![]() |
![]() |
![]() |
![]() |
![]() |
![]() |
![]() |
![]() |
![]() |
![]() |
![]() |
![]() |
![]() |
![]() |
Control Osteotomy Depth
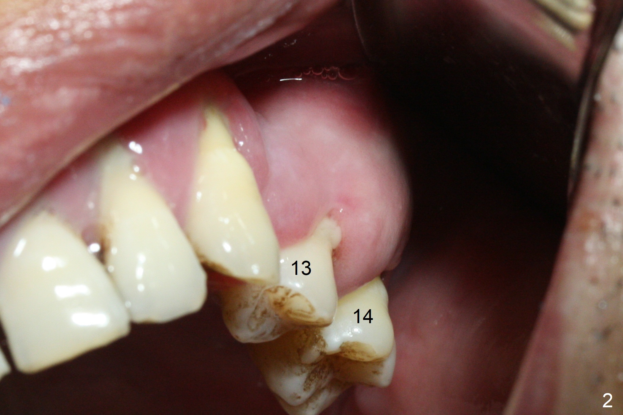
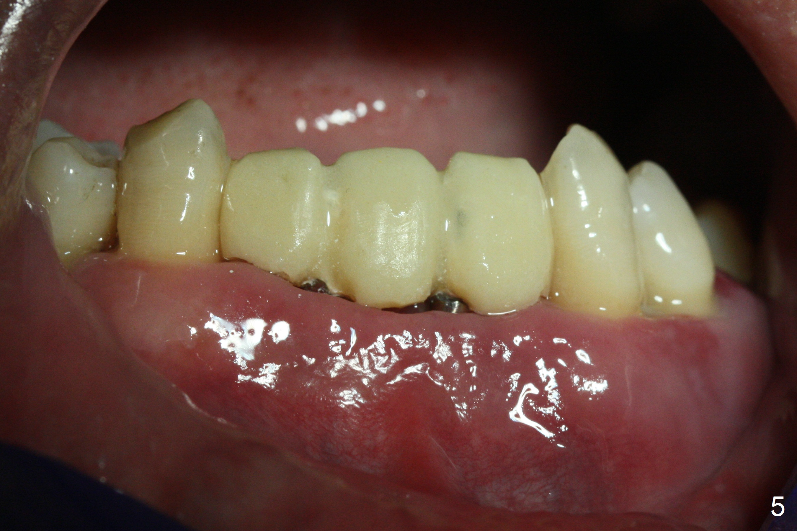
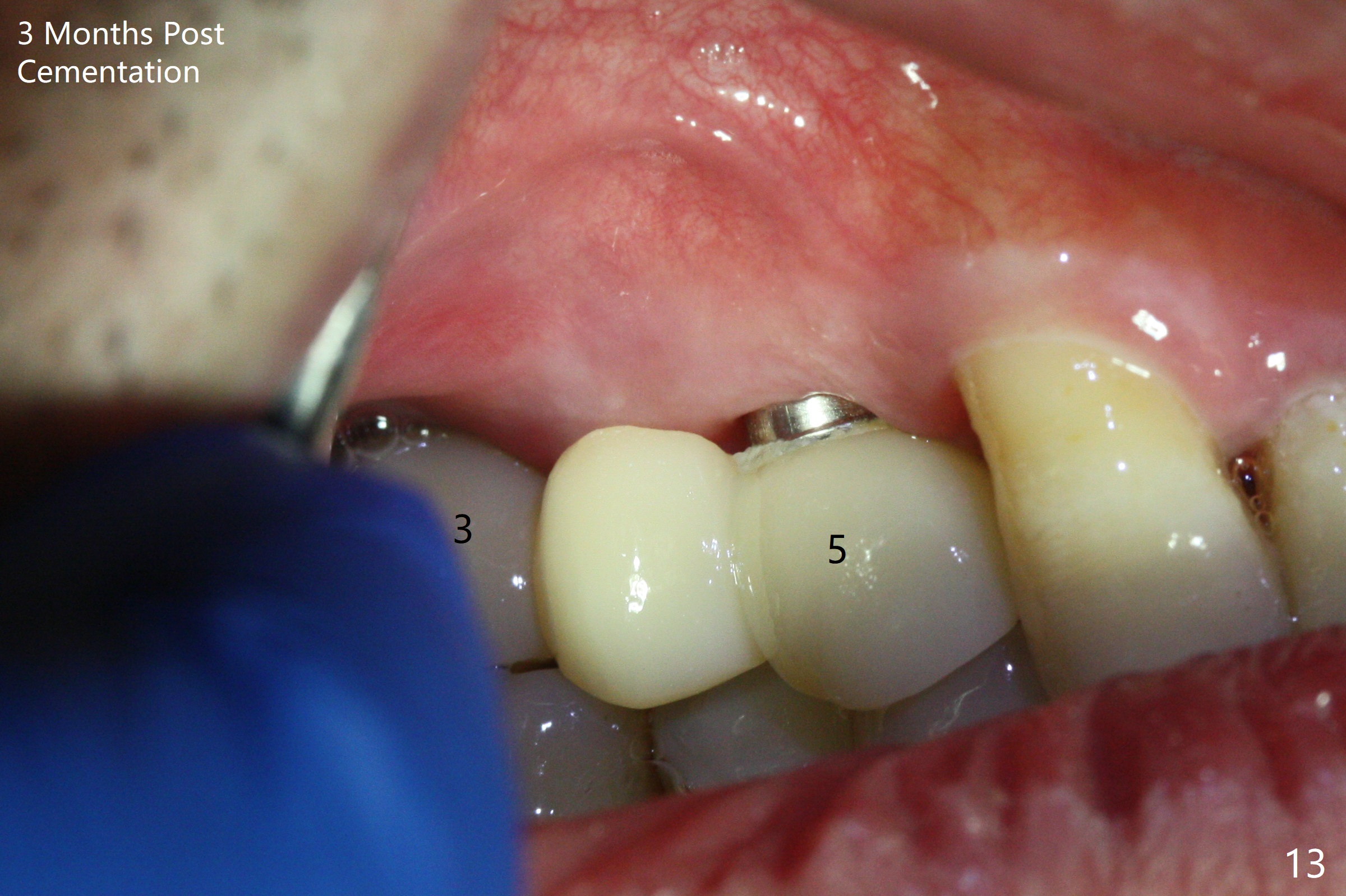
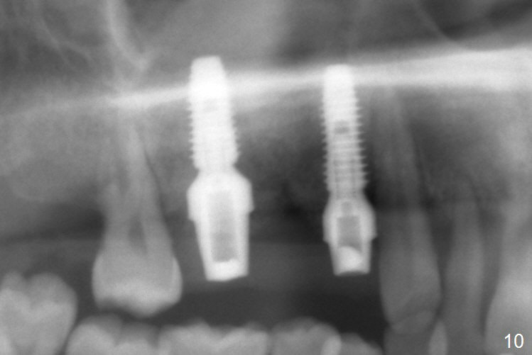
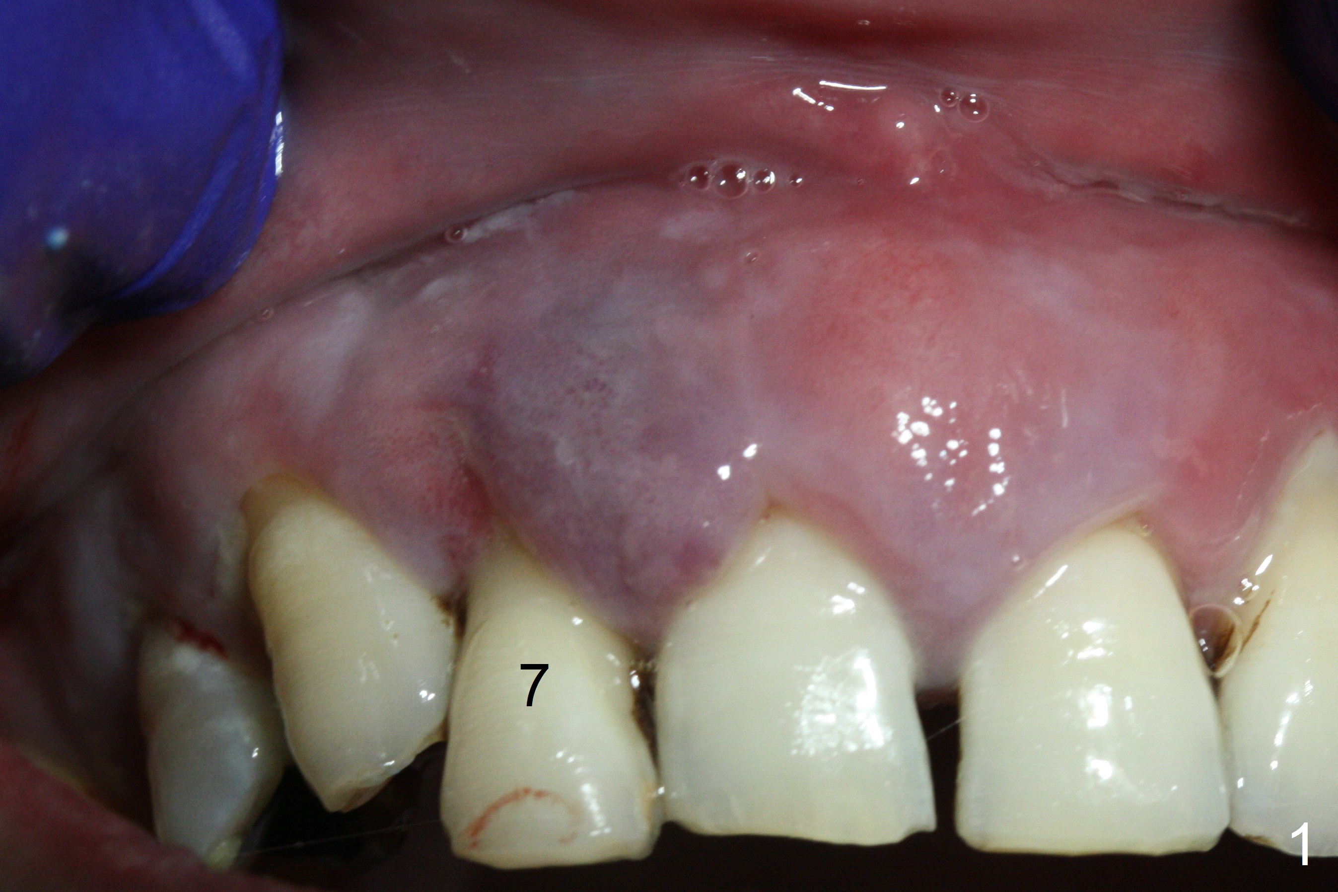
The 36-year-old man (ex-smoker, quit for 4-5 years) insists upon #3 and 5 extraction first for implants, in spite of more severe infection at #7, 14,19,30 (Fig.1-4). The gingiva around #23-26 implants is healthy 3 weeks postop (Fig.5). The initial depths at #3 and 5 are 8.5 mm (bone-level) and 18 mmm (gingiva-level (13 mm (implant length) + 5 mm cuff), respectively. When a drill penetrates the sinus floor, confirm the depth. After use of 3.8 mm drill, 4.5 mm tap drill is inserted at #3 without stability, while a 4.5x13 mm implant is placed at #5 with primary stability (Fig.6,7). Then a 5x11.5 mm is placed at #3 subcrestal proximally after sinus lift with Vanilla graft (without sinus membrane perforation; Fig.8). The implant at #5 is seated ~1 mm deeper (subcrestal mesially (^^); supracrestal distally (^)); allograft is placed around the implants prior to insertion of 6.5x7(5) and 5.5x4(5) mm abutments; last more allograft is added (Fig.9 *, 10). The implants seem to have been osteointegrated 4.5 months postop (Fig.11,12). The gingiva is healthy around the implants without bone loss 3 months post cementation (Fig.13,14).
Return to
Upper
Molar Immediate Implant, Prevent
Molar Periimplantitis (Protocols,
Table), IBS,
Systemic Diseases
Xin Wei, DDS, PhD, MS 1st edition 09/10/2017, last revision 05/12/2018