![]() |
![]() |
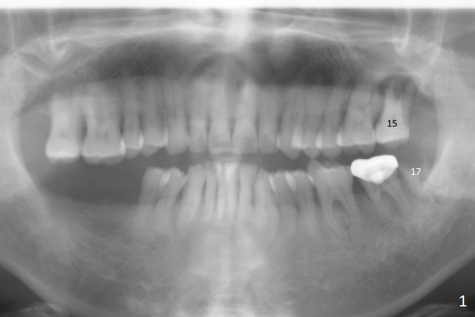
Septum May be Significantly Longer than Buccopalatal Plates
A 64-year-old man has poor dentition (Fig.1 (taken a year ago)). After extraction of #15 and 17 in China, the tooth #14 develops retrograde pulpitis with severe buccopalatal gingival recession (Fig.2). It appears that the septum is longer than the buccopalatal plates. A small and relatively long implant (3.8 or 4x11.5 mm) is placed within the boundary of the septum. The most peripheral socket is packed with PRF membranes (2-3 tubes) and collagen plug, while the portion close to the implant threads with Vera Graft. Please remember osteotomy depths with hard and soft tissue landmarks (Fig.2).
Return to
Upper
Molar Immediate Implant, Prevent
Molar Periimplantitis (Protocols,
Table),
Armaments,
Metronidazole
Xin Wei, DDS, PhD, MS 1st edition 11/04/2017, last revision 03/04/2018