![]() |
![]() |
![]() ![]() |
![]() ![]() |
![]() |
![]() |
Tough Decision
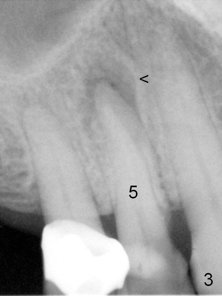
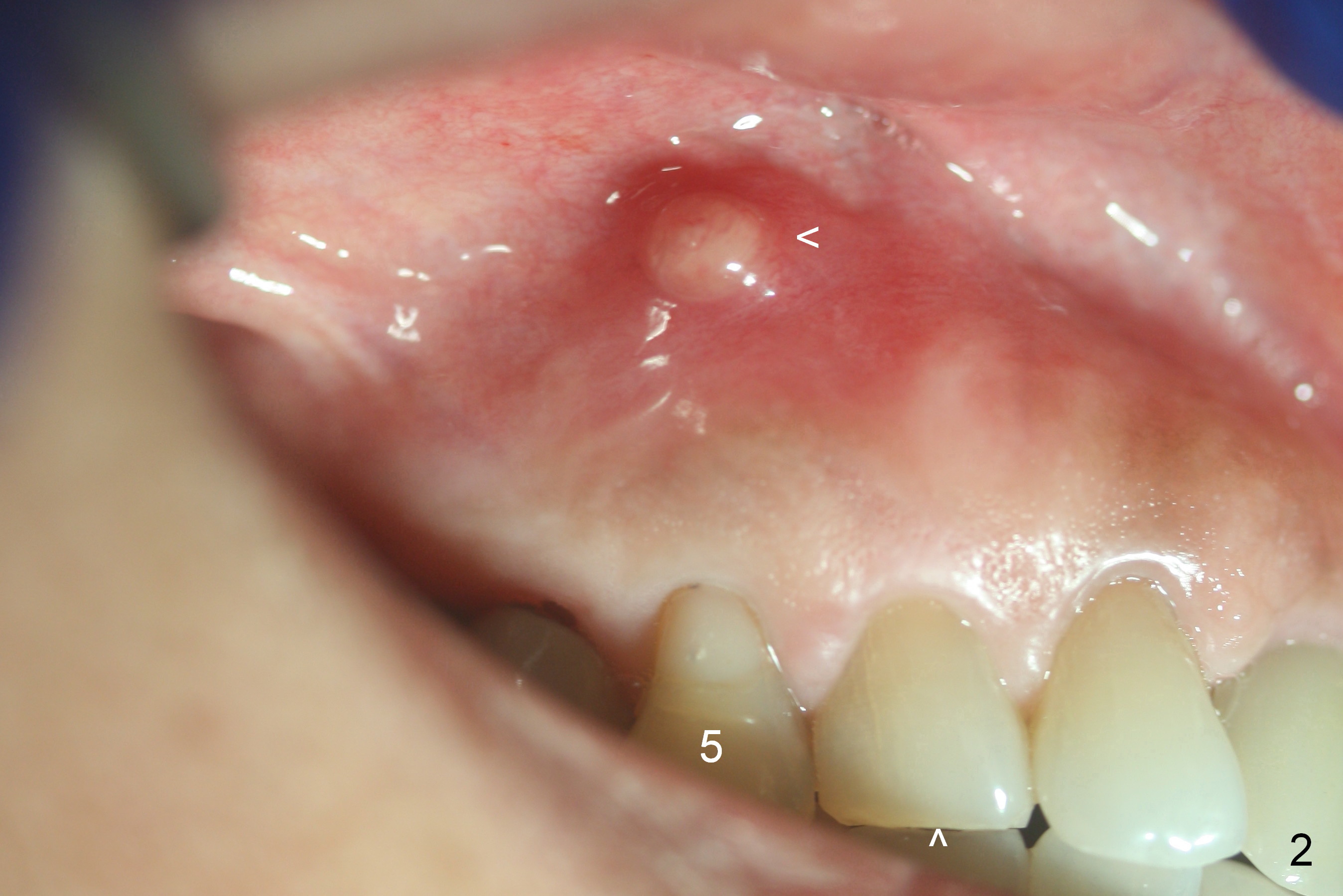
A 72-year-old lady is a bruxer with palatal subgingival fracture of the upper right 1st premolar (Fig.1) with a fistula/periapical radiolucency (Fig.2,3 <). She insists on saving the tooth, since it is asymptomatic. Bruxism must be severe, as the canine (Fig.2 ^) is shorter than the lateral incisor. She has history of #8 fracture and loosening of implant crown at #14.
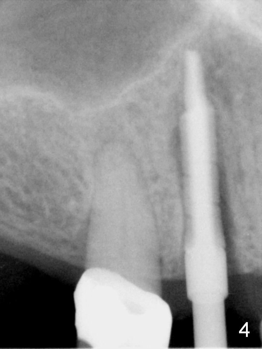
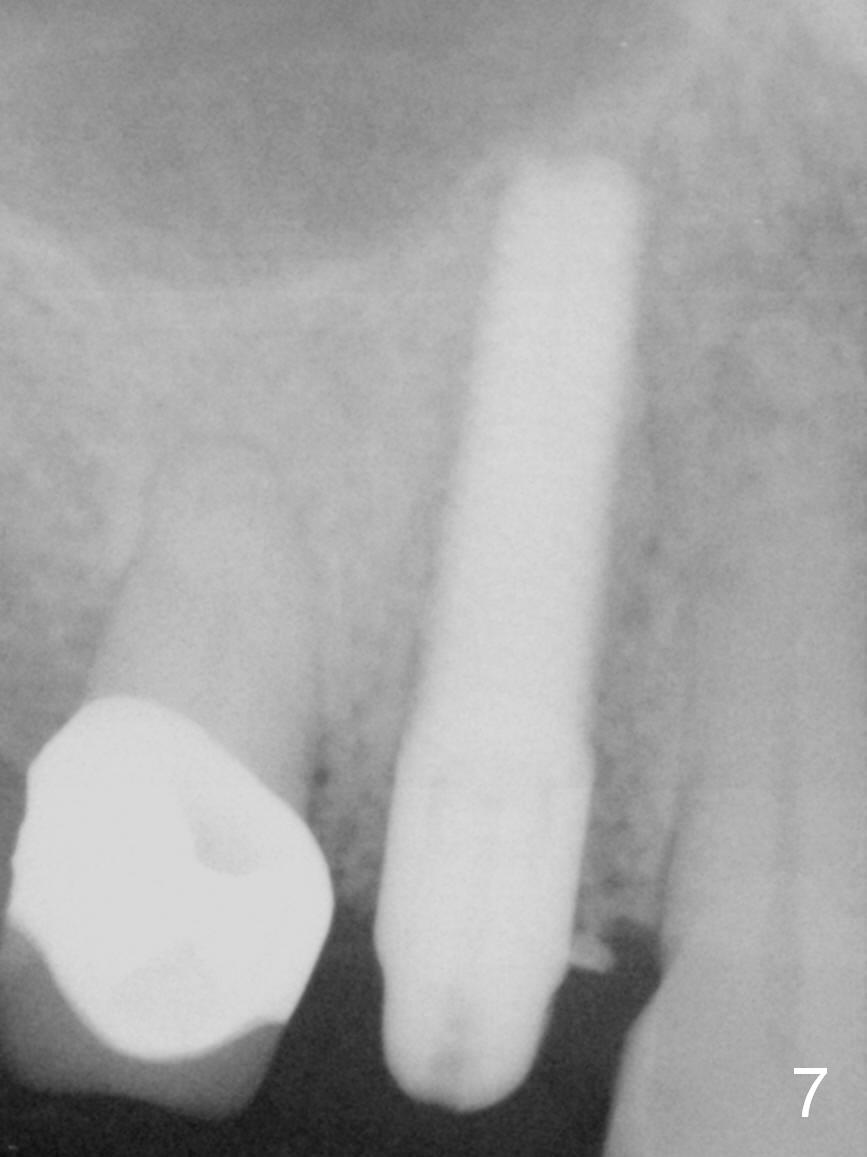
After long discussion, she agrees with extraction and immediate implant. After the extraction, granulation tissue is removed. There is buccal apical fenestration. The socket is treated with Metronidazole. The socket depth is 17 mm, while osteotomy depth is 20 mm (Fig.4). A 4x20 mm tissue-level implant is placed with primary stability (Fig.5,6 I). A short abutment (A) is placed immediately for an immediate provisional. The buccal gap is filled with Osteogen plug. There is no crestal bone loss 3 months postop (Fig.7). The provisional stays in place with occlusal perforation. The gingiva is healthy 5.5 months post cementation (Fig.8).
Return to
Upper Premolar Immediate Implant
13
Xin Wei, DDS, PhD, MS 1st edition 07/06/2016, last revision 06/06/2020