A 5x13 mm IBS implant is placed apical to the mesial and distal crest and coronal to the septum (Fig.2,3).  Insertion torque is ~ 35 Ncm.  A 6.0x5.7(4) mm pair abutment is chosen over a 6.5 mm one, because the implant is placed somewhat distally (Fig.4,5).  If the implant were placed more apically, the 4 mm cuff would be short for restoration.  Allograft and autogenous bone harvested from the MD is placed around the coronal portion of the implant and the abutment cuff (*). 

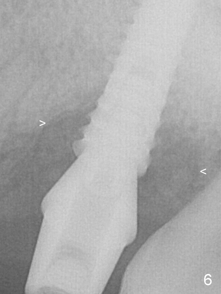
The amount of the bone graft mesial and distal the implant seems to reduce 3 and 4 months postop, respectively (Fig.6,7 arrowheads).  When the acrylic is cut off 4 months postop, the bone graft is loose.  The gingiva is unhealthy.  The abutment and implant are loose.  A healing abutment is placed (5x4 mm).

There are 3 possible reasons for implant loosening: 1. bruxism and almost simultaneous implant placement at #4; 2. poor oral hygiene associated with untrimmed provisional; 3. Implant not long and large enough.

The implant is placed distally.  Before impression, the abutment either needs to be trimmed distally or changes to an angled one.

Abutment Cuff

Xin Wei, DDS, PhD, MS 1st edition 02/23/2017, last revision 01/19/2018