![]() |
![]() |
![]() |
Place Implant Between Two Layers of Sinus Floor
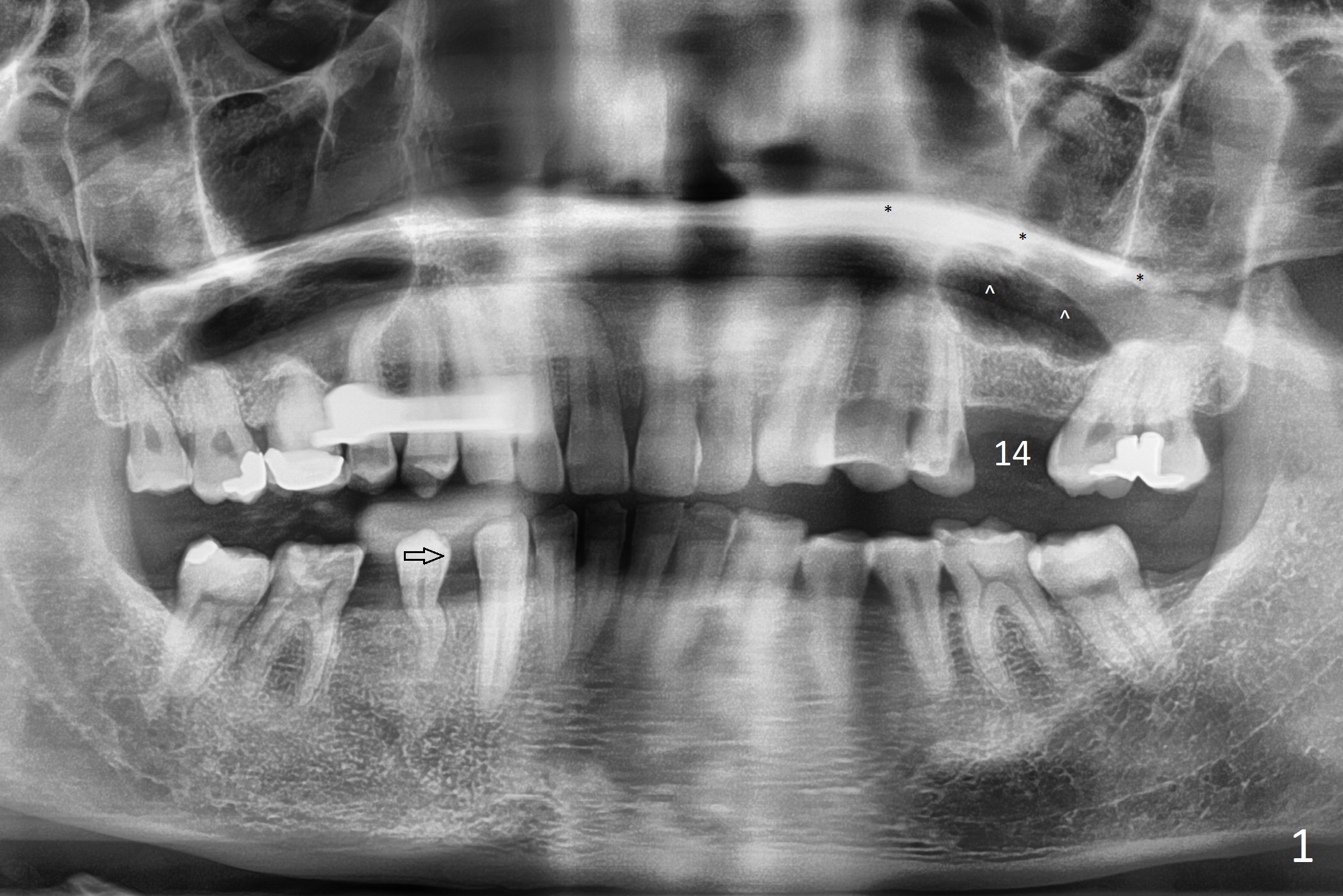
A 47-year-old man agrees implant at #14 (Fig.1). He worries about the bone height. There appear to be 2 layers of the sinus floor (Fig.1,2 (arrowheads: upper one)). The horizontal plate of the palate is indicated by *. An IBS implant will be placed between the 2 layers of the sinus floor as shown in Fig.3. Osteotomy is initiated with Magic Split, followed by Magic Expanders (initial depth 9 mm gingival level) or Magic Lifter. Before placing the implant, insert PRF and Allograft with a condenser with a stopper.
Return to
Upper
Molar Immediate Implant
Xin Wei, DDS, PhD, MS 1st edition 04/18/2017, last revision 07/08/2018