![]() |
![]() |
![]() |
![]() |
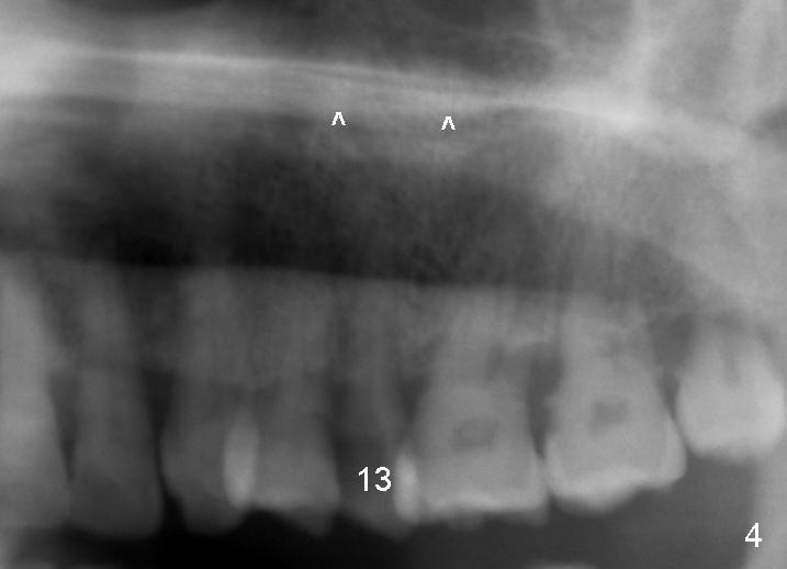
Long Root
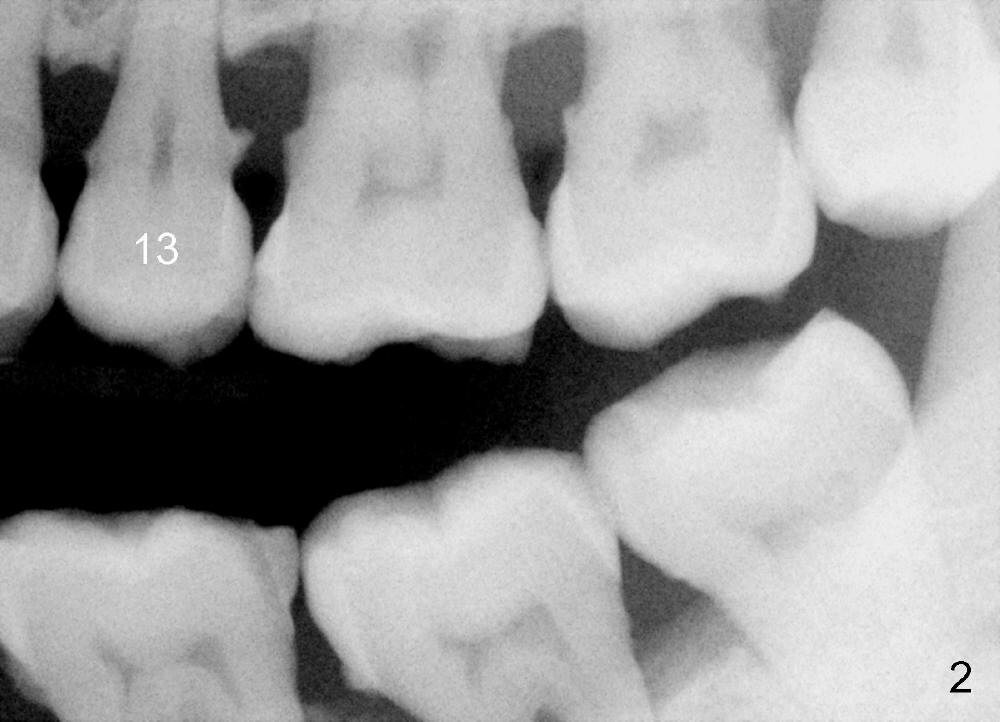
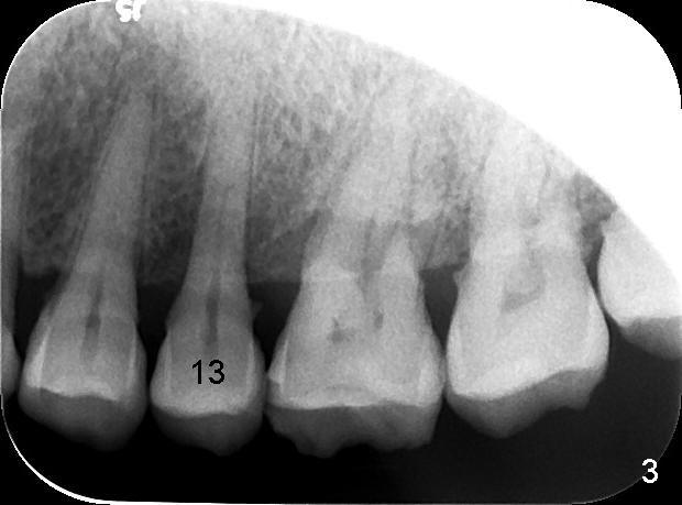
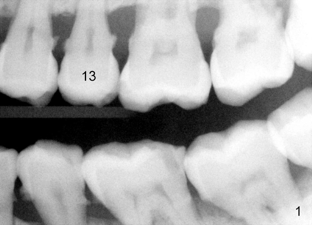
A 57-year-old man has history of chronic periodontitis (Fig.1,2, taken 9 and 7 years ago, respectively). Last April the tooth #13 had crown fracture (Fig.3). He returned to clinic for scaling & root planing last week (Fig.4). Fig.3,4 show long root and bone. Arrowheads in Fig.4 indicate the sinus floor.
If the buccolingual (B-L) width of the extracted root is much wider than the mesiodistal (M-D) one, a D1 (4 (B-L) x 3.5 (M-D) cervical) or D2 (5.5x3.5) implant will be selected (20 mm long). To reduce tapping and vibration, 1.5 mm pilot drill and 2.5 mm reamer will be used to start osteotomy at 20 mm deep, 3 mm reamer at 17 mm if needed, followed by D osteotomes. Save autogenous bone for grafting buccally later.
The root of the extracted tooth is not so similar to the D implant. So a tapered implant is placed.
Return to
Upper Bicuspid Immediate Implant
Xin Wei, DDS, PhD, MS 1st edition 12/14/2014, last revision 12/29/2018