![]() |
![]() |
![]() |
||
![]() |
![]() |
![]() |
![]() |
![]() |
Why is 4x16 mm Placed Deep?
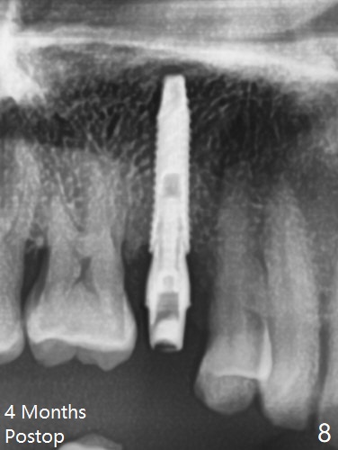
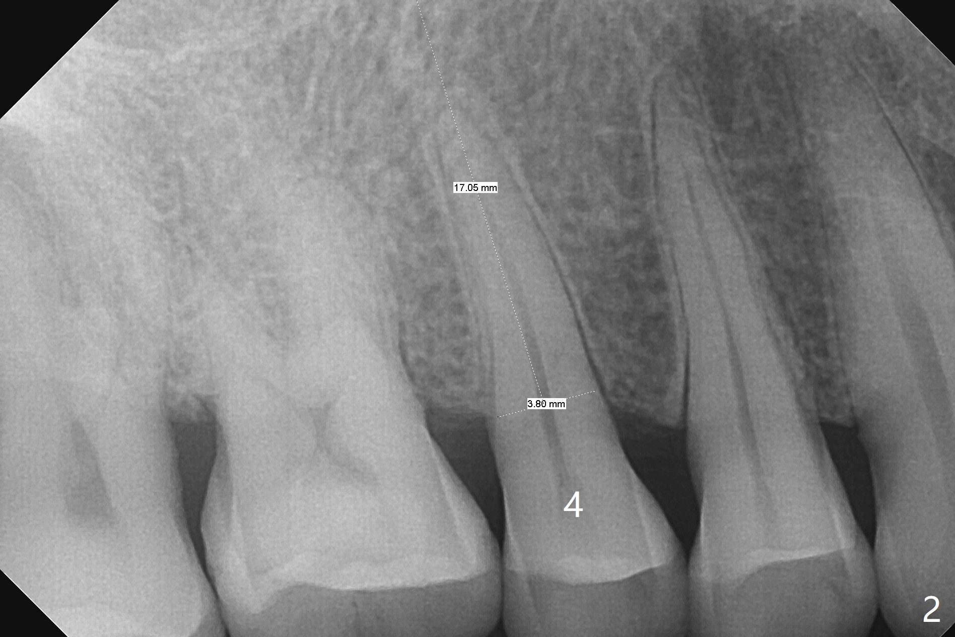
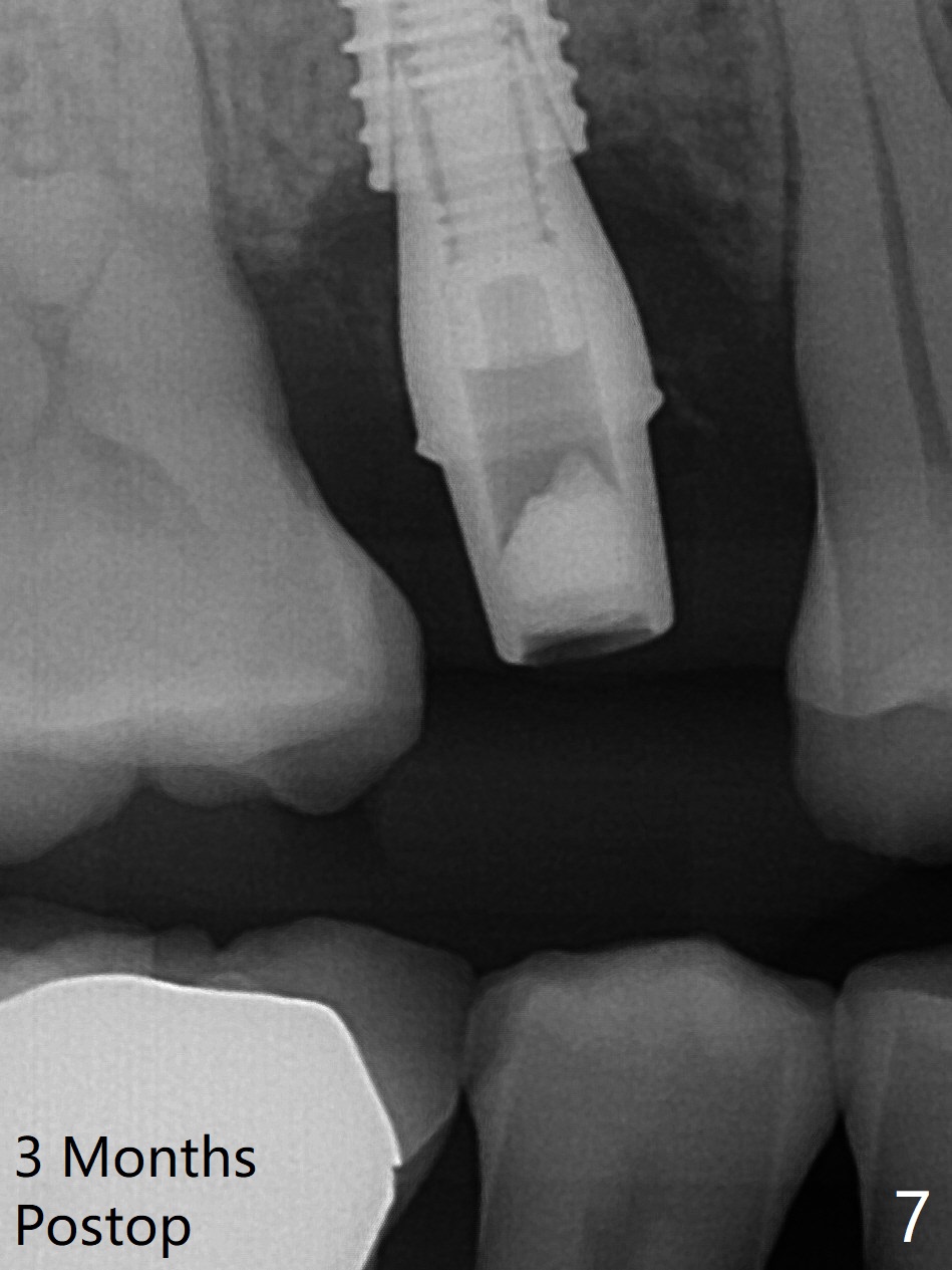
A 61-year-old man cracks the tooth #4 while chewing on a piece of chicken bone (Fig.1,2). Initial osteotomy appears to be able to hold a 16 mm long implant (Fig.3). After sequential osteotomy, a 4x16 mm implant is initially unable to be seated low enough for the buccal crest. Following packing the osteotomy with Vanilla Graft (.5-1 mm) and additional 2-3 mm depth of osteotomy, the implant is placed slightly apical to the buccal crest (Fig.4,5); with placement of Vanilla Graft (*) and a 4.5x4(4) mm abutment, an immediate provisional is fabricated to close the socket. The provisional is removed 3 months postop because of poor local oral hygiene (Fig.6,7). The gingiva is healthy 2-3 weeks later; it is easy to take impression (Fig.8).
Return to Upper Premolar Immediate Implant, IBS, Metronidazole Xin Wei, DDS, PhD, MS 1st edition 10/17/2017, last revision 02/16/2018