![]() |
![]() |
|
![]() |
![]() |
|
Bone-level Immediate Implant in Upper Molar with Large Defect
The smooth part of a tissue-level implant is equivalent to the cuff of cemented abutment associated with bone-level implant. The former is fixed, 3 mm, while the latter is variable, from 1-6 mm, offering flexibility in implant placement (in depth).
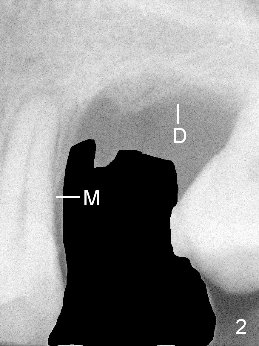
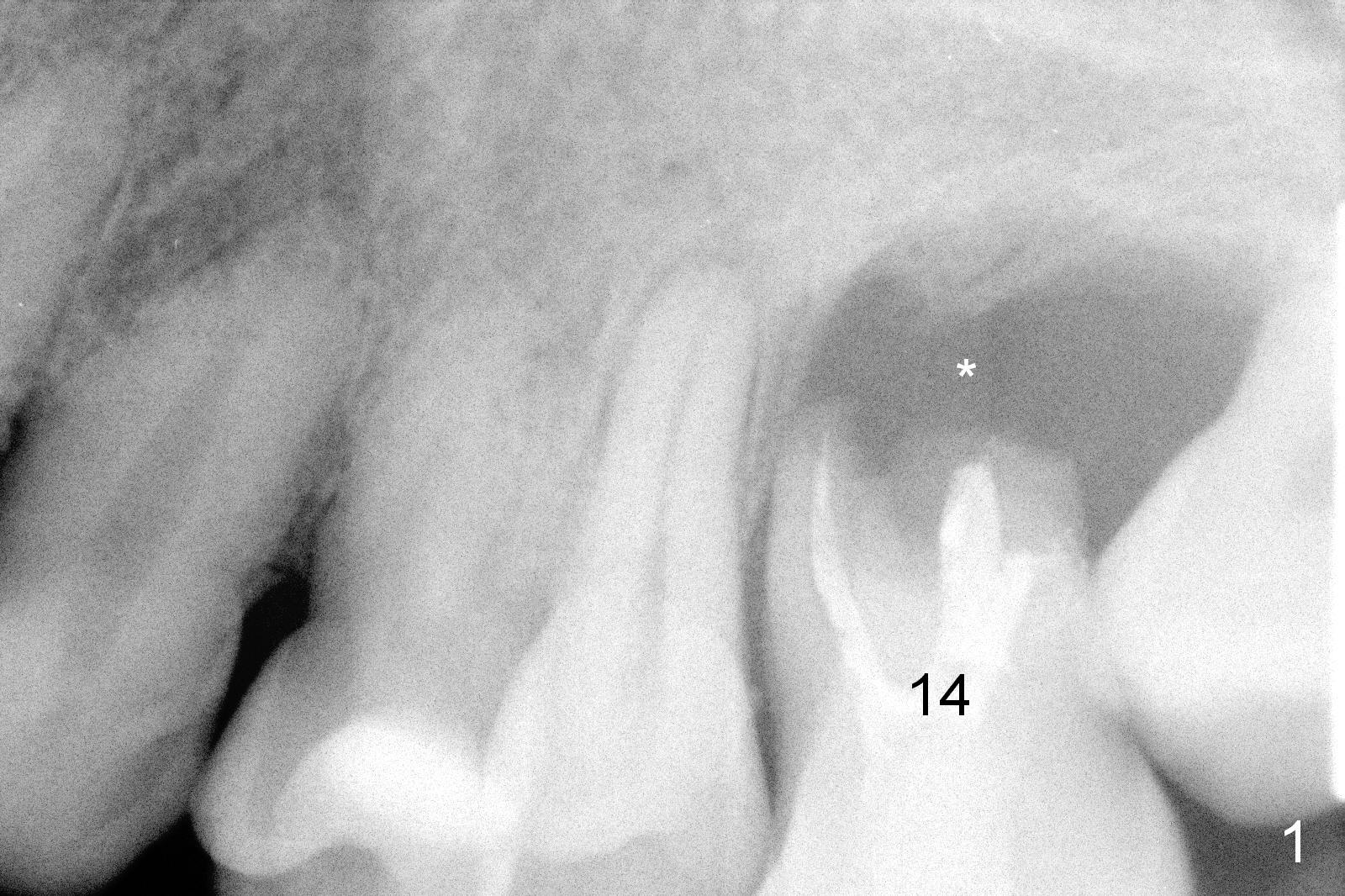
A 42-year-old man (XK) has perio-endo disease at the tooth #14. After root canal therapy (Fig.1), the tooth remains nonsalvageable. The bone loss is extensive (Fig.1 *) and uneven (more bone mesially than distally) after extraction (2% Xylocaine/1:50,000 Epinephrine). A bone-level implant is placed in an ideal depth (Fig.3 UF; Fig.4 SM), irrelevant of the gingival margin, first. Place bone graft distally (Fig.3 red circles) before choosing a proper abutment. For example, there is plenty of combination to choose cuff and abutment lengths for a SM or UF implant (Fig.4).
Return to Upper Molar Immediate Implant
Xin Wei, DDS, PhD, MS 1st edition 01/08/2016, last revision 01/12/2016