![]() |
![]() |
![]() |
Tissue-level Implant
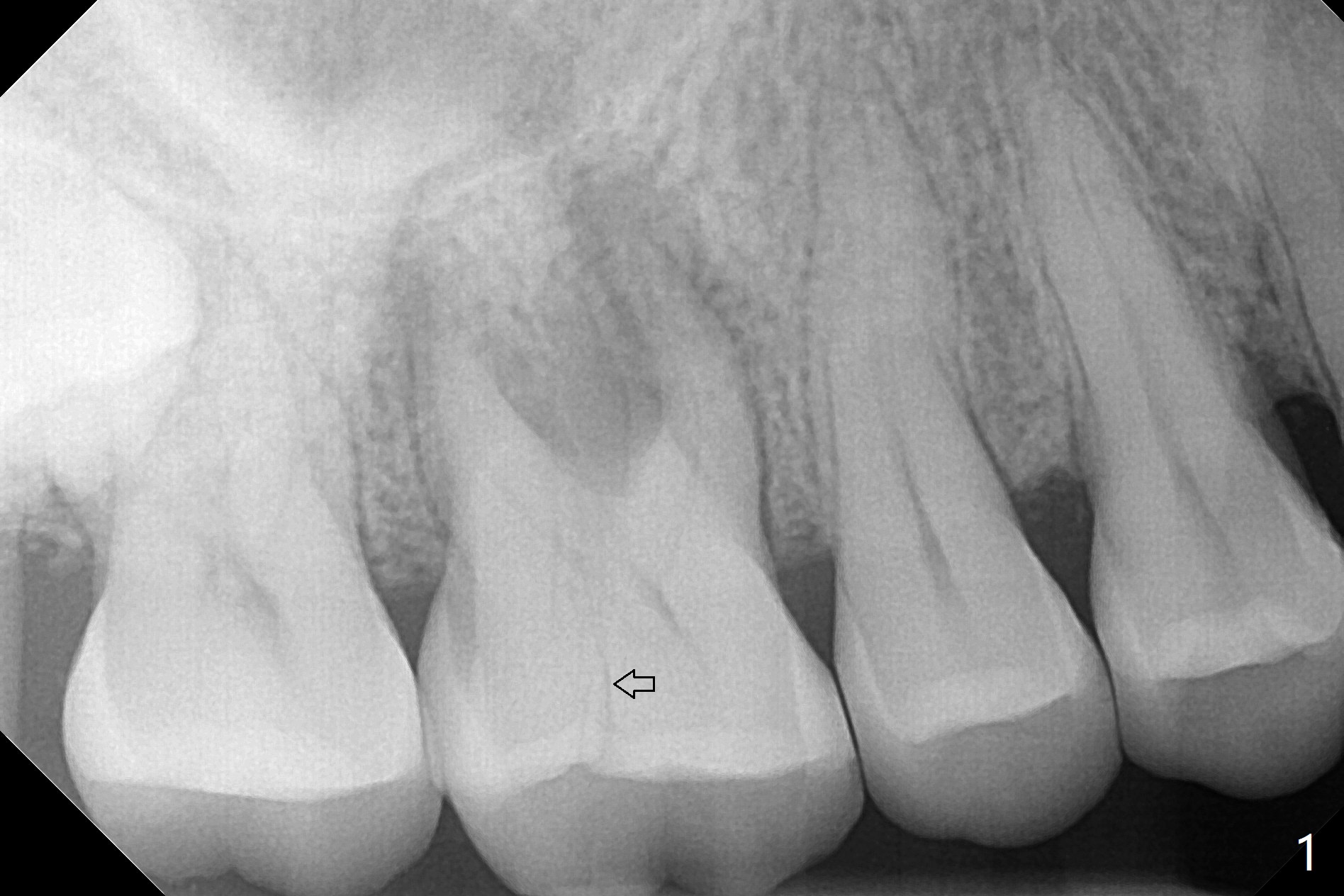
A 53-year-old woman has crack tooth symptom at #3 with apparently a vertical crack line on PA (Fig.1 arrow), suggesting bruxism. The latter may be easily associated with abutment screw loosening. To avoid this complication, a tissue-level implant will be placed (Fig.3). After extraction, the initial depth of osteotomy in the septum will be 7 mm (Fig.2). Find a pointed drill. Take preop photos to show the possible buccal crack line.
Return to
Upper
Molar Immediate Implant, Prevent
Molar Periimplantitis (Protocols,
Table), IBS,
Clindamycin
Xin Wei, DDS, PhD, MS 1st edition 09/28/2017, last revision 01/19/2018