![]() |
![]() |
Place Implant Between Sinus Floor and Palatal Apex
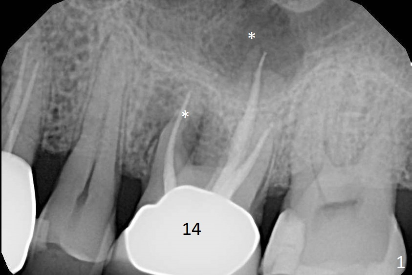
A 70-year-old man will return for #14 extraction and implant placement after consultation with an endodontist (Fig.1). Note the large periapical radiolucencies associated with the mesiobuccal and palatal roots (*). After extraction and Metronidazole, start osteotomy in the septum, place PRF membranes/plug and allograft/Osteogen and then a dummy implant or tap. Place a large definitive implant (Fig.2 green) higher than the sinus floor (red), but lower than the palatal apex (purple).
Return to
Upper
Molar Immediate Implant, Prevent
Molar Periimplantitis (Protocols,
Table), IBS
Xin Wei, DDS, PhD, MS 1st edition 05/28/2017, last revision 06/13/2017