![]() |
![]() |
|
![]() |
![]() |
![]() |
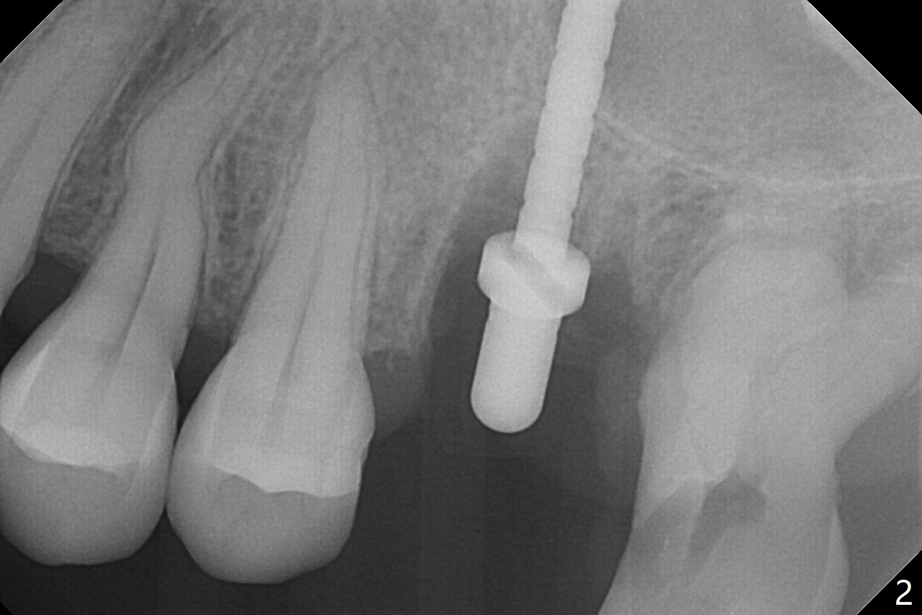
8.5 mm Osteotomy in Septum
After removal of granulation tissue from the sockets associated with the fractured tooth at #14 (Fig.1 (* granulation tissue)) and initial osteotomy in the septum with a 2 mm drill for 8.5 mm, the sinus floor is penetrated by a parallel pin (Fig.2). But the sinus membrane remains intact until osteotomy finishes with a 4.8 mm drill. Following sinus lift with Vera Graft with autogenous bone (Fig.3 red *), a 5.5x10 mm implant is placed ~ 1 mm coronal to the septal crest and 1-3 mm apical to the surrounding crest (mesiodisto-buccopalatal, >55 Ncm). After further bone graft around the implant (Fig.3 white *), a 6.5x4(3) mm abutment is inserted with the 3rd round of grafting (Fig.3,4 black *). An immediate provisional is fabricated to keep the allograft in place. The implant seems to have osteointegrated 5 months postop (Fig.5).
Return to
Upper
Molar Immediate Implant, Prevent
Molar Periimplantitis (Protocols,
Table), IBS, #4,
24
Xin Wei, DDS, PhD, MS 1st edition 09/25/2017, last revision 04/05/2018