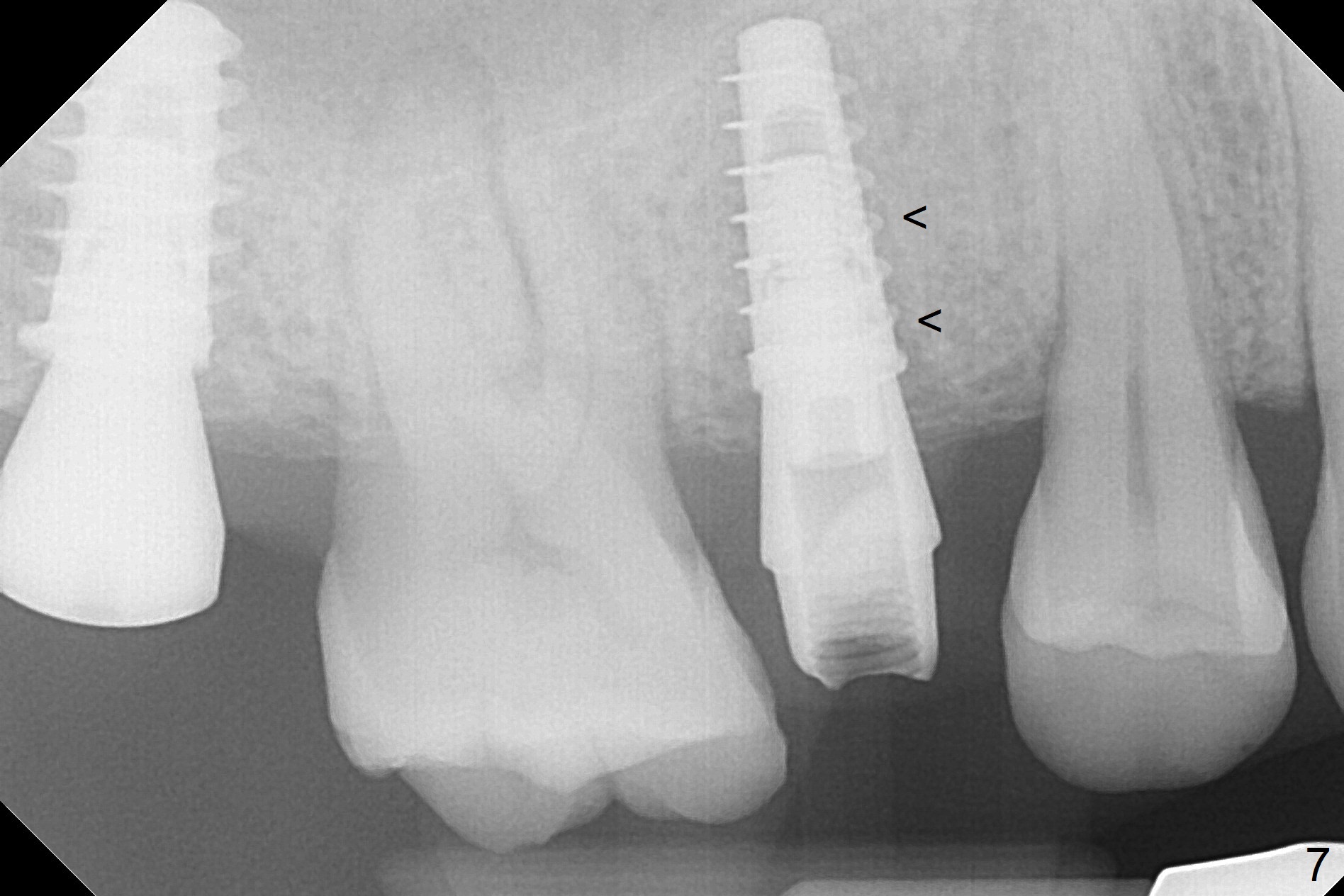
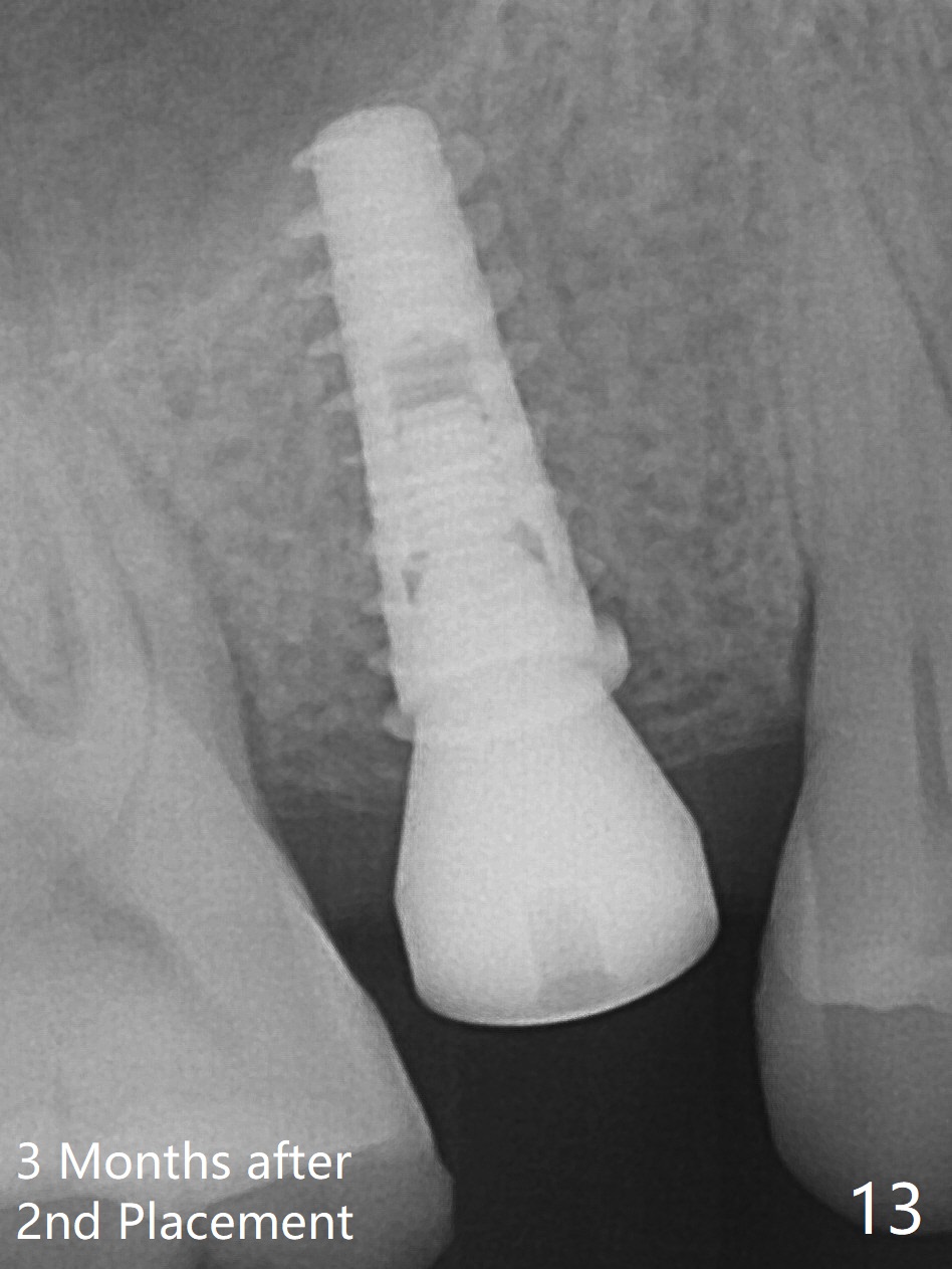
A 47-year-old man returns emergently with subgingival fracture of the lingual (L) cusp of the tooth #4 (Fig.1-3). After extraction (no bony defect) without drilling, a 4x11 mm dummy implant is placed as a tap drill with satisfactory stability (Fig.4,5). To get subcrestal placement, a shorter (4x9 mm) implant is inserted with insertion torque of < 35 Ncm. In retrospect, a larger implant (4.5 mm) would be better in term of primary stability. After allograft placement into the buccal and lingual gaps, a 4.5x4(4) mm abutment is placed for an immediate provisional. There is a peri-implant gap 7 months postop (Fig.7<, as compared to the implant at #2 (6 months postop)) . When the loose abutment is being retightened, the patient feels pain, although the gingiva appears healthy (Fig.8). A larger implant should have been used; the abutment should have been removed. The implant dislodges while the abutment is untightened 8 months postop. The osteotomy is found intact. A 4.5x11 mm dummy implant is placed 2 mm subgingival with 20 Ncm (Fig.9). When a 4.5x11 mm definitive implant is placed 3 mm subgingival (Fig.10,11), torque reaches 50 Ncm. A 5.5x3 mm healing abutment is placed. Three months postop, the implant is stable (Fig.12,13) and impression is taken.
Return to
Upper
Premolar Immediate Implant, IBS,
No Antibiotic,
#2,
#2 Placement, 1st
Year Course 1
2
Xin Wei, DDS, PhD, MS 1st edition 11/26/2016, last revision 01/19/2018