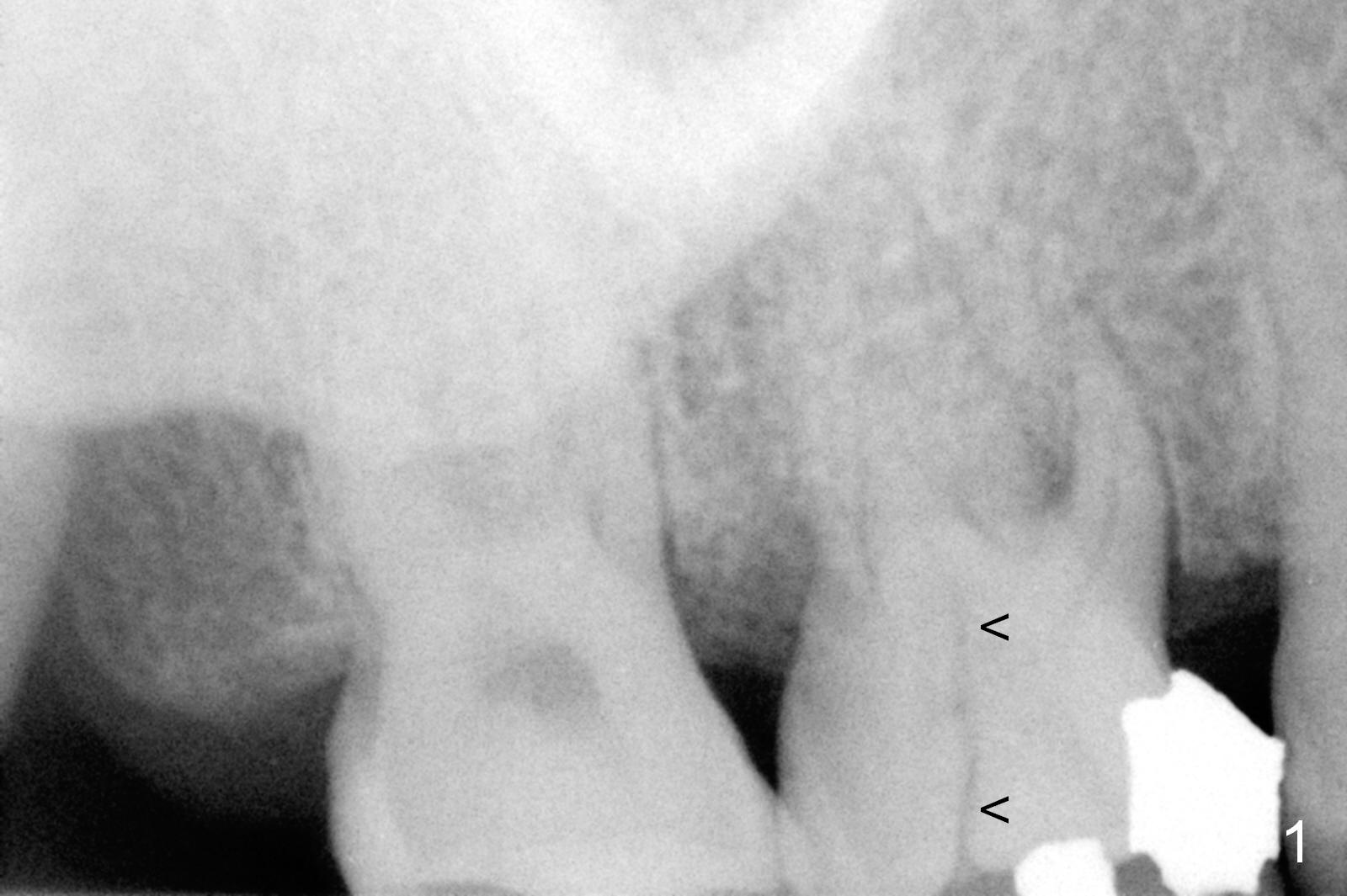
![]() UF Immediate Implant for Upper 1st Molar A 52-year-old lady has chewed on the right side for several years, because of loss #14. The mesiolingual cusp of the tooth #3 fractures subgingivaly (Fig.1 <). The tooth has trifurcated roots. Surgical handpiece may be used for sectioning if simple extraction with proximators is not feasible. After extraction, granulation tissue may be present in the palatal wall, next to the crack line. If the defect is large, use Osteotape for repair before bone graft. The socket will be packed with Metronidazole 2% Xylocaine 1:50,000 Epinephrine for 3 times. Osteotomy is initiated in the middle of the septum using UF cassette drills until 1 size smaller than the implant planned (Fig.2). If the implant is placed in the middle of the edentulous space, a cemented abutment as large as 7.5x4(3) mm is placed. Return to Upper Molar Immediate Implant Xin Wei, DDS, PhD, MS 1st edition 09/19/2015, last revision 01/19/2019 |
![]() |