![]() |
|
![]() |
![]() |
How Long will this Crown Stay?
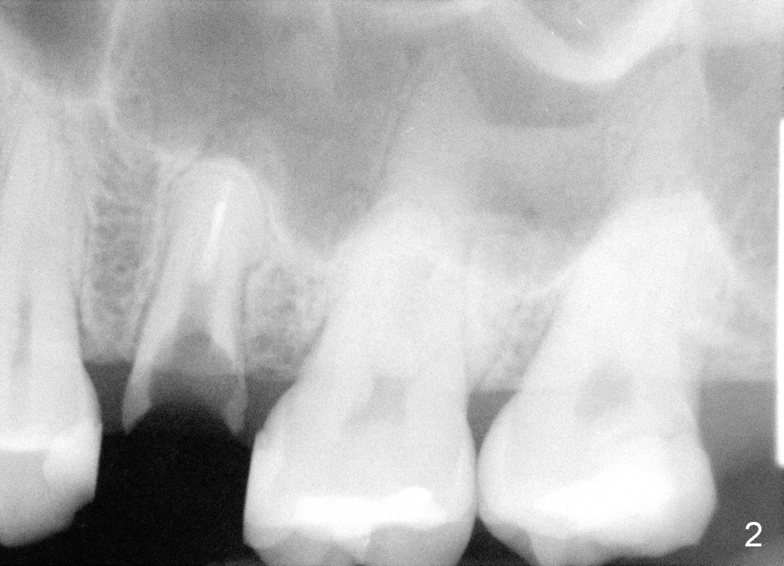
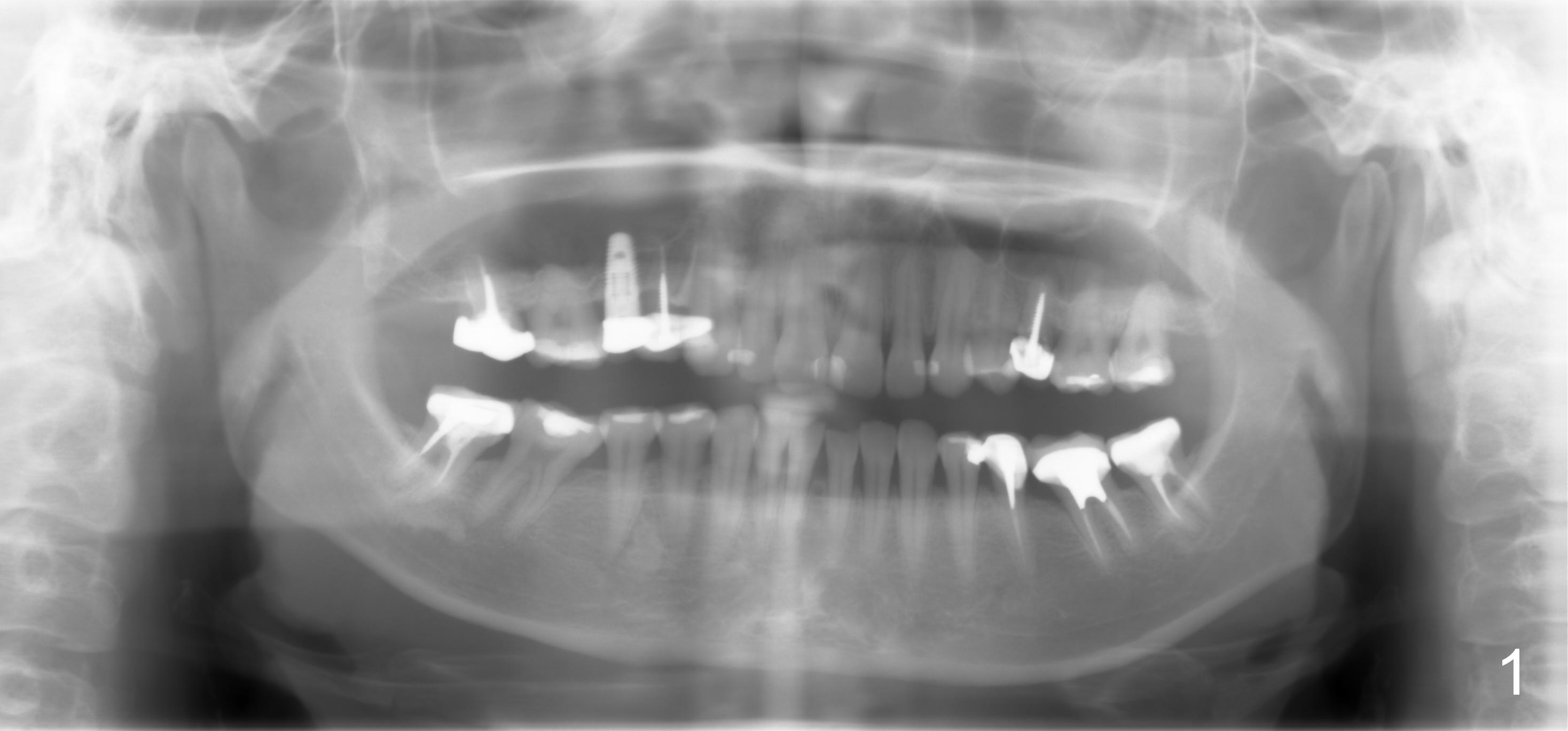
A 40-year-old lady has multiple restorations (Fig.1). The crown has dislodged from the tooth #13 twice in the last 2 years (Fig.2). When the tooth is extracted, a 4.5x10 mm bone level or 4.5x14 mm tissue level implant will be placed immediately with sinus lift (Fig.3).
Return to Upper Bicuspid Immediate Implant,
Dr.
Wu
Xin Wei, DDS, PhD, MS 1st edition 04/15/2015, last revision 01/19/2018