![]() |
![]() |
![]() |
![]() |
![]() |
![]() |
Two Bicuspid Immediate Implants
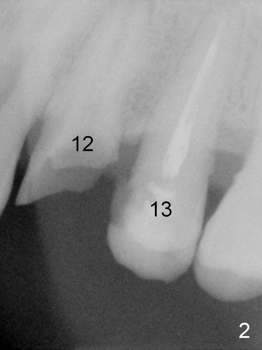
A 45-year-old man presented to our office 8 years ago (Fig.1,2) and got work done somewhere else. He returned yesterday with chief complaint "I might swallow my crowns". Exam shows residual roots at #12,13 (Fig.3,4). The patient has strong jaw bone, suggesting that the bone density is high. Either bone- (Fig.5) or tissue- (Fig.6) level implants will be placed. By time sequence, this case will be assigned to the control group of the antibiotic study. Preop PA does not catch the apices (Fig.3). Take a new one with sensor 1 prior to surgery or panoramus.
Return to Upper Premolar Immediate Implant 前磨牙即种 Xin Wei, DDS, PhD, MS 1st edition 08/12/2015, last revision 05/02/2021