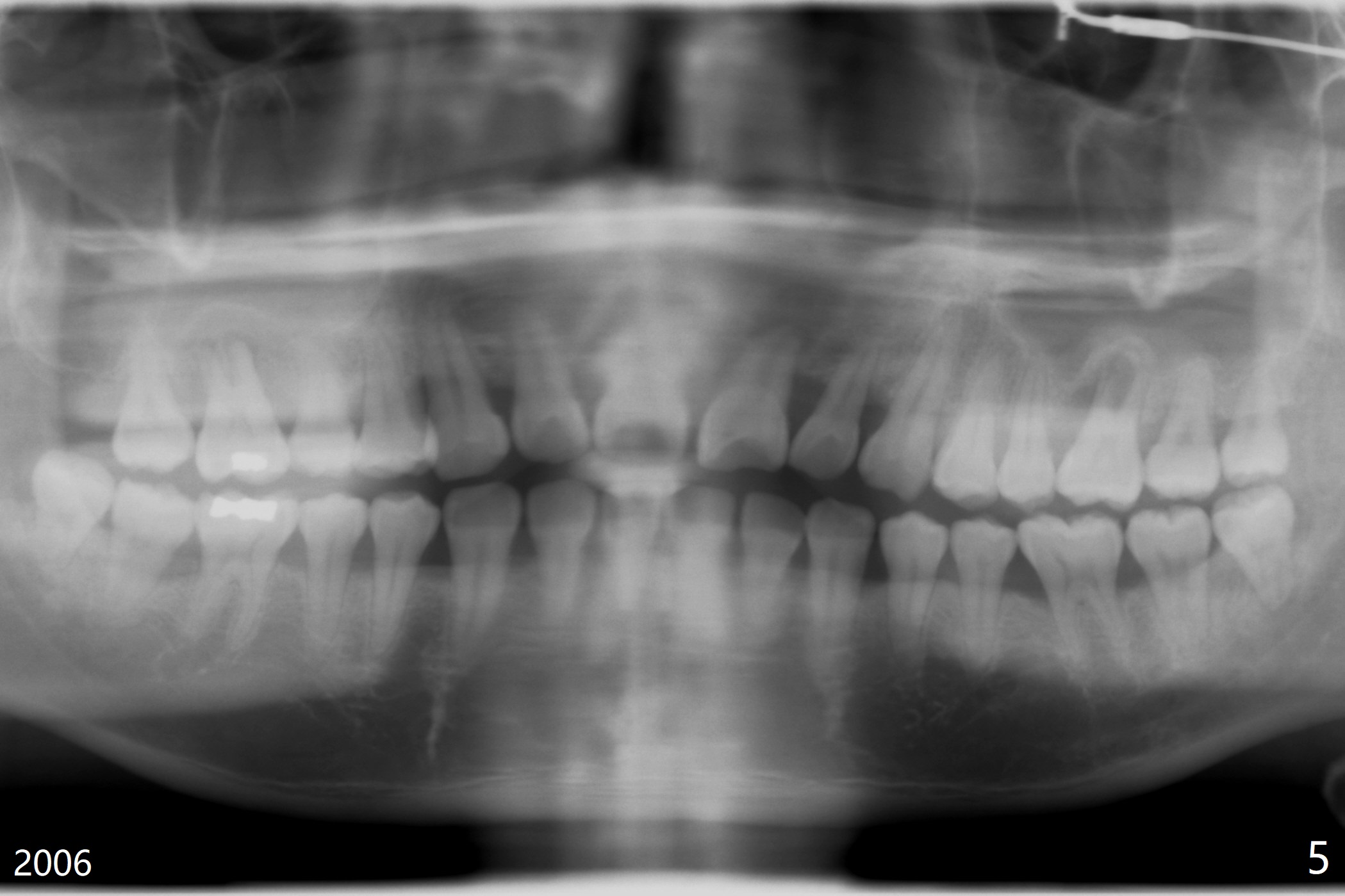
A 41-year-old man has had severe periodontitis at #14 for the last 11 years (Fig.5).

Sinus Lifter Mushroom Course 2 3 4

Xin Wei, DDS, PhD, MS 1st edition 05/29/2006, last revision 08/18/2018