![]() |
![]() |
![]() |
Narrow Implant
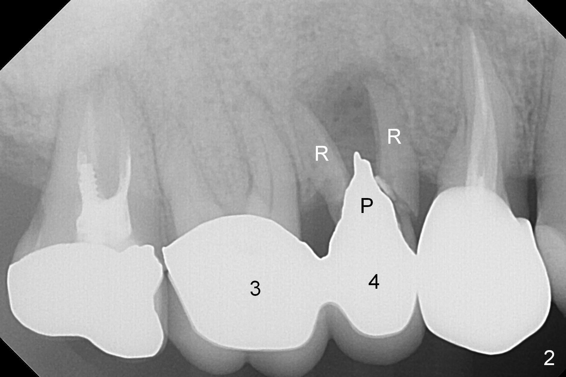
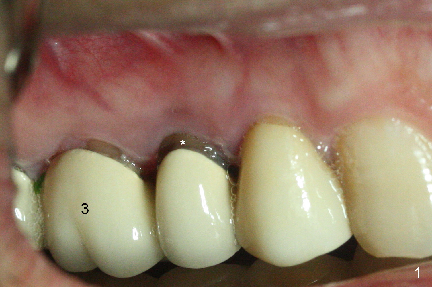
A 42-year-old man returns with chief complaint of chipped tooth at #3. Crowns at #3 and 4 are splinted (Fig.1). The tooth #4 is discolored (^). X-ray exam shows post (P) -induced Root (R) split with severe bone loss at #4 (Fig.2). To decrease periimplantitis, use an implant as narrow as possible (4 mm) and as long as apical bone allows (13 mm, IBS, Fig.3). Section the retainer at #3 and remove the tooth #4 (Metronidazole). Prepare PVS impression to record socket morphology. Magic Expanders are to be applied for osteotomy and sinus lift if possible. Finally fabricate splinted provisional at #3 and 4.
Return to Upper Premolar Immediate Implant Xin Wei, DDS, PhD, MS 1st edition 03/10/2017, last revision 11/25/2018